-
“Ăn nước bọt với nước rác ngon không?”: Khách sốc vì bài đăng của nhân viên quán nướng Hà Nội sau mâu thuẫn
-
Miền Bắc sắp mưa to đến rất to, 8 tỉnh sau đặc biệt chú ý
-
Trường đại học Y khoa Phạm Ngọc Thạch lên tiếng vụ thí sinh 24 tuổi trúng tuyển tiến sĩ
-
Lốc xoáy đánh chìm nhiều thuyền của ngư dân
-
Doãn Hải My cùng Đoàn Văn Hậu đưa quý tử đi chơi Trung thu, visual "bạch nguyệt quang" gây sốt cõi mạng
-
6 máy bơm hoạt động ngày đêm "giải cứu" xóm ngập cả tuần ở Hà Nội
-
Bạn gái tiết lộ điều ít ai biết về Văn Thanh
-
Vỡ hụi trăm tỷ ở TPHCM: Nhiều người ở khắp các tỉnh, thành kéo về tố cáo
-
"Chảy máu chất xám ngược": Vì sao gần 100 nhà khoa học rời Mỹ về Trung Quốc?
-
Bánh Trung thu ngày Rằm tháng Tám: Dù "ế" nhưng nhiều thương hiệu không giảm giá
Xã hội
01/01/2024 20:30Đứng xem anh chị chơi cầu lông, bé gái 6 tuổi bị vợt găm vào đầu gây xuất huyết não
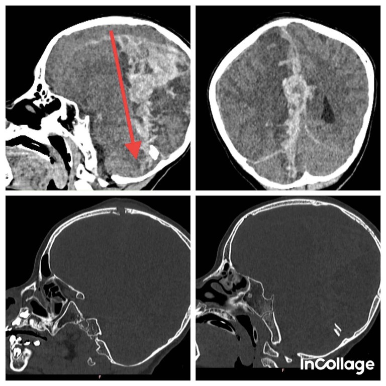
Hơn 10 ngày trước, bé B.T.Y.N (6 tuổi, Bình Phước) đứng trước nhà xem các anh chị đánh cầu lông. Bất ngờ, phần thân vợt rơi khỏi tay cầm, bay vút lên và rơi xuống đầu bé.
Mọi người đưa nạn nhân đến bệnh viện sơ cứu rồi chuyển lên TP.HCM tiếp tục điều trị. Tại đây, các bác sĩ cho biết bệnh nhi được chuyển đến trong tình trạng hôn mê sâu, vết thương trước đỉnh đầu đã được khâu.

CT Scan ghi nhận tổn thương xuyên thấu qua não, từ phía trước đỉnh đầu đến phần tiểu não phía sau, gây xuất huyết não nhiều, chèn ép và phù não. Các bác sĩ phẫu thuật khẩn cấp để lấy máu tụ và mở sọ giải áp.
Thạc sĩ, bác sĩ Nguyễn Ngọc Pi Doanh, Khoa Ngoại Thần kinh, Bệnh viện Nhi đồng 2 cho biết vết thương gây ra do một lực cực kỳ mạnh, xuyên thấu và tổn thương nhu mô não. Sau 10 ngày phẫu thuật cấp cứu và tích cực điều trị, bé đang dần hồi phục, mở mắt, cử động tay chân tự nhiên. Hiện, trẻ đã được chuyển về Khoa Ngoại Thần kinh để tiếp tục theo dõi.
"Bé có dấu hiệu phục hồi tốt nhưng chắc chắn sẽ có di chứng về thần kinh do não đã tổn thương nặng, bé chưa nói được và còn yếu nửa người trái", bác sĩ Doanh nói, thêm rằng đây là tai nạn sinh hoạt hy hữu nhưng vô cùng nguy hiểm.
Các bác sĩ đánh giá đây là một tai nạn sinh hoạt hy hữu và vô cùng nguy hiểm. Bệnh viện khuyến cáo phụ huynh cần cảnh giác trước các vật dụng có thể khiến trẻ dễ bị thương.
Hiền Lê (SHTT)








- Quán ăn Hà Nội đưa nhân viên chửi khách "ăn rác" lên đồn công an (06/10/25 23:10)
- Mở nhà nghỉ để “săn mồi”: Chủ homestay Nhật chuốc thuốc ngủ, xâm hại nhiều khách nữ (06/10/25 23:03)
- Taylor Swift khiến cả thế giới phát cuồng (06/10/25 22:43)
- Touliver đáp trả phũ phàng với Tóc Tiên? (06/10/25 22:35)
- Người cha KHÔNG LÀM 3 điều này chính là phước phần lớn nhất cho cả gia đình (06/10/25 22:24)
- Nữ hiệu trưởng trường lên tiếng về khay cơm 25.000 đồng gây bão ở Quảng Trị (06/10/25 22:02)
- Mr Pips nắm trong tay khối tài sản khổng lồ, trải rộng tại nhiều quốc gia (06/10/25 21:59)
- Xôn xao hình ảnh bữa ăn bán trú giá 25.000 đồng chỉ có trứng và vài lát chả (06/10/25 21:49)
- Ca sĩ Jack bị phạt hành chính (06/10/25 21:45)
- Khởi tố rapper Bình "Gold" về tội cướp tài sản (06/10/25 21:17)




