-
Tổng thống Donald Trump chính thức phát lệnh tấn công quân sự quy mô lớn vào Iran -
Rằm tháng Giêng 2026: Sửa biện mâm lễ đủ đầy, gửi gắm ước mong năm mới hanh thông -
Cú lừa 2 triệu USD dưới danh nghĩa "chạy án" tại Ban Quản lý dự án Bộ Y tế -
Israel kích hoạt tấn công phủ đầu, thủ đô Tehran rung chuyển bởi nổ lớn -
Chào đón vận ĐỎ tuần từ 2-8/3: Top 4 con giáp càng xởi lởi, trời cho của càng nhiều, LỘC VÀNG trải dài -
Ông Hoàng Minh Sơn được giao quyền Bộ trưởng Bộ Giáo dục và Đào tạo -
"Nhai rồi nhả" qua màng bọc nilon: Chiêu trò giảm cân cực đoan hay "án tử" thầm lặng cho sức khỏe? -
Bác sĩ nói về cú ngã nguy hiểm khiến đô vật gãy cổ, tử vong trong ngày hội làng đầu năm -
Hillary Clinton và "vòng lặp" 30 năm: Cái bóng của người chồng và những rắc rối chưa hồi kết -
Video: Bí ẩn clip cô gái ngất xỉu tại chợ sau cuộc chạm trán chóng vánh với hai người lạ
Gia đình
20/02/2021 18:10Chuyên gia Pháp cảnh báo: Covid-19 có thể làm hình thành các nốt sần trong mắt, phá hủy thị lực
Covid-19 có thể làm hình thành các nốt sần trong mắt, phá hủy thị lực
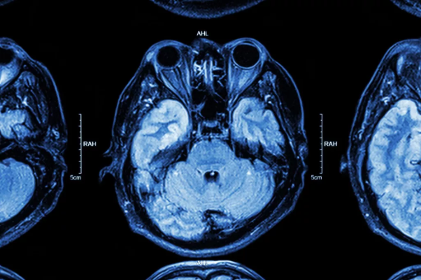
Theo một báo cáo của nghiên cứu mới đăng trên trang Live Science, một nghiên cứu được công bố trên tạp chí Radiology cho biết một số bệnh nhân nhập viện với bệnh do nhiễm Covid-19 có nốt sần bên trong mắt, có thể gây mù lòa.
Chuyên gia Augustin Lecler, phó giáo sư tại Đại học Paris, Pháp cho biết, nghiên cứu bao gồm 129 bệnh nhân Covid-19 nhập viện cho thấy thông qua thông tin chụp cộng hưởng từ não, trong đó 9 người (7%) có nốt sần ở mắt, và 8 người có nốt sần ở cả hai mắt.

Điều đáng chú ý là nốt sần này mọc ở vùng điểm vàng của mắt. Vùng điểm vàng chịu trách nhiệm chính cho sự sáng/mờ của thị lực, cho phép chúng ta nhìn thấy chi tiết vật thể một cách rõ ràng hơn, nếu vùng này tiếp tục suy giảm có thể gây giảm thị lực nghiêm trọng, thậm chí mù lòa.
Lecler chỉ ra rằng những bệnh nhân bị nhiễm Covid-19 trong tình trạng nặng phải đối mặt với các triệu chứng bất thường đa cơ quan, các triệu chứng này có thể đe dọa tính mạng và mắt thường bị bỏ qua.
Nghiên cứu này gợi ý rằng những bệnh nhân bị bệnh nặng cần được kiểm tra X quang mắt để bảo vệ thị lực của họ một cách hợp lý.

Trước đây, một số báo cáo cho biết bệnh nhân nhiễm Covid-19 có thể dẫn đến bị gây viêm kết mạc hoặc bệnh mắt đỏ và cũng có thể gây bệnh võng mạc.
Nghiên cứu này lần đầu tiên phát hiện ra các triệu chứng có nốt sần ở mắt, nhưng nguyên nhân chưa rõ ràng và có thể do tắc nghẽn mạch máu hoặc chảy máu mắt. Tác hại cụ thể của tổn thương cũng chưa được biết rõ.
Chuyên gia Lecler suy đoán rằng các tế bào võng mạc có thể biểu hiện thụ thể ACE2 và SARS-CoV-2 có thể lây nhiễm trực tiếp vào các tế bào mắt thông qua thụ thể này.
Những nốt như vậy có thể là kết quả của phản ứng viêm của cơ thể đối với căn bệnh này.
Mặt khác, các nốt có thể không liên quan trực tiếp đến virus và thuốc. Một số bệnh nhân bị bệnh nặng và cần được điều trị ở tư thế "nằm sấp" trong ICU. Lúc này, bụng của họ bị nén lại và phải đặt ống thở để điều trị, lâu ngày sẽ khiến nhãn áp tăng cao và sinh bệnh.
Trong nghiên cứu này, hầu hết các bệnh nhân có bất thường về mắt đã được điều trị ở tư thế nằm sấp trong ICU trong một thời gian.
Hiện tại, nghiên cứu này là hồi cứu, và vẫn chưa chắc chắn liệu những bất thường này chỉ là tạm thời, cũng như không thể khẳng định rằng cuối cùng chúng sẽ gây ra suy giảm thị lực.
Các nhà nghiên cứu đang theo dõi 9 bệnh nhân có bất thường về mắt này, và cũng đang nghiên cứu những bệnh nhân bị bệnh nặng khác bằng phương pháp chụp cộng hưởng từ và khám mắt toàn diện.
Họ dự định tiến hành các cuộc điều tra tương tự trên những bệnh nhân nhẹ để xác định thêm mức độ nghiêm trọng của các vấn đề ở mắt.
Theo Vân Hồng (Doanh Nghiệp & Tiếp Thị)
- Đại sứ quán Việt Nam tại Israel phát thông báo khẩn, yêu cầu cộng đồng nâng mức cảnh giác cao nhất (16:19)
- Phim 18+ gây tranh cãi nhất năm 2026: "Đồi Gió Hú" khiến khán giả nghẹt thở vì quá nóng bỏng (16:17)
- Hồ sơ vụ án tại hai "siêu bệnh viện" nghìn tỷ: Khi 10 lãnh đạo doanh nghiệp đồng loạt phá vỡ "luật im lặng" (16:11)
- Phó tổng Thanh tra Chính phủ Dương Quốc Huy làm Bí thư Tỉnh ủy Lào Cai (16:11)
- Ba thói quen quen thuộc đang lặng lẽ làm giảm cơ hội làm cha mẹ của nhiều người (51 phút trước)
- Honor sắp mở bán quái vật tầm trung từ 10 triệu, mạnh áp đảo iPhone 17 so kè Galaxy S26 (54 phút trước)
- Chủ tiệm tạp hóa ngất xỉu sau khi nhìn vào điện thoại người lạ (1 giờ trước)
- Tổng thống Donald Trump chính thức phát lệnh tấn công quân sự quy mô lớn vào Iran (1 giờ trước)
- Thực hư tin đồn Vương Nhất Bác lộ tin nhắn nhạy cảm, nói xấu Tiêu Chiến và đồng nghiệp (1 giờ trước)
- 4 tín hiệu cầu cứu của trẻ, cha mẹ thông thái đừng xem là sự nổi loạn (1 giờ trước)