-
Cửa hàng điện tử ở Hà Nội cháy dữ dội
-
Toàn cảnh lễ đón Tổng Bí thư Tô Lâm thăm cấp Nhà nước CHDCND Triều Tiên
-
Bộ GD-ĐT yêu cầu xử lý vụ thầy giáo bóp cổ đồng nghiệp ngay trong trường
-
Từ Lee Min Ho đến Song Joong Ki, thời câu view kiếm tiền từ sao hạng A đã qua rồi
-
Bọc bạt kín như bưng, hai ô tô ở Thái Nguyên vẫn "mất tích" trong mưa ngập
-
Đêm trắng giữ đê ở Bắc Ninh, hàng nghìn người căng mình gia cố chống lũ
-
Cảnh sát, quân đội vào vùng ngập lụt lịch sử: "Không sao, có chú đây rồi"
-
Cảnh báo: Ngày càng nhiều nhân viên văn phòng trốn làm đi chơi pickleball!
-
Taylor Swift bị ruồng bỏ vẫn làm nên lịch sử, cả loạt siêu sao "ra chuồng gà"
-
Trực thăng Không quân cứu trợ 5 em bé mắc kẹt trên nóc nhà ở Lạng Sơn
Gia đình
06/03/2019 22:50Tưởng bị nhiệt miệng, người đàn ông Hà Nội phải cắt 1 góc má vì ung thư
Thường xuyên hút 1 bao thuốc/ngày
Ông Lê Văn Tuyến, 60 tuổi ở Thường Tín, Hà Nội chia sẻ, kể từ sau khi xuất ngũ, nhiều chục năm nay ông duy trì thói quen hút thuốc lá nhiều, vài năm trở lại đây, tần suất tăng lên 1 bao/ngày.
Cách đây vài tháng, ông bắt đầu thấy trong miệng có vết loét nhỏ, hơi gợn nhưng không đau đớn, nghĩ bị nhiệt nên ông không điều trị gì.
Cách đây 2 tháng, chỗ loét dày, to lên nhanh và hơi cứng nên ông vào BV đa khoa huyện Thường Tín kiểm tra, bác sĩ kê đơn thuốc uống 10 ngày nhưng không đỡ.
Cuối tháng 2 vừa qua, ông đến BV Việt Nam - Cu Ba, Hà Nội để thăm khám. Sau khi làm các xét nghiệm, bác sĩ chẩn đoán ông bị ung thư khoang miệng giai đoạn 2.

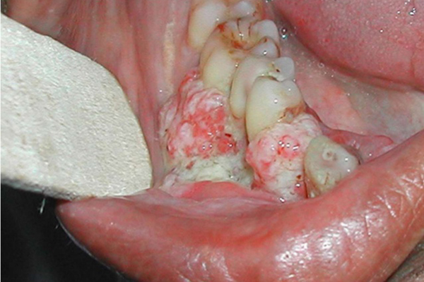
BSCK I Nguyễn Thanh Thái, Trưởng khoa Phẫu thuật Tạo hình hàm mặt, BV Việt Nam - Cu Ba cho biết, khi đến viện, khối u ở má trái bệnh nhân đã to 3-4 cm.
Để giúp khối u không tái phát, bác sĩ đã phải vét hạch rộng ra vùng xunh quanh, cắt tuyến dưới hàm.
Song song đó, 1 ekip khác lấy vạt tự do má ngoài đùi để phẫu tích, nối vi phẫu lên vùng má vừa bị cắt u, diện tích miếng da lên tới 12x8 cm.
Ca phẫu thuật kéo dài 6 tiếng đồng hồ. Hiện sau 6 ngày phẫu thuật, sức khoẻ bệnh nhân tiến triển tốt, có thể ăn uống, nói chuyện bình thường, mảng da ghép sống tốt.
BS Thái cho biết, sau khi sức khoẻ bệnh nhân ổn định, sau 3-6 tháng nữa sẽ quay lại bệnh viện để tái tạo lại viền môi.
Theo BS Thái, đến nay, cơ chế gây ung thư khoang miệng (lưỡi, lợi, niêm mạc má, sàn miệng, môi...) chưa rõ ràng tuy nhiên theo thống kê của các Trung tâm kiểm soát dịch bệnh, 75% các trường hợp ung thư khoang miệng có liên quan đến hút thuốc lá, kể cả hút thuốc lá bị động (hít phải khói thuốc), kế đó là các trường hợp sử dụng quá nhiều rượu bia.
Ngoài ra những người hay ăn trầu, bị tổn thương mãn tính, người có tiền sử gia đình bị ung thư... cũng có nguy cơ mắc ung thư khoang miệng cao hơn những người khác. Đây là loại ung thư mắc nhiều hơn ở nam giới, tuổi càng cao, nguy cơ càng lớn.
So với nhiều loại ung thư khác, ung thư khoang miệng dễ chẩn đoán và cho tiên lượng điều trị rất tốt ở giai đoạn sớm, bệnh nhân có thể khỏi hoàn toàn sau phẫu thuật. Tuy nhiên, hầu hết bệnh nhân ung thư khoang miệng ở Việt Nam đến BV khi đã ở giai đoạn muộn khiến việc điều trị kém hiệu quả.
Ở giai đoạn muộn, tổn thương trong miệng có thể lan rộng gây những cơn đau kéo dài, mất chức năng của miệng như ăn uống, nói chuyện, bị biến dạng khuôn mặt do phẫu thuật cắt u, thậm chí tử vong.
Theo số liệu WHO năm 2018, ung thư khoang miệng tại Việt Nam xếp thứ 18 trong số các loại ung thư phổ biến với gần 1.900 ca mắc mới, trong đó tỉ lệ tử vong chiếm khoảng 50%.
Triệu chứng thường gặp của ung thư miệng
Rất ít trường hợp ung thư khoang miệng được phát hiện ở giai đoạn đầu bởi người bệnh hay nhầm lẫn là mắc nhiệt miệng hoặc loét miệng. Do đó người dân cần tự thường xuyên kiểm tra răng miệng, khi thấy những dấu hiệu sau cần đến BV thăm khám:
- Loét miệng kéo dài: Nếu trong miệng có vết loét không đau, hơi cứng, cộm nhưng 2-3 tuần không khỏi.
- Xuất hiện màu lạ trong miệng: Có thể là các vệt, đốm có màu đỏ hồng, trắng đục ở vị trí lưỡi, môi, nướu răng, niêm mạc má.

