-
Tổng thống Hàn Quốc Lee Jae-myung sắp thăm cấp nhà nước tới Việt Nam -
Nam diễn viên "Đấu trường sinh tử" Ethan Jamieson bị bắt giữ vì nổ súng tấn công người -
"Vua xe ga" 188cc mới chính thức ra mắt giá 56 triệu đồng: Thiết kế nét hơn Honda Air Blade và Vario -
Chuyên gia Hiếu PC cảnh báo chiêu trò "mặt nạ" số điện thoại: Đừng tin vào những gì hiển thị trên màn hình -
"Cơn bão" phẫn nộ bủa vây Hương Tràm sau chiến thắng gây tranh cãi tại giải Cống hiến 2026 -
Hoa hậu Dương Thuỳ Linh lên tiếng giữa ồn ào "trợ lý bị sai dắt chó": Phát ngôn gây tranh cãi trên mạng xã hội -
Giải mã bức tranh xăng dầu kỳ điều hành 16/4: Dầu giảm sâu ngoạn mục, thuế phí "về 0" và vị thế bất ngờ của Việt Nam -
Đây là chiếc iPhone fullbox rẻ nhất Việt Nam hiện nay, chưa đến 12 triệu dùng cơ bản ngon chẳng kém iPhone 17e -
NSND Tự Long gây sốt khi "đánh úp" Trang Pháp, hé lộ tình trạng thực sự của nữ ca sĩ sau khi từ Trung Quốc trở về -
Cơn thịnh nộ của "quái vật" Sinlaku: Saipan và Tinian tan hoang sau đêm kinh hoàng cùng siêu bão mạnh nhất hành tinh
Lối Sống
13/12/2023 21:32Nhịn hắt hơi khi lái xe, người đàn ông bị xé rách khí quản: Nhà khoa học chỉ ra 'điều nguy hiểm'
Lần đầu tiên trên thế giới, giới y học ghi nhận trường hợp một người đàn ông bị xé khí quản sau khi cố gắng nhịn hắt hơi, Livescience thông tin ngày 12/12.
Sự việc kỳ lạ xảy ra khi người đàn ông đang lái xe và bị ứng phấn hoa. Người này đột nhiên cảm thấy muốn hắt hơi, nhưng thay vì để cơn hắt hơi thoát ra, anh ta lại bóp nghẹt nó bằng cách bịt mũi và ngậm miệng lại.
Khi đến bệnh viện cấp cứu, người đàn ông trong tình trạng đau đớn dữ dội, cổ sưng tấy hai bên và khó cử động. Khi các bác sĩ kiểm tra, họ cũng có thể nghe thấy một âm thanh tanh tách yếu ớt. Tuy nhiên, người đàn ông không gặp vấn đề gì về thở, nuốt hay nói chuyện.
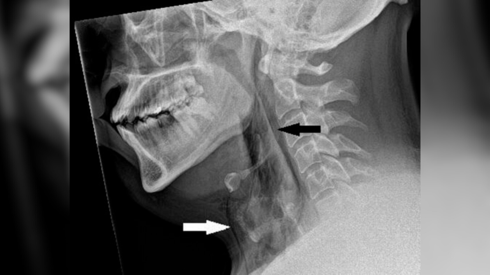
Kết quả chụp X-quang cổ cho thấy người đàn ông này bị khí phế thũng - tình trạng không khí bị mắc kẹt dưới các lớp mô sâu nhất bên dưới da.
Kết quả chụp cắt lớp vi tính (CT) sau đó cho thấy vết rách nằm giữa xương thứ ba và thứ tư, hay còn gọi là đốt sống, trên cổ của anh ta. Không khí cũng đã tích tụ trong khoảng trống giữa phổi của người này.
Các bác sĩ kết luận rằng vết rách là do "áp lực tích tụ nhanh chóng trong khí quản khi hắt hơi khi mũi bị bịt và ngậm miệng".
Mặc dù không cần phẫu thuật nhưng anh ta đã được theo dõi tại bệnh viện trong hai ngày để đảm bảo lượng oxy và các dấu hiệu quan trọng khác luôn ổn định. 5 tuần sau, kết quả chụp CT cho thấy vết rách đã lành hoàn toàn.

Theo các nhà khoa học, nếu trong khi hắt hơi, cả miệng và mũi đều đóng lại, và áp lực tạo ra ở đường hô hấp trên có thể vượt quá 20 lần so với mức bình thường.
Trong trường hợp của người đàn ông này, do không được thoát hơi ra, áp lực tạo ra ở đường hô hấp trên lớn đến mức đã xé một lỗ có kích thước 2x2 mm trong khí quản của anh ta.
Các bác sĩ chữa trị cho người đàn ông này đã viết trong một báo cáo công bố ngày 1 tháng 12 trên tạp chí BMJ Case Reports để chỉ ra điều nguy hiểm và đưa ra lời cảnh báo cho những người khác.
Các tác giả viết: "Chúng tôi khuyên mọi người không nên nhịn hắt hơi bằng cách bịt mũi trong khi vẫn ngậm miệng vì nó có thể dẫn đến thủng khí quản".
Rách khí quản tự phát rất hiếm nhưng có khả năng gây tử vong. Chỉ có một số trường hợp đã được báo cáo và chúng thường do chấn thương thực thể hoặc thương tích sau thủ thuật y tế, chẳng hạn như phẫu thuật cắt bỏ tuyến giáp hoặc đặt ống vào khí quản.
Các tác giả báo cáo trường hợp viết, tùy thuộc vào vị trí của vết rách và liệu các dấu hiệu sinh tồn của bệnh nhân có ổn định hay không, thì phẫu thuật thường là cần thiết để chữa những tổn thương.
Theo Trang Ly (Đời sống & Pháp luật)
- Tình trạng nguy kịch nam thanh niên sát hại bạn gái tại phòng trọ Nghệ An, gia đình có động thái mới (20:03)
- Bi kịch gia đình cùng đi buôn ma túy, con trai kéo cả mẹ và vợ vào vòng lao lý (51 phút trước)
- Mùa hè bật điều hòa tốn hơn bật quạt bao nhiêu tiền? Đáp án từ EVN khiến nhiều người bất ngờ (1 giờ trước)
- Miền Bắc đón mưa giông và mưa đá diện rộng, đề phòng thiệt hại lớn từ đêm nay (1 giờ trước)
- Quảng Ngãi: Vây bắt đối tượng dùng rựa chống trả công an, cố thủ trong hang đá sâu (2 giờ trước)
- Bên trong kế hoạch phong tỏa cảng Iran: Vì sao Mỹ dồn thêm hàng nghìn binh sĩ? (2 giờ trước)
- Hủy diệt Timor Leste với 10 bàn, U17 Việt Nam sẵn sàng cho trận quyết định với Indonesia (2 giờ trước)
- Hà Nội: Ô tô bay thẳng vào tiệm cầm đồ, tài xế nhận mức phạt kịch khung vì nồng độ cồn (3 giờ trước)
- 5 học sinh bị cô giáo phạt chích kim tiêm vào tay: Đã có kết quả xét nghiệm máu (3 giờ trước)
- Danh tính nam thanh niên thách thức công an "đố anh bắt được em" vừa bị triệu tập, hé lộ lời khai? (3 giờ trước)