-
Vụ hiệu trưởng tử vong vì bị ô tô lấn làn húc văng: Hàng nghìn học sinh xếp hàng tiễn biệt người thầy -
Gia đình đập kính, cào xước Mercedes từng nhắn tin chửi chủ xe "ngáo đá", không muốn bồi thường 100 triệu -
Mùa nồm ẩm ướt: Chọn sai máy hút ẩm coi như "ném tiền qua cửa sổ", đây là những điều bắt buộc phải biết -
Danh tính cô gái 24 tuổi mất liên lạc bí ẩn ở Hà Nội, người bố tiết lộ thêm thông tin quan trọng -
Biến động lớn tại sân bay Gia Bình: Masterise rút sở hữu trực tiếp trùng thời điểm Gelex muốn góp 20% vốn -
Việt kiều Anh trở về nước mổ cột sống, thoát nguy cơ liệt hoàn toàn -
Nữ sinh 18 tuổi phát hiện nhiễm HPV dù chưa từng quan hệ: Nguyên nhân đến từ thói quen giặt giũ quen thuộc -
Miền Bắc còn nồm ẩm đến khi nào, thời điểm thay đổi thời tiết được cơ quan khí tượng cập nhật mới nhất -
Vụ tàu hỏa tông ô tô tại Hà Nội: Nhân chứng kể lại khoảnh khắc trước va chạm tại điểm giao cắt đường sắt -
Clip hai ô tô dừng đối đầu, một xe chiếm trọn làn ngược chiều ở Quy Nhơn
Gia đình
20/12/2022 03:16Phát hiện mắc bệnh hiếm sau khi thường xuyên đau ngực
Ngày 19/12, bác sĩ Nguyễn Văn Lâm, Khoa Ngoại tổng hợp, Bệnh viện Đa khoa Đức Giang (Hà Nội), cho hay Bệnh nhân là ông N.V.K, 67 tuổi ở Gia Lâm, Hà Nội, có tiền sử nghiện thuốc lá, thuốc lào 40 năm nay.
Ông vào viện trong tình trạng đau ngực bên phải, khó thở nhiều. Kết quả chụp X-quang tim phổi cho thấy bị tràn khí màng phổi phải nhiều, được đặt dẫn lưu khí bằng catheter.
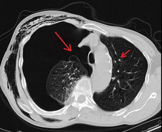
Sau hai ngày điều trị tại khoa Ngoại tổng hợp, tình trạng của ông K. không cải thiện, các bác sĩ chỉ định chụp CT ngực, phát hiện có nhiều kén khí rải rác ở hai bên đỉnh phổi và đáy phổi phải.
Các bác sĩ nhận định đây là trường hợp tràn khí màng phổi do vỡ kén khí, cần phẫu thuật nội soi. Điều này giúp bệnh nhân cải thiện chức năng hô hấp, vận động; tránh các nguy cơ khó thở kéo dài, tràn dịch màng phổi, áp-xe phổi, viêm mủ màng phổi.
Sau 3 ngày nội soi cắt toàn bộ các kén khí và khâu phục hồi lại nhu mô phổi, bệnh nhân ổn định, phục hồi tốt, phổi giãn nở tốt, có thể vận động nhẹ nhàng, đi lại bình thường.
Bác sĩ Nguyễn Văn Lâm cho biết kén khí ở phổi là tình trạng đặc trưng bởi sự căng giãn thường xuyên của đường dẫn khí từ tiểu phế quản tận cùng trở xuống, kèm theo có sự phá hủy vách các phế nang không phục hồi.
Kén khí phổi xảy ra cục bộ tại vùng của phổi, có thể một hoặc nhiều kén tập trung ở thùy trên nhiều hơn thùy dưới, thường kết hợp với viêm phế quản mạn tính, giãn phế nang khu trú, lao, hoặc bội nhiễm gây áp-xe phổi…
Trường hợp kén bị nhiễm khuẩn, người bệnh có thể xuất hiện sốt cao, nổi hạch, ho ra máu, khạc đờm lẫn mủ, có mùi hôi.
Bệnh làm tăng khoảng chết sinh lý và gây chèn ép tổ chức phổi lành xung quanh. Nếu không phát hiện, phẫu thuật kịp thời, bệnh sẽ gây xẹp cả phổi ở bên mọc kén, đẩy trung thất ép cả phổi bên đối diện, hậu quả là suy hô hấp rất nặng nề. Thậm chí, nếu tăng áp lực trong đường thở bệnh nhân, kén khí có thể vỡ gây tràn khí màng phổi dẫn tử vong.
Đây là bệnh lý ít gặp, với tỷ lệ mắc 22 người/100.000 người, nam mắc nhiều hơn nữ (3,3/1) và thường hay gặp ở nam giới trẻ, cao gầy và thường xuyên hút thuốc lá.
Theo bác sĩ Lâm, người có yếu tố nguy cơ do hút thuốc lá thuốc lào nhiều năm hoặc mắc bệnh phổi nên đi khám định kỳ để phát hiện các bệnh lý liên quan.
Theo Võ Thu (VietNamNet)
- Vụ hiệu trưởng tử vong vì bị ô tô lấn làn húc văng: Hàng nghìn học sinh xếp hàng tiễn biệt người thầy (1 giờ trước)
- Gia đình đập kính, cào xước Mercedes từng nhắn tin chửi chủ xe "ngáo đá", không muốn bồi thường 100 triệu (1 giờ trước)
- Chồng thất nghiệp một năm, vẫn muốn vợ gánh thêm tiền chu cấp nhà nội (1 giờ trước)
- Noh Seulbi: Từ mẹ đơn thân tuổi 19 đến pháp sư gây sốt truyền hình Hàn Quốc (2 giờ trước)
- Nam ca sĩ tặng hơn 6 chỉ vàng ròng cho fan ngay trên sân khấu concert (2 giờ trước)
- Mùa nồm ẩm ướt: Chọn sai máy hút ẩm coi như "ném tiền qua cửa sổ", đây là những điều bắt buộc phải biết (2 giờ trước)
- Sập bẫy "ảnh chụp chuyển khoản" ngày Tết: Tiểu thương bị lừa trắng 100 triệu đồng (2 giờ trước)
- Pha va chạm rợn người tại Champions League (2 giờ trước)
- Đụng độ đẫm máu ngoài khơi Cuba: Havana tố cáo âm mưu "khủng bố", Washington kiên quyết bác bỏ sự can dự của quân đội (2 giờ trước)
- Giữa "chiến tranh lạnh" với chồng, tôi thấy lòng dịu lại vì tin nhắn của người đàn ông khác (2 giờ trước)