-
Quái vật giá rẻ iPhone 17e trình làng, bên ngoài mỏng manh nhưng nội công cực kỳ thâm hậu -
Nguồn cơn vụ xe bán tải chèn ngã cả gia đình đi xe máy: Tài xế "nóng máu" sau 1 câu nói của người chồng? -
Danh tính tài xế xe tải chống trả quyết liệt với CSGT ở Quảng Ninh, đã rõ lý do tìm mọi cách thoát thân -
Kết "đắng" vụ nam shipper Hà Nội cố vượt rào khi tàu sắp đến, nhân chứng kể lại tình huống nguy hiểm -
Nữ nghệ sĩ sân khấu duy nhất lọt danh sách ứng cử Đại biểu Quốc hội khóa XVI là ai? -
Tình hình sức khỏe cháu bé 5–7 ngày tuổi bị bỏ rơi ở gần nghĩa trang, ai đang tạm thời nhận nuôi bé? -
Tử vi thứ 3 ngày 3/3/2026 của 12 con giáp: Thìn tự tin, Ngọ nhiều thử thách -
Giá vàng SJC chiều 2/3 vượt mốc 190 triệu đồng mỗi lượng, thị trường ghi nhận biến động mới từ dòng tiền đầu tư -
"Dở khóc dở cười" hậu Tết: Giúp việc vi vu trời Âu, chủ nhà ở lại... cọ toilet tới đêm -
IRGC tuyên bố giáng đòn tên lửa vào Văn phòng Thủ tướng Israel và sở chỉ huy không quân
Sức khỏe
13/03/2019 20:48Người phụ nữ đột quỵ khi đang đạt cực khoái
Người phụ nữ 44 tuổi, đến từ phía tây Luân Đôn, Anh, đã bất tỉnh trong phòng ngủ khi cơn cực khoái đến. Đối tác của người phụ nữ này khai báo nhận thấy cơ thể cô cứng đờ, liền đưa cô đi cấp cứu tại bệnh viện. Qua kiểm tra sơ bộ, các bác sĩ kết luận nhân đã bị đột quỵ ngay trong lúc quan hệ tình dục.
Qua các xét nghiệm ban đầu, bác sĩ nghĩ rằng người phụ nữ lên cơn động kinh nhưng quét CT cho thấy có máu chảy giữa hộp sọ và não, cho thấy đây thực sự đã đột quỵ. Họ chẩn đoán người phụ nữ bị xuất huyết dưới nhện - một sự chảy máu đột ngột vào khoang trống (khu vực dưới màng nhện) ở giữa não và lớp màng bao phủ não.

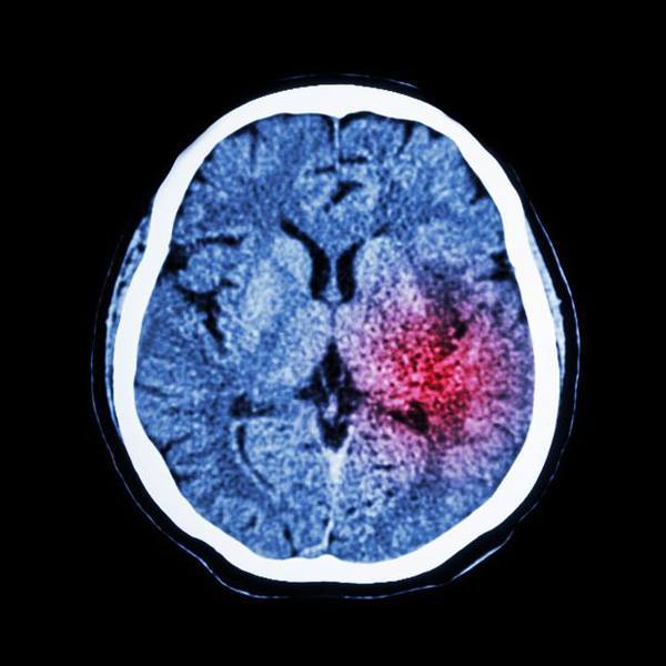
Quét CT cho thấy các bản khắc điển hình được nhìn thấy sau đột quỵ
Trong báo cáo, các bác sĩ nói rằng hoạt động tình dục đã được "mô tả kỹ" là nguyên nhân khiến các mạch máu bị vỡ vì nó làm tăng huyết áp. Họ đã viết: "Các nghiên cứu chứng minh khi hoạt động tình dục, huyết áp, cũng như nhịp tim, rất có khả năng thay đổi, đặc biệt tăng cao khi đạt cực khoái".
