-
Ngôi làng "thiên đường địa lan" ở Măng Đen, khách tới chữa lành 3 lần không chán
-
Thái Nguyên chìm trong biển nước, ôtô ngập không thấy hình dạng
-
Thống nhất giới thiệu nhân sự Trung ương và Ủy ban Kiểm tra Trung ương khóa mới
-
Chủ tịch Hà Nội yêu cầu sẵn sàng hộ đê tại các tuyến sông Cầu, sông Cà Lồ
-
Tràn đê bối ở Bắc Ninh, nước lũ cuồn cuộn, sơ tán nghìn người dân trong đêm
-
3 loại rau nhuận tràng, làm sạch ruột và thải độc cho cơ thể
-
Dừng mô tô sát vỉa hè, người đàn ông bị xe tải tông tử vong
-
Bà mẹ hốt hoảng phát hiện con trai 21 tuổi hôn mê trong phòng ngủ
-
Cháy lớn ở cửa hàng quần áo, ông chủ 22 tuổi tử vong thương tâm
-
Miễn nhiệm chức vụ nữ hiệu trưởng cho học sinh lớp 12 "tự nguyện" nghỉ học
Gia đình
19/03/2019 17:50Người nhiễm sán toàn cơ thể, người nhung nhúc trứng sán dây trong não: Những bài học đau đớn từ thói quen ăn đồ tái, sống
Những ngày gần đây, thông tin hàng trăm trẻ em ở trường Mầm non Thanh Khương bị nhiễm ấu trùng sán lợn khiến nhiều người không khỏi hoang mang, lo lắng, thậm chí còn truyền tai nhau "tẩy chay" thịt lợn để đảm bảo an toàn. Hầu hết mọi người đều cho rằng ăn thịt lợn gạo chính là nguyên nhân dẫn đến nhiễm sán lợn. Tuy nhiên, sự thực thì ít ai ngờ rằng thói quen ăn đồ tươi sống (rau sống, thịt sống, hải sản sống...), chưa được chế biến kỹ mới chính là nguyên nhân đáng sợ nhất dẫn đến nhiễm sán và cả bệnh gạo kinh hoàng.
Thực tế, trên thế giới, đã có rất nhiều trường hợp người bị nhiễm sán do thói quen ăn đồ tươi sống và đây là bằng chứng cụ thể:
Ăn sashimi, người đàn ông nhiễm sán toàn cơ thể
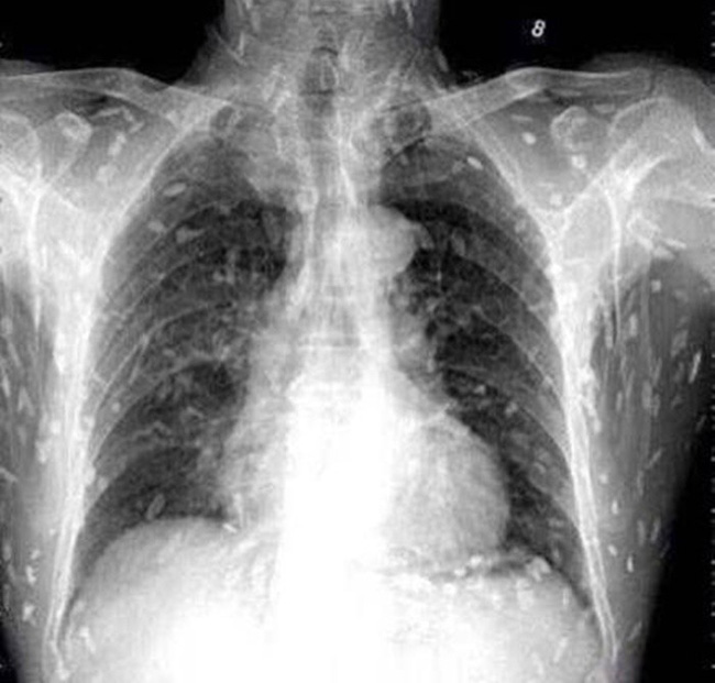
Theo tờ Epochtimes, vào khoảng tháng 9 năm 2014, một người đàn ông sống tại tỉnh Quảng Đông (Trung Quốc) đã nhập viện điều trị trong tình trạng đau bụng dữ dội. Qua kiểm tra, các bác sĩ Bệnh viện liên kết thứ 5 tỉnh Quảng Đông đã rất bất ngờ khi phát hiện thấy sán làm tổ khắp cơ thể anh. Người đàn ông cho biết, sashimi là món ăn mà anh yêu thích, vì vậy 14 ngày trước đó, ông đã ăn rất nhiều cá sống. Ngoài những cơn đau bụng dữ dội, người đàn ông này còn có triệu chứng bị mẩn ngứa da.

