-
Ngập lụt ở Cao Bằng, Thái Nguyên, Lạng Sơn, Bắc Ninh kéo dài đến khi nào?
-
Vụ án Mr Pips: Thu giữ 2,3 triệu USD, 890 miếng vàng SJC, 246 kg vàng
-
Trước khi vướng lùm xùm tiền ảo AntEx, Nexttech Group của Shark Bình đã đột ngột giảm vốn từ 500 xuống còn 4 tỷ đồng; Ngân Lượng cũng giảm 85% vốn
-
Công an xác minh clip tàu hỏa húc văng bàn ghế ở phố cà phê đường tàu Hà Nội
-
Cháy nhà ở Lâm Đồng khiến 2 vợ chồng thiệt mạng: Thông tin mới nhất
-
Khoảnh khắc thót tim cứu hai ông cháu 18 tiếng cầm cự trên mái nhà giữa lũ dữ
-
Thái Nguyên và những giọt nước mắt trong lũ dữ: "Con cháu tôi 3 ngày nay không có cơm"
-
Cả nước bật “chế độ cứu trợ khẩn cấp” hướng về Thái Nguyên
-
Chỉ cần giải quyết vấn đề này, người Hà Nội không còn phải bì bõm lội nước
-
Hỗ trợ khẩn cấp 140 tỷ cho 4 tỉnh khắc phục hậu quả mưa lũ, Thái Nguyên mức cao nhất 50 tỷ
Thế giới
19/01/2021 02:30Sốc về mức độ tàn phá hai lá phổi của Covid-19
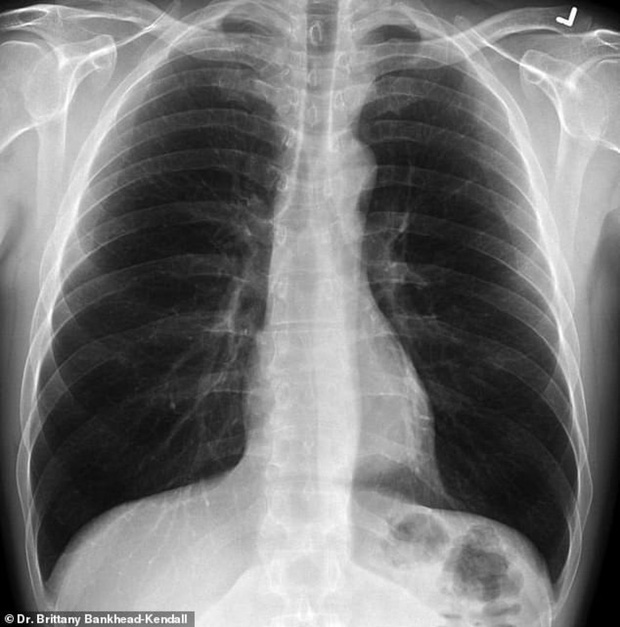
Bác sĩ phẫu thuật Brittany Bankhead-Kendall ở Trung tâm Khoa học Sức khỏe Đại học Kỹ thuật Texas (Mỹ) mới đây trưng ra 3 tấm phim chụp X-quang: Một của bệnh nhân khỏe mạnh, một của người hút thuốc, và một của bệnh nhân Covid-19.
Phim của người khỏe mạnh có nhiều khoảng đen, cho thấy họ có thể hít vào đủ lượng oxy cần thiết. Phim chụp phổi người hút thuốc thì có nhiều khoảng mờ, còn của bệnh nhân Covid-19 thì gần như trắng xóa.


Những khoảng mờ trên phim chụp phổi thường là chỉ dấu của dịch lỏng, vi khuẩn, hoặc tổn thương và vết sẹo.
Bác sĩ Kendall đánh giá, phổi của các bệnh nhân trải qua Covid-19 tệ hại hơn bất cứ người nghiện thuốc lá nào mà bà từng biết.
Vị nữ bác sĩ cho biết thêm, giới y tế hiện nay mới chỉ tập trung vào tỷ lệ tử vong do Covid-19 mà chưa chú ý đến tác hại lâu dài của bệnh này đối với những người sống sót.
Virus SARS-CoV-2 thường gây ra các biến chứng như viêm phổi – tình trạng mà trong đó phổi chứa đầy dịch lỏng và bị viêm, khiến 2 lá phổi khó tiếp nhận nhiều oxy, dẫn tới tình trạng ho và khó thở.
Một số nghiên cứu cũng phát hiện ở các bệnh nhân Covid-19 tổn thương đối với tế bào biểu mô chạy dọc theo khí quản từ mũi xuống phổi.
Theo Trung Hiếu (VOV)








- Ngập lụt ở Cao Bằng, Thái Nguyên, Lạng Sơn, Bắc Ninh kéo dài đến khi nào? (08/10/25 23:20)
- Vụ án Mr Pips: Thu giữ 2,3 triệu USD, 890 miếng vàng SJC, 246 kg vàng (08/10/25 23:04)
- Chị dâu ly hôn, đến ngày chị ấy dọn ra khỏi nhà tôi mới biết chồng mình không hề đơn giản (08/10/25 22:57)
- Xử lý người đưa tin trên Tiktok xuyên tạc vụ thảm án Đồng Nai (08/10/25 22:45)
- Trước khi vướng lùm xùm tiền ảo AntEx, Nexttech Group của Shark Bình đã đột ngột giảm vốn từ 500 xuống còn 4 tỷ đồng; Ngân Lượng cũng giảm 85% vốn (08/10/25 22:21)
- Cảnh tượng "nghẹt thở" sau Tết đoàn viên (08/10/25 22:15)
- HLV Kim Sang-sik nói thẳng về bê bối của ĐT Malaysia, nêu ra điều cực kỳ quan trọng cho ĐT Việt Nam (08/10/25 22:00)
- Công an xác minh clip tàu hỏa húc văng bàn ghế ở phố cà phê đường tàu Hà Nội (08/10/25 21:40)
- Cháy nhà ở Lâm Đồng khiến 2 vợ chồng thiệt mạng: Thông tin mới nhất (08/10/25 21:20)
- Đám cưới Selena Gomez lộ vật thể đáng ngờ phải giấu vội khi bị quay đến (08/10/25 21:12)




