-
Nữ ca sĩ bị quay lén dưới váy giữa sự kiện, cảnh sát từ chối xử lý vì hình phạt "quá nhẹ" -
Tuấn Hải lập siêu phẩm, Xuân Son ghi bàn tái xuất, nhưng nỗi lo vẫn bủa vây HLV Kim Sang-sik -
Nữ sinh 15 tuổi mất tích bí ẩn sau lời xin phép đi gội đầu, gia đình cầu cứu cộng đồng -
Đắk Lắk: Lũ chồng lũ do thủy điện xả tràn, hạ du đối mặt kịch bản khốc liệt hơn lịch sử 1993 -
Mức án chính thức dành cho kẻ sát hại 4 người thân rồi làm điều dại dột ở Hà Nội vì quá nghèo khổ -
Những hình ảnh đầu tiên trục vớt xe tải bị cuốn trôi ở Quảng Trị, cập nhật tình hình tìm kiếm tài xế -
Chăm mẹ vợ như mẹ đẻ suốt 10 năm, tôi chết lặng trước yêu cầu tàn nhẫn của bà trên giường bệnh -
Hà Nội: Đi đăng kiểm, chủ xe Ford "tá hỏa" phát hiện gánh oan phạt nguội cho cả... Kia và Hyundai -
Náo loạn phố đi bộ hồ Gươm: Nam bảo vệ lái xe bán tải gây tai nạn liên hoàn, 5 phương tiện hư hỏng -
Vỡ đê sông trong đêm, khoảng 1.000 hộ dân phải sơ tán khẩn cấp
Gia đình
24/06/2023 05:06Não bị tàn phá nghi do món ăn phổ biến ở Việt Nam
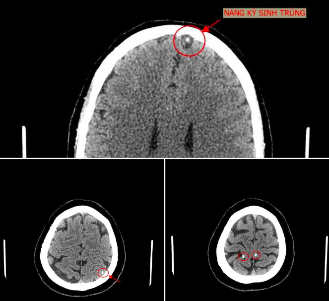
Bệnh nhân vào Trung tâm Y tế Tân Sơn (Phú Thọ) ngày 23/6. Bác sĩ khoa Chẩn đoán hình ảnh kết luận trong sọ não bệnh nhân có hình ảnh nang ký sinh trùng (ấu trùng sán não). Bệnh nhân cho biết bản thân có thói quen ăn đồ sống như gỏi cá.
Bệnh kén sán não là bệnh lý thuộc nhóm nhiễm trùng hệ thần kinh trung hương, có mức độ nguy hiểm rất cao, biểu hiện ban đầu là nhức đầu liên tục, nhức cả vùng đầu và có tính chất lan sang nhiều vùng khác.
Nghiêm trọng hơn, bệnh nhân có thể gặp phải những cơn động kinh nặng nhẹ khác nhau.
Đề phòng nhiễm bệnh kén sán não, thầy thuốc khuyên người dân thực hiện các biện pháp giảm thiểu các yếu tố nguy cơ dẫn đến nhiễm ấu trùng như:
- Giữ môi trường sống sạch sẽ
- Ăn uống hợp vệ sinh
- Không ăn thức ăn chưa nấu chín như: Gỏi cá, tiết canh, thịt lợn tái, không ăn thịt lợn gạo, không ăn sống hoặc tái các loại rau trồng dưới nước như rau ngổ, rau muống, rau cần... mà phải nấu chín kỹ mới ăn
- Luôn rửa tay sạch với xà phòng trước và sau khi đi vệ sinh
- Hạn chế thả rông lợn. Nếu nuôi lợn thì phải tuân thủ những quy trình xử lý phân, hay ngăn cách địa điểm nuôi với môi trường sống
- Tẩy giun sán định kỳ.
Võ Thu (VietNamNet)
- Suzuki chính thức mở bán "vua côn tay" 150cc mới giá 47 triệu đồng: Đè bẹp Honda Winner R và Exciter (19/11/25 23:27)
- Apple khiến giới công nghệ đứng hình khi cập nhật firmware cho củ sạc 140W (19/11/25 23:12)
- Nữ ca sĩ bị quay lén dưới váy giữa sự kiện, cảnh sát từ chối xử lý vì hình phạt "quá nhẹ" (19/11/25 22:55)
- Cả gia đình du khách tử vong bí ẩn tại khách sạn, cảnh sát tạm giữ 11 người nghi tham gia vụ án đầu độc (19/11/25 22:28)
- Tuấn Hải lập siêu phẩm, Xuân Son ghi bàn tái xuất, nhưng nỗi lo vẫn bủa vây HLV Kim Sang-sik (19/11/25 22:06)
- Nữ sinh 15 tuổi mất tích bí ẩn sau lời xin phép đi gội đầu, gia đình cầu cứu cộng đồng (19/11/25 22:01)
- Giá vàng chốt phiên ngày 19/11 tăng ‘phi mã’: Vàng SJC, nhẫn BTMC và ACB vượt 151 triệu, vàng thế giới lập đỉnh (19/11/25 21:27)
- Đắk Lắk: Lũ chồng lũ do thủy điện xả tràn, hạ du đối mặt kịch bản khốc liệt hơn lịch sử 1993 (19/11/25 21:13)
- Danh tính tài xế xe tải lao thẳng vào CSGT rồi bỏ chạy ở Hà Nội, phát hiện thứ đáng ngờ trên xe (19/11/25 20:55)
- Cứu thành công tài xế ô tô suýt bị nước lũ cuốn trôi, lý do chủ xe cố vượt qua nơi ngập nước (19/11/25 20:44)