- U cục trong miệng: Một số trường hợp không bị đổi màu trong khoang miệng, không có vết loét mà xuất hiện u cục. Người bệnh có thể dễ dàng phát hiện bằng mắt thường hoặc sờ tay.
- Chảy máu trong khoang miệng: Chảy máu có thể tự nhiên hoặc sau khi va chạm nhẹ, sau ăn hoặc sau khi đánh răng.
- Nổi hạch vùng cổ không đau. Hạch thường gặp dưới xương hàm và dưới cằm.
Ngoài ra bệnh nhân có thể bị khó nuốt, nói khó, đau khi di chuyển lưỡi, sụt cân, mệt mỏi, khản tiếng bất thường...
Biện pháp điều trị bệnh
Khi bị ung thư khoang miệng, người bệnh cần tuân thủ theo phác đồ điều trị của bác sĩ. Tùy theo giai đoạn bệnh, thể trạng bệnh nhân, bác sĩ sẽ chỉ định phương pháp phù hợp.
Với ung thư khoang miệng, phẫu thuật là phương pháp điều trị chính trong những trường hợp mắc ung thư giai đoạn sớm.
Ở giai đoạn muộn hơn, bác sĩ buộc phải chỉ định xạ trị hoặc hoá trị để tiêu diệt các tế bào ung thư.
Biện pháp phòng ngừa ung thư khoang miệng
Để phòng bệnh ung thư miệng, người dân nên tránh xa các yếu tố nguy cơ, chú ý vệ sinh răng miệng, không hút thuốc lá, không uống nhiều rượu bia.
Trong chế độ ăn, cần bổ sung nhiều rau xanh, trái cây, các thực phẩm giàu chất chống oxy hoá.
*Tên bệnh nhân đã được thay đổi.
Theo Thúy Hạnh (VietNamNet)








- Người phụ nữ thuê trọ 15 năm, thấy chủ nhà được đền bù giải tỏa 9,6 tỷ đồng lập tức đòi chia phần: “Tôi xứng đáng được một nửa” (58 phút trước)
- Cửa hàng điện tử ở Hà Nội cháy dữ dội (59 phút trước)
- Người đàn ông ở TP HCM bị cướp giật dây chuyền vàng trị giá 100 triệu đồng (1 giờ trước)
- Suýt ngất khi biết đây là phòng của một nữ sinh 2k1! (1 giờ trước)
- "Ông hoàng nhạc sến" Vbiz: Bỏ 1 triệu đô mua bảo hiểm trinh tiết, đúc tượng chính mình từ 1.000 cây vàng (1 giờ trước)
- Toàn cảnh lễ đón Tổng Bí thư Tô Lâm thăm cấp Nhà nước CHDCND Triều Tiên (1 giờ trước)
- VIDEO: Người dân chen chúc xếp hàng mua vàng khi giá vượt 142 triệu đồng/lượng (1 giờ trước)
- Ông bố trẻ khóc nức nở vì con trai học tiểu học, nhưng vợ ngồi cạnh lại cười khúc khích: Chuyện gì đây? (1 giờ trước)
- "Cậu bé đẹp nhất thế giới" William Franklyn-Miller giờ ra sao? (1 giờ trước)
- Bộ GD-ĐT yêu cầu xử lý vụ thầy giáo bóp cổ đồng nghiệp ngay trong trường (1 giờ trước)