Tuy nhiên, do bệnh tình đã bước sang giai đoạn nghiêm trọng nên người đàn ông tiếp tục được chuyển tới Bệnh viện Nhân dân số 8 ở Quảng Châu để điều trị. Kết quả chụp X-quang cho thấy, những đốm trắng nhỏ xuất hiện lấm chấm khắp cơ thể chính là sán.

Chỉ là "từng ăn thịt sống", não người đàn ông chứa đầy trứng sán dây
Vào tháng 3 năm ngoái, các bác sĩ tại Bệnh viện Trường Đại học Y Quý Châu đã vô cùng bất ngờ khi phát hiện 30 quả trứng sán dây "nở" bên trong não một người đàn ông trung niên họ Wu nhập viện do đau đầu và buồn nôn trong suốt nửa năm. Họ tin rằng sán dây lợn đã xâm nhập vào não ông ta bởi ông đã ăn thịt lợn nhiễm sán hoặc chưa chín.

Ông Wu kể với các bác sĩ rằng bản thân ông từng ăn thịt sống, sau đó ông thấy xuất hiện các triệu chứng đau đầu, nôn mửa và co giật. Chụp cộng hưởng từ (MRI) não ông Wu cho kết quả có hàng chục trứng sán dây, chúng đã khiến ông này bị não úng thủy. Đội ngũ bác sĩ tại bệnh viện đã tiến hành phẫu thuật mở sọ cho ông Wu và loại bỏ số trứng cùng sán dây khỏi não của bệnh nhân 46 tuổi này.

Những con ấu trùng vẫn còn động đậy bên trong quả trứng, vì vậy, khi phẫu thuật các bác sĩ đã vô cùng cẩn trọng để không khiến trứng vỡ. Sau cuộc phẫu thuật, ông Wu còn trải qua nhiều cuộc điều trị khác để loại bỏ hoàn toàn sán dây bởi nếu vẫn còn sót lại, chúng có thể gây tổn thương mô não của ông.
Ăn lẩu cùng gia đình, bé gái nhiễm sán dây
Theo đài CBC, ở Vancouver có một cô bé đi ăn lẩu cùng gia đình, nhân lúc bố mẹ không chú ý cô bé đã ăn vài miếng cá sống chưa nhúng qua lẩu. 6 tháng sau, cô bé này được đưa đến bệnh viện do bị đau bụng, kết quả là phát hiện ra sán dây.
Không chỉ sán mà cả những ký sinh trùng khác có trong thịt sống cũng đáng sợ
Vào năm 2017, một cô gái ở Australia bị nhiễm "ký sinh trùng ăn thịt" do ăn cá sống, trong suốt 6 năm liền, cô gái luôn phải sống trong đau đớn bởi loại ký sinh trùng sống trong cơ thể cô có răng, khiến cô có cảm giác như bắp thịt của mình đang bị xé ra.
Theo tờ 7 News của Australia, cô bé Carly Goff đi nghỉ cùng gia đình ở Fiji vào năm 2011, sau đó cô bé ăn cá chưa nấu chín và bị nhiễm khuẩn. Suốt 6 năm sau đó, cô luôn sống trong đau đớn cùng cực, ký sinh trùng di chuyển trong cơ thể của cô gái, phá hủy các bắp thịt.

