-
Nghẹt thở khoảnh khắc tài xế dừng xe, lao qua dải phân cách cứu em bé giữa làn xe container -
Sẵn sàng cho ngày khai mạc Kỳ họp thứ nhất, Quốc hội khóa XVI -
Everest: Nơi những "cột mốc tử thần" dẫn lối cho người sống lên đỉnh vinh quang -
Giới nghệ sĩ "trải lòng" trước lệnh siết chặt tình trạng hát nhép tại TP.HCM -
Giá vàng trong nước ngược chiều thế giới, Bộ Tài chính lý giải nguyên nhân -
Danh tính thi thể nam giới dưới hồ Hao Hao, Thanh Hóa, phát hiện loạt chi tiết bất thường -
Người đàn ông Hải Phòng bất ngờ ngã quỵ khi tập thể dục lúc rạng sáng, chuyên gia cảnh báo rủi ro -
Thủ tướng Phạm Minh Chính gửi lời cảm ơn sau hành trình 5 năm nhiệm kỳ -
Bảo Tín Minh Châu phát thông báo quan trọng, nhiều cửa hàng vàng trên cả nước cũng đồng loạt cảnh báo -
Hà Nội tiếp tục là nơi "đắt đỏ" nhất Việt Nam, bất ngờ với địa phương có chi phí rẻ nhất
Thế giới
16/12/2023 02:33Chơi kéo co với con, mẹ suýt đứt lìa tay vì điều này
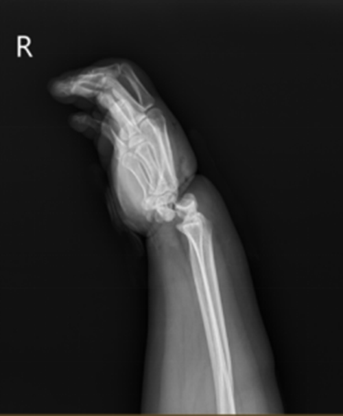
Tiểu Mỹ, một bà mẹ trẻ đến từ Ninh Ba, Chiết Giang, Trung Quốc, mới tham gia một cuộc thi kéo co giữa cha mẹ và con cái. Để phát huy sức mạnh tốt hơn, cô quấn một sợi dây gai quanh cổ tay phải của mình.
Nào ngờ, trong quá trình kéo co, cổ tay của Tiểu Mỹ bị sợi dây gai siết chặt, gây đau đớn dữ dội, Tiểu Mỹ hét lên kêu cứu nhưng không ai chú ý đến cô do tiếng ồn quá lớn. Sau trận kéo co, Tiểu Mỹ ngã xuống đất rồi được đưa đi cấp cứu ngay.
Khi Tiểu Mỹ được xe cấp cứu đưa đến Bệnh viện số 2 Ninh Ba, khớp cổ tay của cô đã bị gãy và trật hoàn toàn, bác sĩ xác định lưu thông máu kém. Sau khi tham khảo ý kiến của bác sĩ phẫu thuật vi phẫu tay, xác định rằng khớp cổ tay cũng như nguồn cung cấp máu động mạch và tĩnh mạch xa của Tiểu Mỹ có thể đã bị cắt đứt và cần phải ghép lại cổ tay bị đứt ngay lập tức.
"Lần đầu tiên tôi gặp bệnh nhân này, bàn tay phải của cô ấy sưng tấy rất nặng, cổ tay bị biến dạng nghiêm trọng, vùng da bị dây thừng siết cổ bị hoại tử và toàn bộ lòng bàn tay chuyển sang màu tím do thiếu máu cục bộ", bác sĩ cho biết sau khi khám.
Bác sĩ thẳng thắn nói, muốn cứu được bàn tay của Tiểu Mỹ, tuần hoàn máu bàn tay phải được phục hồi càng sớm càng tốt.
Tuy nhiên, đã 3 giờ trôi qua kể từ lúc Tiểu Mỹ bị thương đến khi tới viện, huyết khối đã hình thành trong các mao mạch ở lòng bàn tay, thời gian trì hoãn càng lâu thì khả năng hoại tử lòng bàn tay do thiếu máu cục bộ càng lớn, phải phẫu thuật ngay lập tức. Phải mất hơn 4 giờ đồng hồ mới cứu được bàn tay phải của Tiểu Mỹ và xây dựng lại nguồn cung cấp máu cũng như chức năng cho nó.
Hiện tại, Tiểu Mỹ đã qua giai đoạn nguy hiểm nhất, sau này phải thường xuyên thực hiện các bài tập chức năng tay, thế nhưng những cử động tinh tế của tay phải vẫn sẽ bị ảnh hưởng ở một mức độ nhất định.
Qua trường hợp này, các bác sĩ nhắc nhở không nên buộc dây vào cổ tay, cánh tay, thắt lưng và các bộ phận khác trên cơ thể khi kéo co bởi lực của dây rất lớn, vết thương do bị siết thậm chí còn nghiêm trọng hơn vết cắt bằng vật sắc nhọn.
Vết thương ở tay là tình trạng tương đối phổ biến trong cuộc sống hàng ngày, cần nắm rõ các biện pháp điều trị cơ bản vết thương ở tay như chỉ cần băng bó trước bằng khăn sạch để cầm máu, sau khi gãy xương có thể dùng tấm cứng để cố định tạm thời nhằm ngăn ngừa tổn thương thêm. Sau đó đến bệnh viện nhanh nhất có thể bởi chẩn đoán sớm và điều trị sớm mới có thể giảm thiểu tổn thương.
Theo Kiều Dụ (Kienthuc.net.vn)
- TP.HCM: Giải cứu nghẹt thở 2 người mắc kẹt trong căn nhà 6 tầng cháy dữ dội (14:38)
- Mẹ chồng treo thưởng 500 triệu giục sinh thêm cháu: Nàng dâu "đứng hình" vì bí mật triệt sản của chồng (14:28)
- Đây là chiếc iPhone Pro 3 mắt cấu hình khủng giá rẻ nhất Việt Nam, dùng ngon chẳng kém iPhone 17 Pro Max (14:16)
- Hải Phòng: Hơn 10 tổ công tác đặc biệt đồng loạt bủa vây, triệt phá đường dây sản xuất và buôn bán “kho” vũ khí khủng (14:08)
- Tổng thống Trump nói gì về chiến dịch giải cứu phi công Mỹ bị bắn rơi ở Iran? (14:06)
- Phương Oanh rạng rỡ tái xuất bên hai con sau thời gian dài ở ẩn (53 phút trước)
- Đây là chiếc iPhone 15 Pro Max fullbox hiếm hoi còn sót lại, dùng vẫn cực mượt chẳng kém iPhone 17 Pro Max (56 phút trước)
- Nghẹt thở khoảnh khắc tài xế dừng xe, lao qua dải phân cách cứu em bé giữa làn xe container (58 phút trước)
- Mỹ tuyên bố giải cứu thành công phi công bị bắn rơi ở Iran (1 giờ trước)
- Sẵn sàng cho ngày khai mạc Kỳ họp thứ nhất, Quốc hội khóa XVI (1 giờ trước)