-
Ngập lụt ở Cao Bằng, Thái Nguyên, Lạng Sơn, Bắc Ninh kéo dài đến khi nào?
-
Tử vi hàng ngày 9/10/2025 của 12 con giáp: Thứ 5 Mão may mắn
-
Vụ án Mr Pips: Thu giữ 2,3 triệu USD, 890 miếng vàng SJC, 246 kg vàng
-
Trước khi vướng lùm xùm tiền ảo AntEx, Nexttech Group của Shark Bình đã đột ngột giảm vốn từ 500 xuống còn 4 tỷ đồng; Ngân Lượng cũng giảm 85% vốn
-
Công an xác minh clip tàu hỏa húc văng bàn ghế ở phố cà phê đường tàu Hà Nội
-
Cháy nhà ở Lâm Đồng khiến 2 vợ chồng thiệt mạng: Thông tin mới nhất
-
Khoảnh khắc thót tim cứu hai ông cháu 18 tiếng cầm cự trên mái nhà giữa lũ dữ
-
Thái Nguyên và những giọt nước mắt trong lũ dữ: "Con cháu tôi 3 ngày nay không có cơm"
-
Cả nước bật “chế độ cứu trợ khẩn cấp” hướng về Thái Nguyên
-
Chỉ cần giải quyết vấn đề này, người Hà Nội không còn phải bì bõm lội nước
Gia đình
17/07/2022 00:45Đột quỵ, liệt nửa người do bị ong đốt
Trung tâm Đột quỵ – Bệnh viện Đa khoa tỉnh Phú Thọ vừa tiếp nhận trường hợp bà H.T.T (58 tuổi, ở Thị Xã Phú Thọ) với tiền sử khỏe mạnh, trong gia đình không có ai bị đột quỵ.
Trước khi nhập viện 7 giờ, bệnh nhân xuất hiện tình trạng yếu nửa người trái. Nghỉ ngơi tại nhà nhưng không đỡ, bà T. được gia đình đưa đến cơ sở y tế gần nhất sau đó được chuyển lên Bệnh viện Đa khoa tỉnh Phú Thọ cấp cứu và điều trị.

Tại thời điểm vào viện, bệnh nhân hoàn toàn tỉnh táo, liệt nửa người trái, chỉ số mạch, nhiệt độ, huyết áp, nhịp thở hoàn toàn bình thường. Tuy nhiên khi thăm khám, bệnh nhân có triệu chứng co giật nửa người liệt. Các bác sĩ đã khai thác thêm bệnh sử của bệnh nhân. Theo đó, buổi sáng cùng ngày, bà T. ra vườn hái rau và vô tình bị ong đốt, sau đó đỡ và không để ý. Vết đốt có hiện tượng đau, sưng và đỏ- là phản ứng tại chỗ sau khi bị ong đốt. Các bác sĩ Trung tâm Đột quỵ đã hội chẩn, xem xét các tài liệu và nhận thấy trường hợp đột quỵ do ong đốt trên thế giới là rất hiếm.
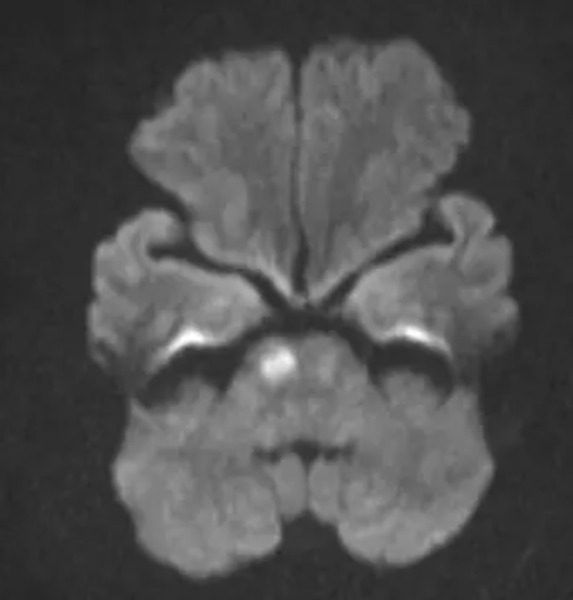
Nhận định ban đầu, các bác sĩ cho rằng, phản ứng qua trung gian miễn dịch của hệ thống đối với vết ong đốt gây ra co mạch và trạng thái tạo huyết khối kèm theo thiếu máu cục bộ dẫn đến đột quỵ. Vì vậy bệnh nhân được tiến hành chụp cộng hưởng từ sọ não ghi nhận nhồi máu cầu não phải. Người bệnh sau đó đã được xử trí tích cực và chuyển sang giai đoạn tập phục hồi chức năng tại Trung tâm Đột quỵ Phú Thọ.
Theo BS Nguyễn Minh Đức – Trung tâm Đột quỵ, Bệnh viện Đa khoa tỉnh Phú Thọ, khi bị bất kỳ côn trùng nào đốt, người dân cần theo dõi sức khỏe sát sao và tới cơ sở y tế uy tín ngay khi có triệu chứng bất thường. “Nhồi máu não là một biến chứng quan trọng mặc dù hiếm gặp của ong đốt, điều này phải được lưu ý ở những bệnh nhân có biểu hiện yếu tay chân sau khi bị ong đốt. Đặc biệt, nhận biết vấn đề kịp thời sẽ giúp chẩn đoán và điều trị sớm, giúp bệnh nhân hồi phục nhanh chóng”, BS Minh Đức khẳng định.
Theo Ngọc Trang (VietNamNet)








- Từ ngày 10/10, mua bán vàng 20 triệu đồng trở lên phải chuyển khoản (25 phút trước)
- Galaxy S26 Ultra lộ màu cam chói lóa, hàng triệu fan thấy ‘sốc’ (30 phút trước)
- Nữ MC VTV nổi tiếng từ 20 tuổi từng không dám xem mình lên sóng vì xấu hổ, giờ là thần tượng của Khánh Vy (36 phút trước)
- Triệt phá, khởi tố nhóm dự án tiền ảo lừa 3.000 nhà đầu tư chiếm đoạt 7,86 triệu USD (45 phút trước)
- Indonesia nhận trái đắng ở vòng loại 4 World Cup (49 phút trước)
- Người phụ nữ nhổ nước bọt, đánh bé gái 10 tuổi gây bức xúc ở TP.HCM (55 phút trước)
- Công trình trăm tỷ bị sóng biển đánh tan hoang ở Ninh Bình (59 phút trước)
- Tử vi hàng ngày 9/10/2025 của 12 con giáp: Thứ 5 Mão may mắn (1 giờ trước)
- Ngập lụt ở Cao Bằng, Thái Nguyên, Lạng Sơn, Bắc Ninh kéo dài đến khi nào? (08/10/25 23:20)
- Vụ án Mr Pips: Thu giữ 2,3 triệu USD, 890 miếng vàng SJC, 246 kg vàng (08/10/25 23:04)




