-
Cho em chồng vay 800 triệu không giấy tờ, 8 năm sau đòi lại thành "người tính toán": Câu chuyện khiến nhiều người trăn trở -
Cổ phiếu Hóa chất Đức Giang bị bán tháo sau tin Chủ tịch bị bắt -
Bí ẩn về "ký ức tiền kiếp": Hành trình đi tìm lời giải từ lời kể của một đứa trẻ 2 tuổi -
Hé lộ thân thế Chủ tịch Hóa chất Đức Giang: Top giàu nhất sàn chứng khoán, với khối tài sản nghìn tỷ -
Mở khóa tín dụng "khủng": Dự án lớn Hà Nội sắp được bơm vốn vượt trần -
Ông lão cụt tay kẹp rắn hổ mang sau khi bị cắn ở Đà Nẵng, bệnh viện thông báo tình trạng sức khỏe và chi phí điều trị -
Đã tìm được chủ nhân chiếc SH biển VIP để quên 3 ngày khi đi lễ hội ở Lạng Sơn, bất ngờ danh tính -
Lãi suất mua nhà thả nổi chạm 16%, dòng tiền bất động sản đang chảy về đâu? -
Hai mẹ con cô giáo tử vong trên cao tốc Cam Lâm - Vĩnh Hảo: Đau xót mâm cơm bà ngoại đợi con cháu mãi dang dở -
Suýt mất gia đình vì "miệng đời", bà nội nhận bài học đắt giá sau tờ kết quả ADN
Lối Sống
26/10/2023 02:47Răng vỡ rụng từng mảng vì cách đánh răng sai nhiều người mắc
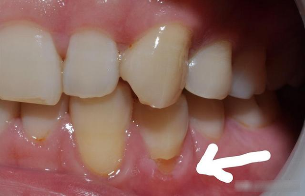
Mới đây, theo truyền thông Trung Quốc đưa tin, một phụ nữ 27 tuổi họ Ding ở Phật Sơn, tỉnh Quảng Đông (Trung Quốc) bị sứt mẻ răng do đánh răng theo chiều ngang trong thời gian dài. Cô Ding cho biết, khi đánh răng cô luôn sử dụng phương pháp chải theo chiều ngang, tuần trước khi cảm thấy khó chịu trong miệng, cô phát hiện răng vỡ, rơi ra những mảnh vụn nhỏ.
Sau khi đi khám, bác sĩ cho biết đây là khuyết tật hình nêm do đánh răng ngang trong thời gian dài và đã chữa răng cho cô Ding. Các bác sĩ cũng nhấn mạnh tầm quan trọng của việc đánh răng đúng cách. Tin tức này nhanh chóng làm dấy lên những cuộc thảo luận sôi nổi trong cư dân mạng và trở thành chủ đề tìm kiếm nóng. Đánh răng ngang lâu dài có thực sự dẫn đến mất răng?
Huang Xiaofei, bác sĩ Trưởng khoa Nha khoa tại Bệnh viện Đa khoa Vận tải Dương Tử (Trung Quốc), cho biết trên lâm sàng hiện tượng này rất phổ biến ở người trung niên và người cao tuổi, tương đối hiếm ở người trẻ tuổi, tuy nhiên không phải là không có. Nguyên nhân sâu xa là do không nắm vững phương pháp chải răng đúng cách và sự mài mòn cơ học lâu ngày dẫn đến mất mô cứng ở các răng vùng cổ má. Những khiếm khuyết nhỏ hơn thường dễ bị bỏ qua, còn những khiếm khuyết lớn hơn thường chỉ được phát hiện khi xuất hiện các triệu chứng như nhạy cảm và đau đớn, dẫn đến việc phải đến bệnh viện để điều trị.

Mặc dù thường có tương đối ít người trẻ được điều trị những tình trạng như vậy nhưng bác sĩ Huang Xiaofei vẫn có ấn tượng sâu sắc về bệnh nhân 23 tuổi, anh Chen. Anh Chen vì công việc không thể tránh khỏi việc ăn uống xã giao, nhưng việc thường xuyên bị vật lạ bám vào răng và mùi hôi trong miệng luôn khiến các mối quan hệ và tình bạn của anh trở nên tệ hơn. Vì lý do này, anh không dám tháo khẩu trang và đánh răng sau mỗi khi ăn. "Mỗi lần đánh răng là dùng hết sức lực để chà xát, sợ đánh không sạch!", anh Chen chia sẻ. Nhận thấy vấn đề răng miệng đã ảnh hưởng nghiêm trọng đến việc mở rộng kinh doanh và hẹn hò, anh mới đây đã đến đến gặp bác sĩ Huang Xiaofei để điều trị.
Sau khi kiểm tra kỹ lưỡng, anh Chen được chẩn đoán mắc nhiều khuyết tật hình nêm ở cổ răng, sâu răng và tụt nướu. Hỏi kỹ, bác sĩ Huang Xiaofei xác định chính xác là do anh Chen đã hiểu sai về việc đánh răng - đánh răng theo chiều ngang trong thời gian dài, sử dụng sai cách chải răng. Việc chuyển động tiến lùi của bàn chải theo chiều ngang chà xát răng khiến mô cứng của răng bị mài mòn, khiến răng bị sứt mẻ, nhạy cảm. Hơn nữa, phương pháp đánh răng này thường bỏ qua việc làm sạch các kẽ hở giữa hai răng, gây ra mảng bám tích tụ ở các kẽ hở gây sâu răng. Đánh răng tập trung lực dễ khiến nướu bị tổn thương, dẫn đến tụt nướu.
