-
Gia đình nhận thi thể hai mẹ con tại khu vực đập nước ở Bắc Ninh, hé lộ lý do tử vong ban đầu? -
Thực trạng bếp ăn, khu vệ sinh trường quốc tế ở Nghệ An: Cơ quan chức năng vào cuộc kiểm tra -
Bức tranh năm 2026: 12 con giáp rẽ hướng dòng tiền, ai chọn đúng kênh đầu tư sẽ giữ được lộc? -
Hủy toàn bộ chuyến bay đến Đà Lạt từ 4/3 -
Gắn điện thoại xem Google Maps khi lái xe có bị phạt, trường hợp nào bị xử lý theo luật giao thông -
Hiện trường trục vớt thi thể tài xế mất tích sau khi lao ô tô xuống sông, làm rõ nguyên nhân gây ra tai nạn? -
TikToker "Thắng không kịp" bị nhãn hàng hủy hợp tác sau vụ hành hung vợ cũ: Liệu có hợp pháp? -
Chỉ trong ngày 24/2, hàng loạt phương tiện ở Hà Nội bị "gọi tên" với những lỗi rất quen thuộc -
Ngày vía Thần Tài 2026: 4 con giáp được dự báo "hút lộc" mạnh nhất nếu mua vàng -
Nhà bị nghiêng sau khi hàng xóm thi công: Chủ nhà từ chối số tiền bồi thường 300 triệu vì 1 lý do?
Xã hội
21/07/2020 17:03Cắt thận ra rửa rồi ghép lại cứu sống bệnh nhân một cách ngoạn mục
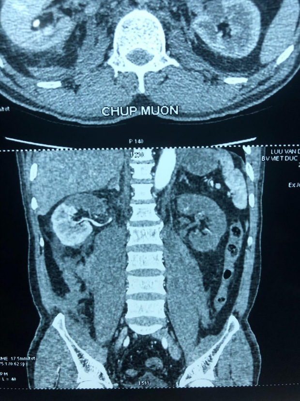
Tai nạn giao thông khiến anh L.V.D. (57 tuổi, Kim Thành, Hải Dương) bị tổn thương tắc động mạch thận. Bệnh viện Hữu nghị Việt Đức phát hiện thận bên phải của bệnh nhân có huyết khối động mạch cực trên, mất phần cấp máu cho cực trên, thận bên trái thiếu máu hoàn toàn, chức năng thận giảm, có biểu hiện suy thận.
Sau hội chẩn liên khoa, các bác sĩ chuyên khoa Tiết niệu - Tim mạch - Ghép tạng đã quyết định mổ cấp cứu, cố gắng bảo tồn thận phải và cứu thận trái cho bệnh nhân.

TS Lê Nguyên Vũ, Trung tâm Ghép tạng – Bệnh viện Hữu nghị Việt Đức, người trực tiếp tham gia ca phẫu thuật cho biết, thông thường với những tổn thương tắc động mạch thận, phẫu thuật sớm từ giờ thứ 6-8 tiếng sau tai nạn mới có thể cứu được thận. Tuy nhiên, bệnh nhân này khi được chuyển vào phòng mổ đã bước sang giờ thứ 24, quá "thời gian vàng" cho một ca ghép thận tự thân.
Nếu bệnh nhân không có biểu hiện suy thận thì không cần ghép thận tự thân và sống bằng thận còn lại. Nhưng anh D. đã có dấu hiệu suy thận nên các bác sĩ bắt buộc phải tiến hành ghép thận tự thân để 2 thận vẫn bổ sung chức năng cho nhau.
Nhóm phẫu thuật chia làm 2 kíp, tiến hành song song rửa – ghép thận trái và kiểm tra các tạng trong bụng, cơ hoành và bảo tồn thận phải.
Thận trái sau khi lấy ra khỏi cơ thể đã được rửa bằng dung dịch, bơm dung dịch tiêu huyết khối để hy vọng đẩy máu cục trong các mạch máu nhỏ bên trong quả thận. Mất khoảng 30 phút sau khi rửa, thận có màu trắng và đã được ghép vào hố chậu trái.
Sau 10 ngày phẫu thuật, chức năng thận của người bệnh đã trở lại bình thường.
PGS.TS Đỗ Trường Thành – Trưởng khoa Phẫu thuật Tiết niệu cho hay, "Thật sự là điều kỳ diệu! Quả thận của bệnh nhân mặc dù bị thiếu máu rất lâu nhưng các mạch máu trong thận không bị tắc lại, thận sau khi rửa không tím đen. Đây là một may mắn cho bệnh nhân có thể giữ lại được quả thận đảm bảo chức năng sống lâu dài".
Thiên Bình (Nguoiduatin.vn)
- Sự thật về hoàn cảnh của cô gái ở Hà Nội bị tố là "siêu lừa Anna" giữa lúc bị "phốt" gây sốt MXH (18:08)
- Dự báo sốc của nhà tiên tri mù Vanga về giá vàng trong năm 2026 (18:03)
- 72 giờ truy tìm tài xế gây tai nạn ở Đại lộ Thăng Long: Thi thể nạn nhân bị cán không còn nguyên vẹn (1 giờ trước)
- Tổng thống Trump phát đi cảnh báo đỏ: Iran đang phát triển tên lửa vươn tới Mỹ (1 giờ trước)
- Quán cà phê của Đàm Vĩnh Hưng bất ngờ đóng cửa sau 2 tuần khai trương (1 giờ trước)
- Gia đình nhận thi thể hai mẹ con tại khu vực đập nước ở Bắc Ninh, hé lộ lý do tử vong ban đầu? (1 giờ trước)
- Bệnh viện thông tin nóng về cô gái tử vong sau khi thuê người đến truyền "thuốc làm trắng" tại nhà (2 giờ trước)
- Bill Gates xin lỗi vì vụ việc tỷ phú ấu dâm Jeffrey Epstein (2 giờ trước)
- Thực trạng bếp ăn, khu vệ sinh trường quốc tế ở Nghệ An: Cơ quan chức năng vào cuộc kiểm tra (2 giờ trước)
- Tranh cãi gay gắt màn biểu diễn phản cảm trước mặt quân nhân của nữ ca sĩ Hàn Quốc (2 giờ trước)