-
Tử vi 12 con giáp hôm nay - thứ 4 ngày 8/10/2025: Mùi bấp bênh, Mão làm gì cũng đỏ
-
Người giàu không quét nhà kiểu như bạn: Bí mật phong thuỷ giữ tài khí qua cây chổi
-
Khoảnh khắc cây cầu biến dạng khi dòng lũ đục ngầu cuồn cuộn đổ về ở Cao Bằng
-
Khớp gối biến dạng, tuyến thượng thận bị suy do uống thảo dược mua từ nước ngoài
-
Hà Nội tiếp tục mưa lớn, lũ sông lên nhanh
-
Thu hồi ngay 3 loại dầu gội đầu, dung dịch vệ sinh là hàng giả
-
Cục CSGT nêu khó khăn trong việc xử phạt qua camera AI
-
Hiệu trưởng xin lỗi vì suất ăn 25.000 đồng như 10.000 đồng
-
Hình ảnh mây đen "như muốn sập xuống" ở Hà Nội
-
Vỡ đập thủy điện Bắc Khê 1 ở Lạng Sơn
Gia đình
22/03/2019 22:55Nhập viện vì sán lá gan sinh sôi khắp cơ thể
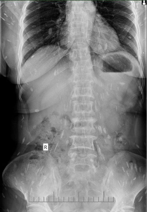
Bệnh viện Quốc tế Vinh (Nghệ An) vừa phát hiện một trường hợp nhiễm sán lá gan lớn. Bệnh nhân là bà P.T.Đ (55 tuổi, trú huyện Anh Sơn, Nghệ An). Thời gian qua, bà Đ. thường xuyên bị mệt mỏi, đầy bụng, đau đầu, đau ở vùng ngực và thắt lưng nên mua thuốc về tự điều trị. Tuy nhiên dấu hiệu bệnh không hề thuyên giảm.
Ngày 19/3, gia đình đưa bà đến bệnh viện để khám. Qua thăm khám, xét nghiệm, siêu âm, chụp X-quang, các bác sĩ kết luận bệnh nhân bị mắc bệnh sán lá gan sinh sống trong cơ thể đã nhiều năm, đang sinh sôi, lan ra trong nhiều bộ phận cơ thể. Người bệnh được kê thuốc và hướng dẫn lên bệnh viện tuyến trên để theo dõi, điều trị tiếp.

Các bác sĩ tại đây khuyến cáo, tác nhân gây bệnh sán lá gan lớn thường là từ động vật ăn cỏ, hoặc cũng có thể bị lây truyền qua trung gian là một số loài ốc nước ngọt (ốc họ Lymnaea). Người nhiễm bệnh do ăn sống các loại rau mọc dưới nước (rau ngổ, rau nhút, rau cần…) hoặc uống nước lã có nhiễm ấu trùng sán.
Ấu trùng vào dạ dày đến ruột, gan sán trưởng thành, ký sinh tại gan nhiều năm, đẻ trứng theo phân ra ngoài, xuống nước nở thành ấu trùng lông, sau đó phát triển thành một loại ốc thuộc họ Lymnaea, rồi thành ấu trùng đuôi, và thành nang trùng. Nang trùng bám vào các loại rau thủy sinh và bơi trong nước, người ăn uống phải sẽ mắc bệnh sán lá gan lớn.
Để phòng ngừa nguy cơ sán trú ngụ trong cơ thể, người dân không nên ăn cá và ốc chưa nấu chín dưới mọi hình thức, không ăn rau sống mọc dưới nước, không uống nước lã.. Đặc biệt, khi có các triệu chứng nêu trên, bệnh nhân nên đi khám và điều trị kịp thời, tránh các trường hợp đáng tiếc xảy ra./.
Theo Nhật Minh (VOV.vn)








- Tại sao những trận bão lũ ngày càng nghiêm trọng hơn? (06:45)
- Những chiếc xe từng xuất hiện cùng shark Bình trên MXH: Từ xe thể thao đến siêu sang, có cả MPV độ nội thất kiểu "chủ tịch" (06:38)
- Bài đăng của 1 nữ sinh khiến toàn cõi mạng phẫn nộ: Đây chính xác là đứa trẻ sống trong ảo tưởng và lệch lạc! (06:30)
- Không ai bình chọn cho Yến Nhi (06:26)
- iPhone cũ, hàng tân trang nào đáng mua nhất hiện nay? (06:22)
- Ai giúp FIFA tra gốc gác 7 cầu thủ Malaysia siêu nhanh? (06:18)
- Những tiếng kêu cứu khẩn cấp khi Thái Nguyên bị ngập lụt nặng (06:09)
- Lời khai của bị can đâm người yêu tử vong trên vỉa hè ở TP HCM (06:05)
- NÓNG: FTSE Russell chính thức nâng hạng Việt Nam lên thị trường mới nổi thứ cấp (06:01)
- Tử vi 12 con giáp hôm nay - thứ 4 ngày 8/10/2025: Mùi bấp bênh, Mão làm gì cũng đỏ (06:00)




