-
Người giàu không quét nhà kiểu như bạn: Bí mật phong thuỷ giữ tài khí qua cây chổi
-
Khoảnh khắc cây cầu biến dạng khi dòng lũ đục ngầu cuồn cuộn đổ về ở Cao Bằng
-
Khớp gối biến dạng, tuyến thượng thận bị suy do uống thảo dược mua từ nước ngoài
-
Hà Nội tiếp tục mưa lớn, lũ sông lên nhanh
-
Thu hồi ngay 3 loại dầu gội đầu, dung dịch vệ sinh là hàng giả
-
Cục CSGT nêu khó khăn trong việc xử phạt qua camera AI
-
Hiệu trưởng xin lỗi vì suất ăn 25.000 đồng như 10.000 đồng
-
Hình ảnh mây đen "như muốn sập xuống" ở Hà Nội
-
Vỡ đập thủy điện Bắc Khê 1 ở Lạng Sơn
-
Thầy giáo bị đồng nghiệp bóp cổ giữa sân trường vì nhắc đỗ xe sai quy định
Xã hội
21/02/2025 20:42Hiếm gặp: Nam thanh niên 17 tuổi bị nhồi máu não

Người bệnh nhập viện trong tình trạng đau đầu chóng mặt, yếu nửa người trái. Theo gia đình cho biết người bệnh hoàn toàn khỏe mạnh, không có bệnh lý nền, thể trạng béo phì. Khoảng vài ngày trước khi nhập viện, người bệnh có kêu đau đầu, chóng mặt, đã tự mua thuốc về uống nhưng không đỡ.
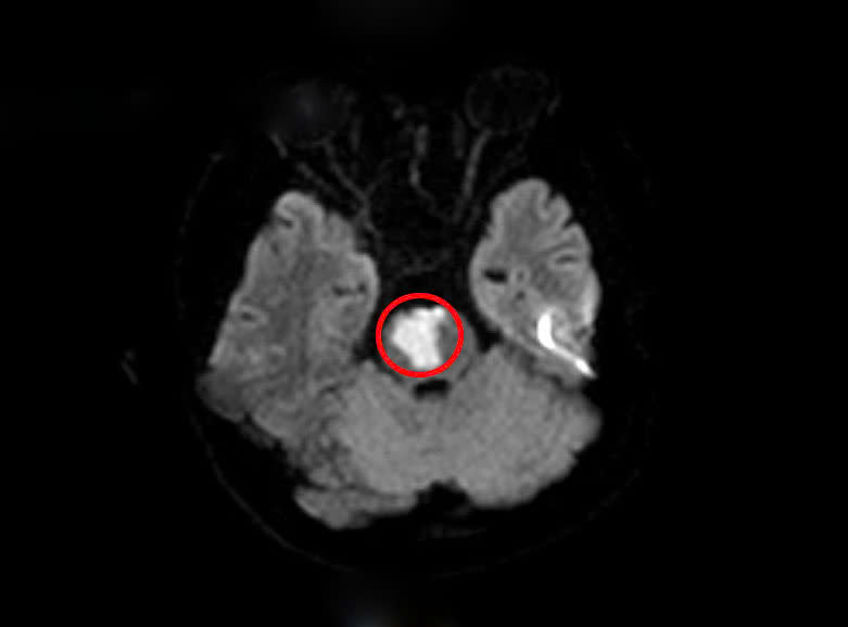
Sau khi khai thác tiền sử, các bác sĩ nghĩ nhiều đến tình trạng đột quỵ não và cho chỉ định tiến hành chụp MRI sọ não. Kết quả cho thấy người bệnh có khối nhồi máu tiểu não, cầu não do tắc động mạch thân nền.

Theo bác sĩ bệnh viện cho biết: trên kết quả xét nghiệm máu có rối loạn lipid máu, một yếu tố nguy cơ dẫn đến các vấn đề tim mạch và mạch máu não. Ngoài ra khi làm các xét nghiệm chuyên sâu, người bệnh được phát hiện bất thường trong hệ gen gây tăng nguy cơ tạo huyết khối tắc mạch.
Trường hợp người bệnh rất trẻ, nhưng lại có bệnh lý giữa nhồi máu tiểu não, cầu não và rối loạn lipid máu đã dẫn đến một tình trạng rất nghiêm trọng. Các bác sĩ đã nhanh chóng thực hiện các biện pháp cấp cứu, hội chẩn cùng Trung tâm đột quỵ Bệnh viện Bạch Mai và có phương pháp điều trị phù hợp cho người bệnh.
Sau quá trình điều trị dài ngày và phục hồi, người bệnh đã dần ổn định và hồi phục chức năng vận động cơ bản. Người bệnh được theo dõi sức khỏe và điều trị bằng phương pháp tập phục hồi chức năng để phục hồi khả năng vận động của cơ thể.
Đây là một trường hợp cảnh báo người dân về tầm quan trọng của việc theo dõi và chăm sóc sức khỏe bản thân, đặc biệt là không nên tự ý điều trị tại nhà khiến bệnh lý trầm trọng hơn.
Người dân nên duy trì chế độ ăn uống cân bằng, hạn chế thực phẩm nhiều cholesterol, thường xuyên tập thể dục và kiểm soát cân nặng. Đặc biệt, với những người có tiền sử gia đình mắc bệnh tim mạch, đột quỵ hoặc có các yếu tố nguy cơ như huyết áp cao, đái tháo đường, việc kiểm tra sức khỏe định kỳ càng trở nên quan trọng.
Theo Nam An (Thanh Niên Việt)








- Vì sao 7 cầu thủ ngoại mạo hiểm nhập tịch Malaysia? (07/10/25 23:15)
- Vì phong bì phúng viếng, chàng trai bị bạn gái dọa chia tay sau đám tang bà nội (07/10/25 22:56)
- Bayern Munich "cướp" tuyển thủ Anh trước mũi Liverpool (07/10/25 22:31)
- Lũ đặc biệt lớn, Thái Nguyên đối mặt đỉnh lũ vượt kỷ lục 2024 (07/10/25 22:28)
- Kẻ đứng sau hàng loạt buổi livestream xuyên tạc, gây rối ở Gia Lai (07/10/25 22:10)
- Vén màn cơ cấu quyền lực của gia tộc họ Minh và "nữ ma đầu" Minh Trân Trân (07/10/25 22:00)
- Phim Việt giờ vàng thay toàn bộ diễn viên (07/10/25 21:50)
- Hiệu trưởng lên tiếng về những tin nhắn giáo viên của trường vận động phụ huynh đóng góp (07/10/25 21:42)
- 7 người chết và mất tích do bão Matmo, lũ kỷ lục trên sông Cầu (07/10/25 21:34)
- Ngôi nhà 2 tầng ở Hà Nội bốc cháy giữa cơn mưa lớn (07/10/25 21:26)