Bệnh nhân đã trải qua hai tuần trong bệnh viện để hồi phục hoàn toàn. Được biết, người phụ nữ 44 tuổi này nghiện rượu, thuốc lá, có tiền sử hen suyễn và bị sốt rét não ở độ tuổi 20, nhưng những điều này không liên quan trực tiếp đến đột quỵ của cô gặp phải.
Xuất huyết dưới nhện có nguy hiểm?
Xuất huyết dưới khoang nhện hay còn gọi là xuất huyết dưới nhện. Đây là sự chảy máu đột ngột vào khoang trống (khu vực dưới màng nhện) ở giữa não và lớp màng bao phủ não. Nguyên nhân thường do một động mạch bị phình ở não đứt vỡ. Tình trạng này rất nguy hiểm. Theo thống kê, lên đến 10-15% người bệnh tử vong trước khi vào đến bệnh viện. Và đến 40% chết trong tuần đầu tiên sau khi bệnh khởi phát. Khoảng một nửa tử vong trong 6 tháng đầu. Ngoài ra hơn một phần ba người sống sót có những di chứng thần kinh nặng nề.
“Cực khoái” khiến cơ thể chúng ta có những biến động gì?

- Tim đập, chân run: Nhịp tim tăng nhanh và tim đập dồn dập khi yêu và đạt đỉnh là điều diễn ra thường xuyên. Có trường hợp đi kèm với đó là chân run.
Hiện tượng này xuất hiện ở cả nam và nữ, rất dễ hiểu khi cả hai bạn đang tăng tốc cho cuộc yêu và nó bị dừng lại đột ngột khiến cho các cơ bắp co rút, đặc biệt hai bắp chân sẽ xuất hiện hiện tượng run, nặng hơn có thể bị chuột rút.
- Co rút cơ lưng, đau buốt thắt lưng: Trong quá trình quan hệ tình dục, người đàn ông mất rất nhiều sức có thể dẫn đến hiện tượng co rút cơ lưng. Vì thế, sau cuộc yêu, nhất là những cuộc yêu trong khi cơ thể mỏi mệt, cánh mày râu thường có cảm giác mỏi nhừ vùng thắt lưng, có khi còn cảm thấy đau buốt ở vùng thắt lưng đó.
- Trời đất tối sầm: Trạng thái này thường gặp ở nam giới nhiều hơn nữ, do việc lên đỉnh đã gây ra hiện tượng nghẽn mạch hoặc co giãn mạch khiến mạch máu của mắt không lưu thông bình thường, dẫn đến chứng mù tạm thời.
- Đặc biệt với những người có tiền sử bệnh tim, mạch máu não rất dễ bị xuất huyết não, đột quỵ, tai biến khi đạt “cực khoái”.
Theo An An (VietNamNet)
- Quái vật giá rẻ iPhone 17e trình làng, bên ngoài mỏng manh nhưng nội công cực kỳ thâm hậu (07:50)
- Nguồn cơn vụ xe bán tải chèn ngã cả gia đình đi xe máy: Tài xế "nóng máu" sau 1 câu nói của người chồng? (07:39)
- Danh tính tài xế xe tải chống trả quyết liệt với CSGT ở Quảng Ninh, đã rõ lý do tìm mọi cách thoát thân (07:32)
- Kết "đắng" vụ nam shipper Hà Nội cố vượt rào khi tàu sắp đến, nhân chứng kể lại tình huống nguy hiểm (07:27)
- Nữ nghệ sĩ sân khấu duy nhất lọt danh sách ứng cử Đại biểu Quốc hội khóa XVI là ai? (07:20)
- Tình hình sức khỏe cháu bé 5–7 ngày tuổi bị bỏ rơi ở gần nghĩa trang, ai đang tạm thời nhận nuôi bé? (07:16)
- Dự báo thời tiết 3/3/2026: Miền Bắc đón không khí lạnh, trời mưa rét diện rộng (1 giờ trước)
- Vụ sai phạm tại hai bệnh viện nghìn tỷ: Cấp dưới bà Nguyễn Thị Kim Tiến ra giá 5% cho mỗi gói thầu (1 giờ trước)
- Phu nhân Lãnh tụ tối cao Iran qua đời sau đợt không kích của Mỹ và Israel (1 giờ trước)
- Real thua sốc ngay trên sân nhà, bị Barca nới rộng khoảng cách lên 4 điểm (1 giờ trước)