-
Tử vi 12 con giáp hôm nay - thứ 4 ngày 8/10/2025: Mùi bấp bênh, Mão làm gì cũng đỏ
-
Người giàu không quét nhà kiểu như bạn: Bí mật phong thuỷ giữ tài khí qua cây chổi
-
Khoảnh khắc cây cầu biến dạng khi dòng lũ đục ngầu cuồn cuộn đổ về ở Cao Bằng
-
Khớp gối biến dạng, tuyến thượng thận bị suy do uống thảo dược mua từ nước ngoài
-
Hà Nội tiếp tục mưa lớn, lũ sông lên nhanh
-
Thu hồi ngay 3 loại dầu gội đầu, dung dịch vệ sinh là hàng giả
-
Cục CSGT nêu khó khăn trong việc xử phạt qua camera AI
-
Hiệu trưởng xin lỗi vì suất ăn 25.000 đồng như 10.000 đồng
-
Hình ảnh mây đen "như muốn sập xuống" ở Hà Nội
-
Vỡ đập thủy điện Bắc Khê 1 ở Lạng Sơn
Gia đình
15/09/2020 23:00Người đàn ông 35 tuổi loét dạ dày vì thích ăn măng ớt
Đây là một trong những ca bệnh đưa ra hội chẩn tại buổi khám chữa bệnh từ xa với các bác sĩ của Bệnh viện E chiều 14/9.
BS Đỗ Thành Hưng từ điểm cầu TTYT huyện Tam Đường, Lai Châu cho biết, tại đây mới tiếp nhận bệnh nhân Lê Văn T., 35 tuổi trú ở huyện Tam Đường vào viện do đau bụng nhiều vùng thượng vị.
Trước đó 3 ngày, anh T. thấy đau trên rốn âm ỉ nhưng không sốt, không nôn hay ợ chua. Bệnh nhân cho biết, bản thân không có tiền sử uống rượu bia, không dùng thuốc kích thích, duy trước đó có ăn măng ngâm dấm ớt.

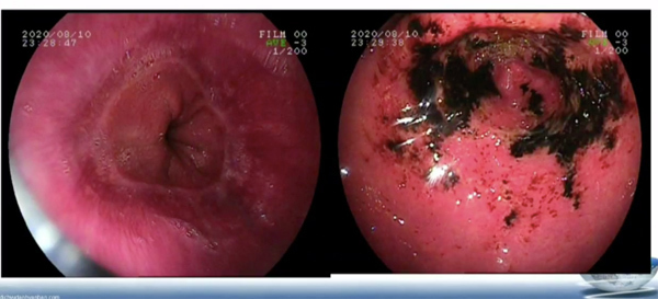
Hình ảnh siêu âm ổ bụng không có bất thường nhưng nội soi phát hiện niêm mạc dạ dày bị xung huyết, hang vị bị loét, máu đã đông. Kết quả xét nghiệm virus HP âm tính.
Các bác sĩ tại Tam Đường chẩn đoán bệnh nhân bị viêm xung huyết niêm mạc dạ dày, hang vị, chỉ định dùng 3 loại thuốc gồm thuốc giảm tiết, giảm co và thuốc chống bong niêm mạc dạ dày, đồng thời yêu cầu bệnh nhân kiêng chua cay, chất kích thích, ăn chất mềm, dễ tiêu.

