-
Lindo "Team châu Phi" gây xôn xao khi công khai tìm việc tại Việt Nam: Bước đi đầy bất ngờ sau ồn ào rời nhóm -
Nàng hậu "đa năng" giữ ghế Phó Chủ tịch, xây biệt thự chục tỷ nhưng thừa nhận "kém khoản tìm chồng" -
Hà Nội đề xuất "cởi trói" cho xe bán tải: Sẽ được lưu thông tự do như ô tô con? -
Kiểm tra khẩn cấp bếp ăn tại Hà Nội và Ninh Bình sau vụ 300 tấn thịt lợn bệnh -
Báo động khẩn: Phanh phui đường dây sản xuất 13 loại thực phẩm bổ sung giả tại công ty Asia Life -
Vụ cô giáo đánh học sinh phải bó bột ở Huế: Diễn biến mới quá trình xử lý vụ việc? Tình hình em nhỏ? -
Đề nghị truy tố chủ tịch Công ty Asia Life sản xuất kẹo Kera được Hằng Du Mục quảng cáo -
3 mẹ con để lại thư tuyệt mệnh trên cầu ở Hưng Yên được công an đưa về, hé lộ tình hình hiện tại -
Bức xúc cảnh nam sinh lớp 9 bị bạn đánh tới tấp: Từng bị đánh nhiều lần, gia đình hé lộ chi tiết xót xa -
Drama "cạn phước" vì mùi cơ thể tài xế xe ôm: Ai mới thực sự là nạn nhân?
Pháp luật
10/03/2026 14:02Rùng mình thủ đoạn tự đục vỡ xương để chiếm đoạt 6 tỷ đồng tiền bảo hiểm tại Phú Thọ
Để chiếm đoạt số tiền khổng lồ từ các tập đoàn bảo hiểm lớn, một nhóm đối tượng đã bất chấp đau đớn, tự gây thương tích nghiêm trọng cho chính cơ thể mình dưới sự trợ giúp của các nhân viên y tế biến chất.

Cầm đầu đường dây này là Tạ Minh Châu (28 tuổi), nguyên cán bộ Khoa xét nghiệm thuộc Trung tâm Y tế huyện Cẩm Khê. Lợi dụng kiến thức chuyên môn, Châu đã cấu kết với Nguyễn Anh Dũng (nguyên cán bộ Khoa Chẩn đoán hình ảnh cùng đơn vị) và 7 đối tượng khác để thiết lập một quy trình lừa đảo khép kín. Thủ đoạn của nhóm này bắt đầu bằng việc yêu cầu các thành viên đứng tên mua hàng loạt gói bảo hiểm nhân thọ, sau đó chọn những địa điểm vắng vẻ như hồ câu hoặc nhà riêng để thực hiện hành vi "tự sát thương".
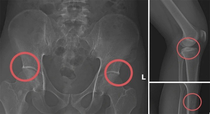
Kịch bản kinh hoàng được tái hiện tại buổi thực nghiệm cho thấy, sau khi tiêm thuốc gây mê cho đồng phạm, Châu đã trực tiếp dùng búa đinh đập nát các vùng xương chậu và xương đùi của nạn nhân để tạo ra những tổn thương thực thể nghiêm trọng. Khi tỉnh dậy với những vết thương thật, các đối tượng tiếp tục dàn dựng hiện trường giả như bị điện giật hoặc trượt ngã khi đi suối để hợp thức hóa hồ sơ bệnh án tại các cơ sở y tế.

Hình ảnh cho thấy các đối tượng tự gây thương tích nhằm trục lợi.
Bằng những bộ hồ sơ thương tật "đẫm máu" nhưng đã được dàn xếp kỹ lưỡng này, nhóm đối tượng đã qua mặt nhiều công ty bảo hiểm danh tiếng như Manulife, AIA, Dai-ichi Life, FWD, Sun Life và Chubb Life để đòi bồi thường. Tổng số tiền chúng đã chiếm đoạt thành công lên tới hơn 6 tỷ đồng, trong đó riêng Công ty Manulife bị tổn thất 2,6 tỷ đồng. Tại buổi thực nghiệm, các hành vi diễn lại của nhóm đối tượng hoàn toàn khớp với lời khai và các chứng cứ mà lực lượng chức năng thu thập được.
Hiện tại, Công an tỉnh Phú Thọ đã ra quyết định khởi tố và tạm giam nhóm "liên minh" này để củng cố hồ sơ xử lý nghiêm trước pháp luật.
- Lindo "Team châu Phi" gây xôn xao khi công khai tìm việc tại Việt Nam: Bước đi đầy bất ngờ sau ồn ào rời nhóm (01/04/26 23:23)
- Tokyo rung chuyển vì động đất: Nhật Bản cảnh báo nguy cơ dư chấn mạnh trong 1 tuần tới (01/04/26 23:15)
- Công điện khẩn ngày 1/4: Siết chặt giá xăng dầu và thực phẩm, không để găm hàng tăng giá bất hợp lý (01/04/26 23:02)
- Lời hối lỗi muộn màng của cựu Thứ trưởng Bộ NN&PTNT: "Đánh mất mình trong phút giây không chín chắn" (01/04/26 22:54)
- Liên minh Houthi - Hezbollah - Iran đồng loạt tấn công Israel: Trung Đông rực lửa chiến sự (01/04/26 22:32)
- Bàng hoàng vụ người đàn ông rơi từ cầu Vĩnh Tuy tử vong: Chiếc xe máy còn nguyên chìa khóa trên cầu (01/04/26 22:27)
- Ghế nóng Malaysia lung lay: HLV Peter Cklamovski đối mặt áp lực từ chức sau thất bại trước Việt Nam (01/04/26 22:09)
- Nàng hậu "đa năng" giữ ghế Phó Chủ tịch, xây biệt thự chục tỷ nhưng thừa nhận "kém khoản tìm chồng" (01/04/26 21:57)
- Ông Trump bất ngờ tuyên bố Iran đề nghị ngừng bắn: Mỹ ra "điều kiện thép" tại eo biển Hormuz (01/04/26 21:38)
- Hà Nội đề xuất "cởi trói" cho xe bán tải: Sẽ được lưu thông tự do như ô tô con? (01/04/26 21:25)