-
Người giàu không quét nhà kiểu như bạn: Bí mật phong thuỷ giữ tài khí qua cây chổi
-
Khoảnh khắc cây cầu biến dạng khi dòng lũ đục ngầu cuồn cuộn đổ về ở Cao Bằng
-
Khớp gối biến dạng, tuyến thượng thận bị suy do uống thảo dược mua từ nước ngoài
-
Hà Nội tiếp tục mưa lớn, lũ sông lên nhanh
-
Thu hồi ngay 3 loại dầu gội đầu, dung dịch vệ sinh là hàng giả
-
Cục CSGT nêu khó khăn trong việc xử phạt qua camera AI
-
Hiệu trưởng xin lỗi vì suất ăn 25.000 đồng như 10.000 đồng
-
Hình ảnh mây đen "như muốn sập xuống" ở Hà Nội
-
Vỡ đập thủy điện Bắc Khê 1 ở Lạng Sơn
-
Thầy giáo bị đồng nghiệp bóp cổ giữa sân trường vì nhắc đỗ xe sai quy định
Gia đình
04/07/2019 21:52Đau đầu đi cấp cứu phát hiện 5 ổ sán lớn nằm trong não người đàn ông ăn tiết canh

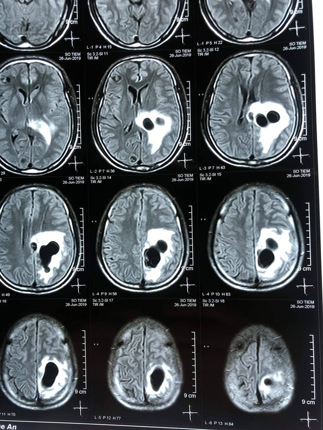
Ngày 3/7, Bệnh viện hữu nghị đa khoa Nghệ An cho biết, bệnh viện này vừa phẫu thuật vét 5 ổ sán trong đầu một bệnh nhân nam do ăn tiết canh, ăn đồ sống.
Theo người nhà cho biết, khoảng 1 tháng trở lại đây, anh Lô Văn S. (38 tuổi, trú huyện Quỳ Hợp, Nghệ An) thường xuyên xuất hiện những cơn đau đầu triền miên. Dù uống thuốc nhiều nhưng anh S. không đỡ.
1 tuần trước, anh S. bị liệt nửa người, đau đầu nhiều, buồn nôn nên được người nhà đưa đi cấp cứu tại bệnh viện.

Qua thăm khám và chụp CT não cho thấy có 5 ổ sán nằm rải rác trong não bệnh nhân S.. Trong đó có một ổ sán lớn trên đỉnh của bệnh nhân gây phù não. Bệnh nhân sau đó được chỉ định can thiệp ngoại khoa để lấy được trọn vẹn ổ nang sán khỏi não.
Ca mổ thành công, bệnh nhân S. hồi phục, tỉnh táo, không liệt, đi lại và sinh hoạt bình thường.
Các bác sỹ tại bệnh viện cho biết, kén sán não là bệnh nhiễm trùng hệ thần kinh do ấu trùng sán sống ký sinh ở người gây ra. Bệnh thường gặp ở người dân ăn thịt lợn chưa nấu chín, ăn tiết canh, ăn gỏi sống.
Hiện bệnh nhân S. đang tiếp tục được điều trị thuốc đặc trị sán.
Theo Ngọc Tú (Trí Thức Trẻ)








- Vì sao 7 cầu thủ ngoại mạo hiểm nhập tịch Malaysia? (07/10/25 23:15)
- Vì phong bì phúng viếng, chàng trai bị bạn gái dọa chia tay sau đám tang bà nội (07/10/25 22:56)
- Bayern Munich "cướp" tuyển thủ Anh trước mũi Liverpool (07/10/25 22:31)
- Lũ đặc biệt lớn, Thái Nguyên đối mặt đỉnh lũ vượt kỷ lục 2024 (07/10/25 22:28)
- Kẻ đứng sau hàng loạt buổi livestream xuyên tạc, gây rối ở Gia Lai (07/10/25 22:10)
- Vén màn cơ cấu quyền lực của gia tộc họ Minh và "nữ ma đầu" Minh Trân Trân (07/10/25 22:00)
- Phim Việt giờ vàng thay toàn bộ diễn viên (07/10/25 21:50)
- Hiệu trưởng lên tiếng về những tin nhắn giáo viên của trường vận động phụ huynh đóng góp (07/10/25 21:42)
- 7 người chết và mất tích do bão Matmo, lũ kỷ lục trên sông Cầu (07/10/25 21:34)
- Ngôi nhà 2 tầng ở Hà Nội bốc cháy giữa cơn mưa lớn (07/10/25 21:26)