Theo BS Vũ Hồng Anh, Trưởng khoa Khám bệnh theo yêu cầu và quốc tế, Bệnh viện E, trường hợp bệnh nhân trên nên được chẩn đoán bị loét cấp dạ dày, biểu hiện là toàn bộ niêm mạch dạ dày bị xung huyết, phù hề, có những đợt loét rỉ máu sau đó máu đông lại chuyển màu đen. Nếu bệnh nhân bị nôn, sẽ ra dịch hồng chứa máu lẫn thức ăn và máu đen.
BS Hồng Anh cũng lưu ý các đồng nghiệp tuyến dưới cần chẩn đoán phân biệt với bệnh lý khác như xem bệnh nhân có viêm tuỵ hay gặp các bệnh lý ngoại khoa không, có thủng dạ dày, tắc ruột không.
“Nếu bệnh nhân có thủng dạ dày nhưng không được loại trừ, bác sĩ lại bơm rửa vào để nội soi thì sẽ đẩy hết thức ăn vào ổ bụng”, BS Hồng Anh nói.
Theo BS Hồng Anh, loét dạ dày cấp hay gặp nhất ở nhóm thanh thiếu niên trẻ tuổi, dấu hiệu đau bụng nhiều sau các cuộc nhậu đêm.
Tuy nhiên bệnh nhân T. không có tiền sử dùng bia rượu, không có tiền sử dùng thuốc kích thích nên món măng dấm ớt có thể là nguyên nhân gây loét dạ dày cấp, đặc biệt ăn cay khi bụng đang đói.
Ngoài ra, loét dạ dày cấp cũng gặp ở những người bị stress, bị nhiễm khuẩn, có tiền sử dùng các thuốc chống viêm, người có bệnh nền như tiểu đường, tăng huyết áp…
Về kết quả test HP âm tính, BS Hồng Anh cho rằng cần phải làm hết sức cẩn thận, trường hợp nhiễm HP thật nhưng kết quả sinh thiết vẫn có thể ra âm tính do lấy mẫu không đúng vị trí.
BS cũng lưu ý kê thêm cho bệnh nhân thuốc kháng sinh do dạ dày đã có tổn thương loét.
Theo BS Hồng Anh, trước đây nếu bác sĩ tuyến dưới gặp khó khăn cần sự hỗ trợ của bác sĩ trung ương thường gọi hỏi qua điện thoại, hoặc gửi ảnh qua mạng nhưng là hình ảnh tĩnh nên việc chẩn đoán khó khăn hơn.
Hiện nay, nhờ hội chẩn từ xa qua teleheath, hình ảnh động trực tiếp nên bác sĩ có thể chỉ định tuyến dưới làm thêm các xét nghiệm, khai thác trực tiếp tiền sử từ bác sĩ, bệnh nhân để có thể chẩn đoán chính xác bệnh.
GS Lê Ngọc Thành, Giám đốc Bệnh viện E cho biết, trước đây các ca bệnh nặng ở Tam Đường đều phải chuyển thẳng xuống Bệnh viện E, vì từ Tam Đường đến TP Lai Châu cũng tương đương thời gian về Hà Nội. Tuy nhiên từ khi có đề án bệnh viện vệ tinh và đặc biệt có hệ thống hội chẩn từ xa, rất nhiều ca bệnh đã được hội chẩn trực tuyến, bệnh nhân không phải chuyển xuống tuyến dưới.

Cũng trong buổi hội chẩn trực tuyến, GS Lê Ngọc Thành đã trực tiếp hội chẩn, hỗ trợ Bệnh viện đa khoa tỉnh Thái Bình phẫu thuật can thiệp thay van 2 lá sinh học cho nữ bệnh nhân 59 tuổi.
GS Thành đánh giá, khám chữa bệnh từ xa sẽ là dấu mốc khởi đầu quan trọng trong việc chuyển đổi số trong ngành y tế, góp phần nâng cao chất lượng dịch vụ y tế, chăm sóc sức khoẻ nhân dân, đặc biệt khi dịch bệnh Covid-19 đang diễn biến phức tạp hiện nay.
GS Thành kể, cách đây hơn 20 năm, lúc 2h sáng ông nhận được cuộc điện thoại của một bác sĩ công tác tại huyện miền núi cách TP. Bắc Giang hơn 80km cho biết, tiếp nhận một bệnh nhân nghi bị đâm vào tim, tụt huyết áp và không biết sẽ phải làm gì.
Qua điện thoại, BS Lê Ngọc Thành khi đó đã tư vấn các bước và cứu sống bệnh nhân.
"Nếu telehealth có thể triển khai qua cả điện thoại thông minh với những hình ảnh được truyền rất tốt này, chúng tôi hoàn toàn có thể tư vấn online từ xa cho các học trò, các bác sĩ tuyến dưới", GS Thành đề nghị.
Sau 5 tháng triển khai, hiện đề án Khám chữa bệnh từ xa của Bộ Y tế đã kết nối hơn 1.000 điểm là các cơ sở y tế tuyến dưới, điểm xa nhất là trạm y tế xã ở Mường Nhé, Điện Biên.
Theo Thúy Hạnh (VietNamNet)








- Tại sao những trận bão lũ ngày càng nghiêm trọng hơn? (25 phút trước)
- Những chiếc xe từng xuất hiện cùng shark Bình trên MXH: Từ xe thể thao đến siêu sang, có cả MPV độ nội thất kiểu "chủ tịch" (32 phút trước)
- Bài đăng của 1 nữ sinh khiến toàn cõi mạng phẫn nộ: Đây chính xác là đứa trẻ sống trong ảo tưởng và lệch lạc! (40 phút trước)
- Không ai bình chọn cho Yến Nhi (44 phút trước)
- iPhone cũ, hàng tân trang nào đáng mua nhất hiện nay? (48 phút trước)
- Ai giúp FIFA tra gốc gác 7 cầu thủ Malaysia siêu nhanh? (52 phút trước)
- Những tiếng kêu cứu khẩn cấp khi Thái Nguyên bị ngập lụt nặng (1 giờ trước)
- Lời khai của bị can đâm người yêu tử vong trên vỉa hè ở TP HCM (1 giờ trước)
- NÓNG: FTSE Russell chính thức nâng hạng Việt Nam lên thị trường mới nổi thứ cấp (1 giờ trước)
- Tử vi 12 con giáp hôm nay - thứ 4 ngày 8/10/2025: Mùi bấp bênh, Mão làm gì cũng đỏ (1 giờ trước)




