-
Tử vi thứ 2 ngày 6/10/2025 của 12 con giáp: Rằm Trung thu, ai được hưởng phúc lộc dồi dào?
-
CLIP: Những màn khoe của "gây choáng" của Hoàng Hường
-
Tiết lộ ghế ngồi giúp tăng cơ hội sống sót khi máy bay gặp nạn
-
Vì sao cựu Giám đốc Bệnh viện Đa khoa Bình Thuận và Giám đốc CDC Bình Thuận bị bắt?
-
Tú "cơ" buôn ma túy, nhưng thủ sẵn trong người giấy "đi giao nộp cho công an"
-
Phân định pháp lý vụ người phụ nữ lái xe chạy tốc độ cao tông chủ tịch xã tử vong
-
Bóc hộp bánh Trung thu bạn trai tặng bố mẹ, cô gái kiên quyết chia tay
-
Ngã úp mặt vào xô nước, bé gái ở Tây Ninh nguy kịch
-
Hà Nội yêu cầu "đặc biệt rút kinh nghiệm" công tác chống ngập trước bão số 11
-
Ô tô biển số Hà Nội mất lái, tông gãy rào chắn rồi lao xuống sông
Xã hội
09/02/2025 01:05Mắc cúm A, người phụ nữ Hà Nội phổi như bị bóp nghẹt, 'không thể thở nổi'
Bệnh nhân P.T.H. (51 tuổi, Hà Nội) ở nhà có triệu chứng ho nhiều, ho có đờm, đau rát họng kèm người gai rét, sốt cao. Bệnh nhân còn xuất hiện thêm tình trạng đau rát vùng sau xương ức và khó thở.
Bệnh nhân nghĩ mắc cúm thông thường nên tự mua thuốc về uống. Tuy nhiên, tình trạng không thuyên giảm, vẫn tiếp tục sốt cao kèm mệt nhiều, ăn kém, khó thở, tưởng như phổi bị bóp nghẹt, "không thể thở nổi". Do đó, bệnh nhân đã quyết định nhập viện ngay trong đêm.
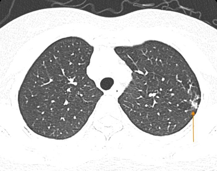
Tại Bệnh viện Đa khoa Medlatec, bệnh nhân được test có dương tính với cúm A. Hình ảnh chụp cắt lớp vi tính phổi độ phân giải cao cho thấy bệnh nhân gặp biến chứng viêm phổi. Hiện tại, bệnh nhân tiếp tục được điều trị và theo dõi tại khoa Nội.

Theo đánh giá của TS.BS Ngô Chí Cương - Phó Giám đốc Chuyên môn, Trưởng khoa Nội, Bệnh viện Đa khoa Medlatec, tuy rằng đa phần các trường hợp bị nhiễm cúm A thường diến biến khá nhẹ, tuy nhiên cũng có những tình huống đặc biệt nguy hiểm, thậm chí là gây ra tử vong.
Hiện, nhiều người có tâm lý chủ quan khi mắc cúm, cho rằng chỉ là bệnh nhẹ và không đi khám sớm. Tuy nhiên, ở những người có hệ miễn dịch suy giảm, cúm có thể gây ra các biến chứng nguy hiểm, làm tổn thương cơ thể ở mức độ nghiêm trọng.
TS.BS Chí Cương cho hay cúm A có thể gây ra biến chứng điển hình như viêm phổi. Tình trạng này xuất hiện phổ biến ở các nhóm người có yếu tố nguy cơ cao như:
- Trẻ em;
- Người trên 65 tuổi;
- Người có bệnh mạn tính như: suy tim, đái tháo đường, bệnh phổi tắc nghẽn mạn tính, xơ gan...
- Ở phụ nữ mang thai, mắc cúm A dễ dẫn đến biến chứng viêm phổi nặng và suy thai, sảy thai, thai chết lưu, đẻ non…
Ngoài ra, cúm A còn có khả năng gây viêm bội nhiễm (viêm tai giữa, viêm mũi xoang mủ), viêm cơ tim, nhiễm khuẩn huyết, nhiễm nấm huyết.
2 dấu hiệu mắc cúm cảnh báo nguy hiểm
Bác sĩ Cương cho hay, dù cúm mùa thường được xem là bệnh nhẹ, nhưng nếu xuất hiện hai dấu hiệu sau, người bệnh cần đến cơ sở y tế ngay lập tức:
- Suy hô hấp (thở nhanh, thở nông, khó thở, co kéo cơ hô hấp, tím tái)
- SpO2 giảm dưới 93% (chỉ số bão hòa oxy trong máu thấp có thể dẫn đến suy hô hấp cấp).
Bên cạnh đó, những người có bệnh nền như hen phế quản, COPD, tiểu đường, bệnh tim mạch có nguy cơ biến chứng cao hơn và cần đặc biệt theo dõi sát sao.
Theo Ngọc Minh (nguoiduatin.vn)








- Sĩ Thanh gây tranh cãi vì ăn mặc hở hang cúng giỗ Tổ (3 phút trước)
- Diễn viên Ngân Quỳnh không nghỉ hưu, muốn làm việc tới ngày cuối cùng cuộc đời (7 phút trước)
- Nữ diễn viên bị ép cưới chồng hơn 32 tuổi, mất con gái vì ung thư máu, nhận lời trăn trối ám ảnh đến rợn người (19 phút trước)
- Quảng Ngãi động đất 4,9 độ lúc rạng sáng, người dân nhiều tỉnh thành cảm nhận rung lắc (21 phút trước)
- NÓNG: Bắt 2 đối tượng cùng nửa tấn ma tuý ở Quảng Trị (25 phút trước)
- Khách du lịch Anh gây náo loạn quán bar ở Đà Nẵng, đánh cả mẹ ruột (35 phút trước)
- Bão số 11 Matmo đổ bộ vào Trung Quốc, hoàn lưu gây mưa to ở Bắc Bộ (45 phút trước)
- Ông Đặng Lê Nguyên Vũ tậu xe Porsche cổ 75 năm tuổi, tiền tỷ cũng khó mua (49 phút trước)
- Loại nho mới của Trung Quốc đổ bộ chợ Việt, giá đắt gấp 10 hàng "quý tộc" (53 phút trước)
- Nên bỏ thi tốt nghiệp THPT, nền giáo dục trung thực xét tuyển học bạ vẫn công bằng (56 phút trước)




