-
Thực hư tin đồn xuất hiện cơn bão số 12 ngay sau bão Matmo
-
Tử vi 12 con giáp hôm nay - thứ 3 ngày 7/10/2025: Tý khó khăn, Tị cân bằng
-
“Ăn nước bọt với nước rác ngon không?”: Khách sốc vì bài đăng của nhân viên quán nướng Hà Nội sau mâu thuẫn
-
Miền Bắc sắp mưa to đến rất to, 8 tỉnh sau đặc biệt chú ý
-
Trường đại học Y khoa Phạm Ngọc Thạch lên tiếng vụ thí sinh 24 tuổi trúng tuyển tiến sĩ
-
Lốc xoáy đánh chìm nhiều thuyền của ngư dân
-
Doãn Hải My cùng Đoàn Văn Hậu đưa quý tử đi chơi Trung thu, visual "bạch nguyệt quang" gây sốt cõi mạng
-
6 máy bơm hoạt động ngày đêm "giải cứu" xóm ngập cả tuần ở Hà Nội
-
Bạn gái tiết lộ điều ít ai biết về Văn Thanh
-
Vỡ hụi trăm tỷ ở TPHCM: Nhiều người ở khắp các tỉnh, thành kéo về tố cáo
Gia đình
18/01/2023 06:00Một người phụ nữ ở Gia Lai 'hồi sinh' ngoạn mục
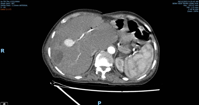
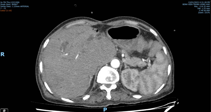
Bệnh nhân Võ Thị Th. (SN 1954; ngụ tại tỉnh Gia Lai) đã được Bệnh viện Trung ương Huế cho xuất viện ngày 17-1 sau khi được điều trị vỡ giả phình động mạch gan do áp-xe gan.

Bà Th. nhập viện vào cuối tháng 12-2022 với tình trạng sốt cao, đau hạ sườn phải. Kết quả CT Scan bụng cho thấy hình ảnh áp-xe gan và khối giả phình động mạch ở gan phải.
Trong quá trình điều trị, bệnh nhân hết sốt, không còn đau hạ sườn phải. Tuy nhiên, đến ngày thứ 10, bệnh nhân đại tiện phân đen, xét nghiệm máu hồng cầu giảm nặng.
Bệnh nhân được truyền hồng cầu khối, cho nội soi dạ dày, chỉ phát hiện viêm xước nhẹ.

Ngày thứ 15, bệnh nhân đột ngột xuất hiện choáng mất máu với mạch nhanh, huyết áp hạ, niêm mạc mắt nhạt màu, tiếp tục đại tiện phân đen, xét nghiệm máu có hồng cầu giảm nặng trở lại.
Kết quả chụp CT Scan bụng lại, nội soi kiểm tra tính chất mật chảy qua bóng Vater khẳng định được bệnh nhân bị vỡ giả phình động mạch gan nên được hồi sức tích cực, can thiệp nút động mạch gan chọn lọc qua da cấp cứu thành công.
Trong 48 giờ sau đó, bệnh nhân không còn tình trạng chảy máu và đã đại tiện phân vàng.

Theo PGS Hồ Hữu Thiện, Phó Trưởng khoa Ngoại Nhi - Cấp cứu bụng thuộc Bệnh viện Trung ương Huế, giả phình động mạch gan do áp-xe gan là bệnh hiếm gặp. Chỉ có khoảng 6 trường hợp mắc bệnh này được báo cáo, nếu không phát hiện và điều trị kịp thời bệnh nhân sẽ choáng do mất máu và dẫn đến tử vong.
Biểu hiện lâm sàng là choáng mất máu do chảy máu ồ ạt vào đường mật hoặc khoang phúc mạc. Bệnh nhân có thể đại tiện phân đen do máu chảy vào đường mật hoặc bụng căng chướng do máu chảy vào khoang phúc mạc.
Theo Quang Nhật (Nld.com.vn)








- Thực hư tin đồn xuất hiện cơn bão số 12 ngay sau bão Matmo (07:11)
- Mưa dữ dội suốt đêm, Hà Nội lại ngập ở nhiều tuyến phố (25 phút trước)
- Venezuela phát hiện âm mưu đánh bom Đại sứ quán Mỹ (32 phút trước)
- Bầu Đoan bán 189 lô đất khi chưa đủ điều kiện, thu lợi 191 tỷ đồng (52 phút trước)
- Lời cảm ơn cha mẹ "chưa học tới lớp 7" của thủ khoa Đại học Bách khoa Hà Nội (54 phút trước)
- Danh sách các tuyến đường Hà Nội có nguy cơ ngập lụt sáng nay (1 giờ trước)
- FIFA chính thức tung bằng chứng: Cả 7 cầu thủ nhập tịch Malaysia đều làm giả hồ sơ theo cùng 1 cách (1 giờ trước)
- 56 giờ "nghẹt thở" truy bắt nghi phạm vụ 3 người bị bắn tử vong ở Đồng Nai (1 giờ trước)
- Dự báo thời tiết 7/10/2025: Miền Bắc có nơi mưa rất to (1 giờ trước)
- Tử vi 12 con giáp hôm nay - thứ 3 ngày 7/10/2025: Tý khó khăn, Tị cân bằng (1 giờ trước)