Khi bệnh nhân có vấn đề về răng miệng ở giai đoạn đầu, họ không đi khám chữa kịp thời mà sau này lại dùng sai phương pháp này để kích thích các răng bị tổn thương nhiều lần, thường xuyên và dữ dội, khiến tình trạng răng miệng ngày càng trầm trọng hơn, gây ra mùi hôi miệng và sâu răng, thường xuyên xảy ra các vấn đề sức khỏe răng miệng điển hình như kẹt dị vật.
Đánh răng thế nào cho đúng cách để tránh bị mẻ răng?
Bác sĩ Huang Xiaofei đặc biệt chỉ ra, trước hết bạn phải sửa lại thói quen đánh răng theo chiều ngang, chọn bàn chải đánh răng có lông mềm, sử dụng phương pháp dao động ngang để làm sạch răng, ngoài ra, bạn phải đến nha khoa để được tư vấn. Tái khám định kỳ, bác sĩ sẽ đưa ra phương pháp điều trị tương ứng tùy theo tình trạng cụ thể của răng, hướng dẫn và phối hợp điều trị để tránh xảy ra các bệnh răng miệng nghiêm trọng.

Bác sĩ cũng giới thiệu phương pháp đánh răng đúng cách: Có nguyên tắc đánh răng "ba 3" là: đánh răng sau ba bữa ăn trong ngày; đánh răng ít nhất ba phút mỗi lần; đánh ba mặt mỗi lần. Ba mặt là:
- Chải cổ răng:
+ Cầm tay cầm bàn chải, đặt lông bàn chải lên cổ răng, hướng theo hướng của đỉnh, răng hàm trên hướng lên trên và răng hàm dưới hướng xuống dưới, nghiêng một góc 45° so với bề mặt răng và ấn nhẹ vào điểm nối giữa răng và nướu sao cho một phần lông bàn chải đi vào rãnh nướu và một phần nằm trên viền nướu.
+ Bắt đầu từ các răng sau ở một bên, sử dụng nhóm 2-3 răng, rung ở khoảng cách ngắn (khoảng 2 mm) với biên độ nhỏ trong 10-20 lần, sau đó xoay bàn chải về phía thân răng và dùng lực chải lên bề mặt răng, lưu ý di chuyển nhẹ nhàng.
+ Di chuyển bàn chải đánh răng đến nhóm 2-3 răng tiếp theo và đặt lại vị trí, đảm bảo 1-2 răng chồng lên nhau. Nhẹ nhàng chải hàng răng trên từ nướu xuống và hàng răng dưới từ nướu trở lên, chải bề mặt môi và má của răng trên và dưới theo thứ tự.
+ Sử dụng phương pháp chải khi đánh môi (má), giữa 2 bước nêu trên, chải từ dưới lên trên để duy trì độ đồng nhất. Chải từng phần của bề mặt môi và lưỡi của vòm răng hàm trên và hàm dưới theo thứ tự, và không bỏ sót thứ gì.
- Chải răng cửa trên và dưới: Chải răng cửa trên và dưới. Đặt bàn chải thẳng đứng trên bề mặt lưỡi và vòm miệng, hướng lông bàn chải thẳng đứng và đi vào rãnh nướu, rung và tạo áp lực để chải. Khi chải mặt trong của các răng cửa hàm trên, chải từ trên xuống dưới; khi chải mặt trong của các răng cửa hàm dưới, chải từ dưới lên trên.
- Chải bề mặt nhai: Giữ cán bàn chải với lông bàn chải hướng vào bề mặt nhai, dùng lực nhẹ chải qua lại, chú ý chải các phần trên, dưới, trái và phải.
Theo Mỹ Diệu (Phụ Nữ Mới)
- “Quỷ nhập tràng 2” gây tranh cãi nhưng vẫn thắng lớn ngoài phòng vé, lý do là gì? (21:18)
- Tranh cãi án phạt của Malaysia: AFC vẫn chưa đủ mạnh tay? (21:08)
- Iran chỉ đích danh thủ phạm gây khủng hoảng eo biển Hormuz, hé lộ sự thật Lãnh tụ tối cao ở Nga (41 phút trước)
- CEO dự án Nuôi Em Hoàng Hoa Trung có động thái mới giữa tâm bão nghi vấn minh bạch (1 giờ trước)
- Đạo diễn huyền thoại của loạt phim "Doraemon" qua đời ở tuổi 84 (2 giờ trước)
- Giỗ tổ Hùng Vương và 30/4 - 1/5: Người lao động cắt phép, trường học đổi lịch để nghỉ 9 ngày liên tiếp (2 giờ trước)
- Cận cảnh giải cứu bé trai rơi xuống giếng sâu 20 mét ở Đắk Lắk, cập nhật tình hình hiện tại của nạn nhân (2 giờ trước)
- Bộ GD-ĐT sẽ sửa quy định dạy thêm: Bảo vệ quyền dạy học chính đáng, siết chặt quản lý biến tướng (3 giờ trước)
- Cây xăng bị phạt 35 triệu đồng vì tự ý "thổi giá" vượt mức quy định (3 giờ trước)
- Israel tuyên bố tiêu diệt lãnh đạo hàng đầu Iran trong đòn không kích chớp nhoáng (3 giờ trước)