-
Cửa hàng điện tử ở Hà Nội cháy dữ dội
-
Toàn cảnh lễ đón Tổng Bí thư Tô Lâm thăm cấp Nhà nước CHDCND Triều Tiên
-
Bộ GD-ĐT yêu cầu xử lý vụ thầy giáo bóp cổ đồng nghiệp ngay trong trường
-
Từ Lee Min Ho đến Song Joong Ki, thời câu view kiếm tiền từ sao hạng A đã qua rồi
-
Bọc bạt kín như bưng, hai ô tô ở Thái Nguyên vẫn "mất tích" trong mưa ngập
-
Đêm trắng giữ đê ở Bắc Ninh, hàng nghìn người căng mình gia cố chống lũ
-
Cảnh sát, quân đội vào vùng ngập lụt lịch sử: "Không sao, có chú đây rồi"
-
Cảnh báo: Ngày càng nhiều nhân viên văn phòng trốn làm đi chơi pickleball!
-
Taylor Swift bị ruồng bỏ vẫn làm nên lịch sử, cả loạt siêu sao "ra chuồng gà"
-
Trực thăng Không quân cứu trợ 5 em bé mắc kẹt trên nóc nhà ở Lạng Sơn
Lối Sống
28/07/2023 17:14Thuốc lá điện tử chứa chất gây bệnh mới, nguy hại như thế nào?
Báo VietNamNet dẫn thông tin được Quỹ Phòng chống tác hại của thuốc lá, Bộ Y tế, chia sẻ với báo chí hồi cuối tháng 6. Theo đó, mặc dù vitamin E acetat an toàn khi được tiêu thụ dưới dạng thực phẩm hoặc mỹ phẩm, nhưng hậu quả của việc hít phải vitamin E acetat vẫn chưa được tìm hiểu đầy đủ. Hiện nay, một số quốc gia như Canada, Vương quốc Anh và một số tiểu bang ở Mỹ đã cấm vitamin E acetat.
TS.BS Nguyễn Trung Nguyên, Giám đốc Trung tâm Chống độc, Bệnh viện Bạch Mai, cho biết qua xét nghiệm dung dịch trong thuốc lá điện tử, đã phát hiện vitamin E acetate - chất gây bệnh EVALI làm tổn thương phổi. Đây là lần đầu tiên Việt Nam phát hiện vitamin E acetate trong dung dịch thuốc lá điện tử.

Vitamin E acetate là dung dịch lỏng, quánh, được trộn với tetrahydrocannabinol (THC) làm dung dịch trong thuốc lá điện tử. Khi vitamin bị nung nóng trong thuốc lá điện tử sẽ tạo thành khí ketene độc, gây bệnh Tổn thương phổi cấp liên quan thuốc lá điện tử (e-cigarette or vaping, product use associated lung injury - EVALI).
"Đây là một bệnh lý mới chưa có phác đồ điều trị chính thức, gây tổn thương phổi mạn tính", bác sĩ Nguyên nói trên VnExpress.
Bác sĩ cho biết thêm, hiện chưa phát hiện ca bệnh EVALI tại Việt Nam nhưng Bệnh viện Bạch Mai đã cảnh báo các bệnh viện để sàng lọc chẩn đoán, xét nghiệm kỹ hơn khi có bệnh nhân ngộ độc do hút thuốc lá điện tử.
Cũng theo nguồn tin trên, EVALI được phát hiện lần đầu tại Mỹ vào năm 2019, tăng mạnh vào tháng 8 và đạt đỉnh vào tháng 9 cùng năm. Tới ngày 18/2/2020, Mỹ ghi nhận hơn 2.800 ca, trong đó 68 ca tử vong. Tuổi trung bình bệnh nhân 24, trong đó 15% số ca nhập viện dưới 18 tuổi, 37% từ 18 đến 24 tuổi.
Theo BS Nguyên, đây là bệnh nguy hiểm, tất cả bệnh nhân đều phải nhập viện với tỷ lệ 76% phải hỗ trợ thở oxy, 22% thở máy không xâm nhập, 26% đặt ống nội khí quản, một số ca phải can thiệp ECMO (hệ thống tuần hoàn ngoài cơ thể). Khi hồi phục, 25-85% bị di chứng xơ phổi với các mức độ khác nhau, rối loạn khuyếch tán kéo dài ít nhất hai tháng.