Carly cho biết: "Tôi đau đớn vô cùng, chân và mặt đều cảm giác vô cùng nóng giống như bị đổ axit clohydric vậy, cảm thấy như bắp thịt đang bị xé ra".
Cho đến khoảng tháng 9 năm 2017, bác sĩ mới xác định được là cô gái bị nhiễm Gnathostomiasis, loại ký sinh trùng này thường ký sinh trong cơ thể người thông qua các loại cá và thịt tươi sống chưa qua nấu chín. Bác sĩ Bernard Hudson, người trực tiếp chữa trị cho Carly, cho biết loại ký sinh trùng này có thể xâm nhập vào bất cứ cơ quan nào như phổi, não, bàng quang, gan… nếu như không được chữa trị tốt thì sẽ nguy hiểm đến tính mạng.
Chuyên gia an toàn thực phẩm Lorraine Mclntyre, làm việc tại Trung tâm kiểm soát bệnh dịch tỉnh British Columbia, cho biết ký sinh trùng trong cá có thể ký sinh trong cơ thể người một thời gian rất dài và chỉ có thể phát hiện thấy qua sinh thiết đường ruột, vì vậy có không ít người hoàn toàn không biết rằng trong cơ thể mình có ký sinh trùng.
Ăn thịt lợn chưa được nấu chín kỹ và các loại rau, thịt cá sống đều có nguy cơ bị nhiễm sán rất cao.
Sán dây trưởng thành phát triển rất nhanh trong ruột, có thể ảnh hưởng đến não bộ của con người. Ngoài ra, sán lợn cũng phát triển qua ấu trùng như tiếp xúc với phân lợn, hoặc tiếp xúc với người bị nhiễm bệnh. Điều này có thể lây nhiễm sang một số mô trong cơ thể con người.
Nếu ấu trùng xâm nhập vào hệ thần kinh, có thể khiến bạn mắc bệnh ấu trùng sán dây lợn ở não (neurocysticercosis), gây nhiễm trùng não nghiêm trọng. Nếu sán xâm nhập vào não thì người bệnh có thể bị động kinh.

Theo Tổ chức Y tế thế giới, gần 1/3 các trường hợp bị bệnh động kinh là do bị nhiễm sán dây lợn. Loại sán này có thể dài tới 7m và thải đốt liên tục đồng thời cũng sinh ra đốt mới nên nó sẽ hút hết chất dinh dưỡng từ cơ thể người nó đang ký sinh. Người bị nhiễm sán sẽ bị thiếu dinh dưỡng, gầy còm ốm yếu, đau bụng, tiêu chảy.
Trường hợp người bị tự nhiễm ấu trùng sán hoặc nhiễm do thức ăn không vệ sinh có lẫn trứng sán thì những ấu trùng sán này sẽ vào não, mắt, cơ, da… rất nguy hiểm. Nếu sán làm tổ ở mắt có thể khiến lồi nhãn cầu gây lác mắt, nhìn đôi, làm bong võng mạc gây giảm thị lực, có thể bị mù. Khi sán chạy vào não, bạn có thể bị nhức đầu, động kinh, rối loạn tâm thần, rối loạn thị giác, giảm trí nhớ. Sán làm ổ trong tim sẽ gây rối loạn nhịp tim, ảnh hưởng van tim, dẫn đến suy tim.
Một vài nguyên tắc khi mua thịt lợn để đảm bảo thịt sạch, không chứa sán:
- Không mua thịt lợn có các ấu trùng hình bầu dục. Thịt lợn gạo thường chứa các ấu trùng nằm ở các miếng thịt, có ấu trùng dài tới 9 mm, màu trắng đục, bên trong chứa dịch thể và đầu sán.
- Khi thái thịt, có thể cắt thịt theo thớ dọc, nếu thấy các bọc nhỏ màu trắng xen giữa các thớ thịt, bắp thịt cần phải loại bỏ ngay, không nên tiếp tục chế biến vì thực phẩm này đã bị nhiễm kén sán.
Theo L.T (Helino)








- 7 điều không còn đúng về Android (11:41)
- Trợ lý TT Putin tiết lộ nguyên nhân châm ngòi cuộc chiến Nga-Ukraine (11:25)
- Ngôi làng "thiên đường địa lan" ở Măng Đen, khách tới chữa lành 3 lần không chán (11:24)
- Giá vàng miếng lên 141,4 triệu đồng/lượng (11:17)
- "Gió ngang khoảng trời xanh" tập 27: Đăng bí mật tặng quà cho Linh ở khách sạn (11:15)
- Thái Nguyên chìm trong biển nước, ôtô ngập không thấy hình dạng (11:14)
- Cách tuyển dụng kỳ lạ của "vua YouTube" (11:12)
- Tuyển Nepal mang chân sút từng thi đấu ở Tây Ban Nha, sẵn sàng chạm trán tuyển Việt Nam (11:08)
- 4 năm kinh hoàng của 3 đứa trẻ và người cha độc ác (11:06)
- Bắt nhanh đối tượng cướp điện thoại của người khuyết tật (11:01)




