-
Người giàu không quét nhà kiểu như bạn: Bí mật phong thuỷ giữ tài khí qua cây chổi
-
Khoảnh khắc cây cầu biến dạng khi dòng lũ đục ngầu cuồn cuộn đổ về ở Cao Bằng
-
Khớp gối biến dạng, tuyến thượng thận bị suy do uống thảo dược mua từ nước ngoài
-
Hà Nội tiếp tục mưa lớn, lũ sông lên nhanh
-
Thu hồi ngay 3 loại dầu gội đầu, dung dịch vệ sinh là hàng giả
-
Cục CSGT nêu khó khăn trong việc xử phạt qua camera AI
-
Hiệu trưởng xin lỗi vì suất ăn 25.000 đồng như 10.000 đồng
-
Hình ảnh mây đen "như muốn sập xuống" ở Hà Nội
-
Vỡ đập thủy điện Bắc Khê 1 ở Lạng Sơn
-
Thầy giáo bị đồng nghiệp bóp cổ giữa sân trường vì nhắc đỗ xe sai quy định
Xã hội
11/10/2024 01:54TPHCM: Phát hiện ca bệnh nhiễm 'vi khuẩn ăn thịt người'
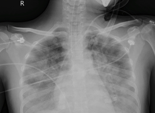
Nữ bệnh nhân là chị Đ.T.M.L. (33 tuổi, ngụ tại quận Gò Vấp, TPHCM) đến bệnh viện gần nhà trong tình trạng sốt cao, khó thở kéo dài 3 ngày liên tục. Sau khi nhập viện, bệnh diễn tiến rất nhanh khiến chị L. rơi vào tình trạng suy hô hấp, phải thở máy. Sau 24 giờ nhập viện, bệnh nhân bị sốc nhiễm khuẩn nên được chuyển đến Bệnh viện Nhân Dân Gia Định .

Tại đây, bệnh nhân được hồi sức chuyên sâu. Qua thăm khám, chẩn đoán hình ảnh, các bác sĩ phát hiện người bệnh bị tổn thương phổi lan tỏa hai bên chiếm gần 70% thể tích cả hai phổi. Người bệnh đã được đặt hệ thống oxy hóa qua màng ngoài cơ thể (VV-ECMO).
Sau 48 giờ nhập viện, qua kết quả cấy máu xét nghiệm, bác sĩ phát hiện bệnh nhân dương tính với vi khuẩn ăn thịt người Burkholderia pseudomallei (bệnh Whitmore). Đây là bệnh truyền nhiễm rất nguy hiểm, tỷ lệ tử vong cao.
Sau 4 ngày điều trị tích cực, các bác sĩ đã từng bước kiểm soát tổn thương phổi và tình trạng suy hô hấp nặng cho bệnh nhân, sức khỏe của người bệnh dần được cải thiện. Sau 2 tuần điều trị, nữ bệnh nhân đã phục hồi hoàn toàn, đủ điều kiện xuất viện.
Sau khi thoát khỏi cửa tử, nữ bệnh nhân cho biết: “Tôi có thói quen đi chân trần trên mặt đất khi tập thể dục ở công viên để tăng sự nhạy cảm của chân và giúp cơ chân chắc khỏe. Có lẽ vì thói quen này tôi đã bị nhiễm bệnh nguy hiểm này”.
Theo Vân Sơn (Tiền Phong)








- Vì sao 7 cầu thủ ngoại mạo hiểm nhập tịch Malaysia? (07/10/25 23:15)
- Vì phong bì phúng viếng, chàng trai bị bạn gái dọa chia tay sau đám tang bà nội (07/10/25 22:56)
- Bayern Munich "cướp" tuyển thủ Anh trước mũi Liverpool (07/10/25 22:31)
- Lũ đặc biệt lớn, Thái Nguyên đối mặt đỉnh lũ vượt kỷ lục 2024 (07/10/25 22:28)
- Kẻ đứng sau hàng loạt buổi livestream xuyên tạc, gây rối ở Gia Lai (07/10/25 22:10)
- Vén màn cơ cấu quyền lực của gia tộc họ Minh và "nữ ma đầu" Minh Trân Trân (07/10/25 22:00)
- Phim Việt giờ vàng thay toàn bộ diễn viên (07/10/25 21:50)
- Hiệu trưởng lên tiếng về những tin nhắn giáo viên của trường vận động phụ huynh đóng góp (07/10/25 21:42)
- 7 người chết và mất tích do bão Matmo, lũ kỷ lục trên sông Cầu (07/10/25 21:34)
- Ngôi nhà 2 tầng ở Hà Nội bốc cháy giữa cơn mưa lớn (07/10/25 21:26)




