-
Ngập lụt ở Cao Bằng, Thái Nguyên, Lạng Sơn, Bắc Ninh kéo dài đến khi nào?
-
Vụ án Mr Pips: Thu giữ 2,3 triệu USD, 890 miếng vàng SJC, 246 kg vàng
-
Trước khi vướng lùm xùm tiền ảo AntEx, Nexttech Group của Shark Bình đã đột ngột giảm vốn từ 500 xuống còn 4 tỷ đồng; Ngân Lượng cũng giảm 85% vốn
-
Công an xác minh clip tàu hỏa húc văng bàn ghế ở phố cà phê đường tàu Hà Nội
-
Cháy nhà ở Lâm Đồng khiến 2 vợ chồng thiệt mạng: Thông tin mới nhất
-
Khoảnh khắc thót tim cứu hai ông cháu 18 tiếng cầm cự trên mái nhà giữa lũ dữ
-
Thái Nguyên và những giọt nước mắt trong lũ dữ: "Con cháu tôi 3 ngày nay không có cơm"
-
Cả nước bật “chế độ cứu trợ khẩn cấp” hướng về Thái Nguyên
-
Chỉ cần giải quyết vấn đề này, người Hà Nội không còn phải bì bõm lội nước
-
Hỗ trợ khẩn cấp 140 tỷ cho 4 tỉnh khắc phục hậu quả mưa lũ, Thái Nguyên mức cao nhất 50 tỷ
Xã hội
22/02/2020 15:15TP.HCM: Bé trai 17 tháng tuổi lên cơn sốt khi ở cùng mẹ tại Bệnh viện dã chiến huyện Củ Chi
Thông tin này được Sở Y tế TP.HCM cho biết trong ngày 21/2.
Trước đó, bé trai 17 tháng tuổi cùng gia đình đi từ thành phố Thâm Quyến, Quảng Đông (Trung Quốc), quá cảnh tại Malaysia rồi về lại về Việt Nam qua cửa khẩu sân bay Tân Sơn Nhất vào ngày 14/2.

Sau đó bé cùng mẹ được đưa đến Bệnh viện (BV) dã chiến huyện Củ Chi cách ly, giám sát theo quy định với người đi từ vùng dịch trở về.
Ban đầu sức khỏe bé bình thường. Tuy nhiên vào ngày 20/2, bé bất ngờ lên cơn sốt, dấu hiệu nghi ngờ nhiễm Covid-19.

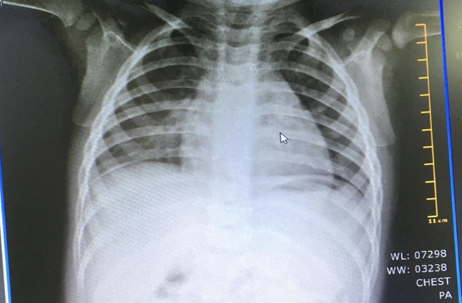
Các nhân viên y tế đã tiến hành chụp X - quang phổi, siêu âm cùng các xét nghiệm sinh hoá tại BV. Mẫu bệnh phẩm của bé được gởi khẩn đến Viện Pasteur TP.HCM để xét nghiệm PCR.
Ngày 21/2, Kết quả xét nghiệm cho thấy bệnh nhi âm tính với Covid-19.

Tính đến nay theo thống kê của Trung tâm Kiểm soát bệnh tật TP.HCM, Bệnh viện dã chiến huyện Củ Chi đang thực hiện cách ly cho 30 trường hợp. Ngoại trừ bé trai trên, các trường hợp còn lại đều khỏe mạnh, chưa có dấu hiệu bất thường.
Ngoài ra, tổng số người được cách ly tại các cơ sở cách ly tập trung của quận, huyện là 55 trường hợp.
Hiện đã có 36 người hết thời gian theo dõi 14 ngày, còn 19 người đang tiếp tục được theo dõi.

Sở Y tế đã chỉ đạo Trung tâm Kiểm soát bệnh tật thành phố kiểm tra, giám sát các hoạt động phòng, chống dịch bệnh tại nhà, nơi lưu trú, tại trường học, tại cơ sở cách ly tập trung của các quận, huyện, phường xã.
Đồng thời, tiếp tục tổ chức hoạt động kiểm dịch y tế tại ga xe lửa và sân bay nhằm phát hiện kịp thời người nghi ngờ mắc bệnh, người đến từ những vùng có dịch và tổ chức theo dõi, cách ly phù hợp.
Theo Hoàng Lê (Nhịp Sống Việt)








- Ngập lụt ở Cao Bằng, Thái Nguyên, Lạng Sơn, Bắc Ninh kéo dài đến khi nào? (08/10/25 23:20)
- Vụ án Mr Pips: Thu giữ 2,3 triệu USD, 890 miếng vàng SJC, 246 kg vàng (08/10/25 23:04)
- Chị dâu ly hôn, đến ngày chị ấy dọn ra khỏi nhà tôi mới biết chồng mình không hề đơn giản (08/10/25 22:57)
- Xử lý người đưa tin trên Tiktok xuyên tạc vụ thảm án Đồng Nai (08/10/25 22:45)
- Trước khi vướng lùm xùm tiền ảo AntEx, Nexttech Group của Shark Bình đã đột ngột giảm vốn từ 500 xuống còn 4 tỷ đồng; Ngân Lượng cũng giảm 85% vốn (08/10/25 22:21)
- Cảnh tượng "nghẹt thở" sau Tết đoàn viên (08/10/25 22:15)
- HLV Kim Sang-sik nói thẳng về bê bối của ĐT Malaysia, nêu ra điều cực kỳ quan trọng cho ĐT Việt Nam (08/10/25 22:00)
- Công an xác minh clip tàu hỏa húc văng bàn ghế ở phố cà phê đường tàu Hà Nội (08/10/25 21:40)
- Cháy nhà ở Lâm Đồng khiến 2 vợ chồng thiệt mạng: Thông tin mới nhất (08/10/25 21:20)
- Đám cưới Selena Gomez lộ vật thể đáng ngờ phải giấu vội khi bị quay đến (08/10/25 21:12)