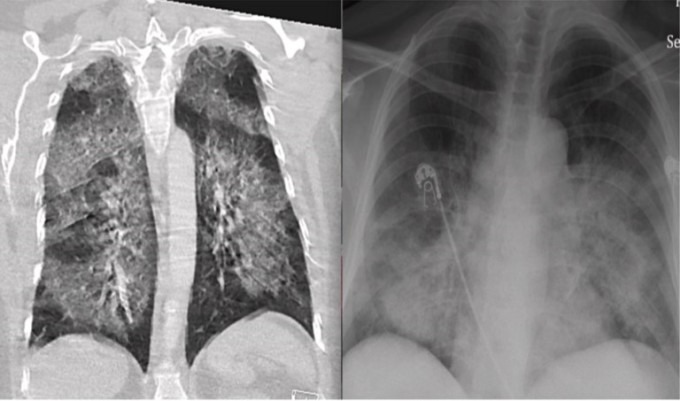
Triệu chứng của EVALI xuất hiện hàng giờ, hàng tuần trước khi nhập viện, gồm khó thở, ho, đau ngực, tiêu chảy, đau bụng, sốt, mệt. Sau đó, các chỉ số như máu lắng, bạch cầu đều tăng, ảnh chụp X-quang cho thấy phổi tổn thương trông lỗ chỗ như bánh mì hoặc như bỏng ngô.
"Hút thuốc lá điện tử phát sinh các bệnh hay ngộ độc mới nổi, thậm chí y học chưa biết, không thể đoán trước, thay đổi liên tục, không thể giải quyết hậu quả và tăng gánh nặng xã hội", ông Nguyên nói.
Năm 2020, nghiên cứu cho thấy 3,6% người trưởng thành tại Việt Nam hút thuốc lá điện tử, trong khi năm 2015 chỉ 0,2%. Đối với nhóm tuổi học sinh từ 13-15, điều tra năm 2022 cho thấy tỷ lệ này là 3,5%. Trong khi điều tra năm 2019 của Tổ chức Y tế thế giới, tỷ lệ sử dụng thuốc lá điện tử trong học sinh 15-17 tuổi tại Việt Nam là 2,6%, thông tin trên VietNamNet.
Thực tế gần đây, nhiều học sinh phải cấp cứu vì ngộ độc nicotin và các dung dịch có trong sản phẩm thuốc lá điện tử.

Trong công văn gửi 4 Bộ: Giáo dục Đào tạo, Công thương, Thông tin Truyền thông và Công an, hồi tháng 5, Bộ Y tế cho hay những sản phẩm thuốc lá điện tử, thuốc lá nung nóng và shisha, đều chưa được phép nhập khẩu, kinh doanh và lưu hành tại thị trường Việt Nam, tuy nhiên việc mua bán, quảng cáo đang diễn ra phổ biến, đặc biệt trên mạng internet.
Bộ Y tế đề nghị các Bộ liên quan tăng cường truyền thông và ngăn ngừa sử dụng các sản phẩm trên; tăng cường kiểm tra, xử lý nghiêm các trường hợp mua, bán, vận chuyển, tàng trữ, khuyến mại, tiếp thị thuốc lá điện tử, thuốc lá nung nóng.
PN (SHTT)








- Cửa hàng điện tử ở Hà Nội cháy dữ dội (11:26)
- Người đàn ông ở TP HCM bị cướp giật dây chuyền vàng trị giá 100 triệu đồng (11:18)
- Suýt ngất khi biết đây là phòng của một nữ sinh 2k1! (11:18)
- "Ông hoàng nhạc sến" Vbiz: Bỏ 1 triệu đô mua bảo hiểm trinh tiết, đúc tượng chính mình từ 1.000 cây vàng (11:17)
- Toàn cảnh lễ đón Tổng Bí thư Tô Lâm thăm cấp Nhà nước CHDCND Triều Tiên (11:10)
- VIDEO: Người dân chen chúc xếp hàng mua vàng khi giá vượt 142 triệu đồng/lượng (11:07)
- Ông bố trẻ khóc nức nở vì con trai học tiểu học, nhưng vợ ngồi cạnh lại cười khúc khích: Chuyện gì đây? (11:06)
- "Cậu bé đẹp nhất thế giới" William Franklyn-Miller giờ ra sao? (11:02)
- Bộ GD-ĐT yêu cầu xử lý vụ thầy giáo bóp cổ đồng nghiệp ngay trong trường (37 phút trước)
- VIDEO: Người dân chen chúc xếp hàng mua vàng khi giá vượt 142 triệu đồng/lượng (40 phút trước)




