-
Số người chết, mất tích do mưa lũ tăng lên
-
Mẹ chồng đột ngột mang 5 tỷ sang cho tôi, lý do khiến cả nhà đứng hình
-
Hàng xóm vay 100.000 đồng không trả, còn mắng "có tí tiền cũng đòi"
-
Cảnh báo 8 xã, phường Hà Nội ngập lụt trong lũ sông Cầu, sông Cà Lồ
-
Sinh viên tố bị gây khó khăn khi nhận cơm từ thiện giữa mưa lũ ở Thái Nguyên, nhà trường lên tiếng
-
Khi người lính ngủ say bên mẹt dưa hấu của bà con vùng ngập: Thương lắm!
-
Thuyền lật, người đàn ông đi cứu trợ lũ bị kẹt giữa biển nước, cảnh sát lập tức hành động
-
Ngập lụt ở Lạng Sơn, Thái Nguyên, Bắc Ninh còn diễn ra đến bao giờ?
-
Nhóm nam thanh, nữ tú trộm hơn nửa tỷ đồng
-
Cao tốc Hà Nội - Thái Nguyên vẫn ngập đến nửa mét, phương tiện đi lại khó khăn
Gia đình
03/10/2018 16:01Tưởng nổi mụn lạ, cô gái khổ vì 'bệnh siêu giả dạng'
Nữ bệnh nhân giấu tên năm nay 28 tuổi, đã đến nhiều nơi thăm khám, điều trị kể từ khi những nốt nhỏ trông như mụn bắt đầu nổi ở cổ, nách rồi chân, tay. Các nốt này có màu nâu nhạt, đỏ, nâu đậm, có vẻ vô hại và chẳng gây phiền toái gì ngoài cảm giác ngứa nhẹ khi đổ mồ hôi.

Cô gái đã đi khám nhiều nơi trong suốt 2 năm và bị chẩn đoán nhiều bệnh khác nhau như mụn cóc, vảy nến giọt, u vàng…, đã từng đốt laser CO2 để xóa đi vài nốt to nhất, dùng nhiều thuốc nhưng mọi biện pháp đều không giúp cô khỏi bệnh.
1 năm trước, cô được các bác sĩ ở Bệnh viện (BV) Da liễu TP HCM chẩn đoán mắc bệnh Sarcoidosis, căn bệnh được đặt biệt danh là "bệnh siêu giả dạng" với các triệu chứng trên da tưởng chừng như vô hại và dễ "giả dạng" nhiều bệnh khác. Đó là một bệnh lý u hạt không hoại tử với nguyên nhân không rõ ràng, tỉ lệ mắc ước tính khoảng 10-40 ca/100.000 người.
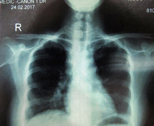
Đáng nói, sự nguy hiểm thực sự của căn bệnh không chỉ nằm trên da. Cô gái còn bị mờ mắt, chẩn đoán ban đầu là viêm màng bồ đào mắt mãn tính. Hai lá phổi cô cũng xuất hiện những nốt li ti, phì đại hạch rốn phổi phải và hạch trung thất. Tất cả các tổn thương tưởng không liên quan đó đều do bệnh siêu giả dạng gây ra.

Rất may, sau khi xác định đúng bệnh, các bác sĩ tìm ra hướng đẩy lùi các tổn thương do bệnh siêu giả dạng.
Theo báo cáo của nhóm tác giả gồm bác sĩ chuyên khoa I Nguyễn Vũ Hoàng và bác sĩ chuyên khoa II Nguyễn Thị Bích Liên, đều đến từ BV Da liễu, trong Hội nghị Da liễu khu vực phía Nam do BV này vừa tổ chức, nữ bệnh nhân này đã có nhiều dấu hiệu khả quan sau 1 năm điều trị.
Cụ thể, các triệu chứng về mắt của cô đã khỏi hoàn toàn, các hạch rốn phổi phải và hạch trung thất giảm kích thước đáng kể. Riêng các tổn thương về da có những đợt giảm rồi tái phát, đến nay đã giảm gần hết và các bác sĩ hy vọng nó sẽ sớm biến mất hẳn. Hiện cô tiếp tục được điều trị nội khoa với thuốc liều nhẹ.
Theo A.Thư (Nld.com.vn)








- Thủ lĩnh cấp cao Hamas: Giao tranh ở Dải Gaza chấm dứt (14 phút trước)
- Số người chết, mất tích do mưa lũ tăng lên (17 phút trước)
- Tuyển Việt Nam đón tin vui từ FIFA sau chiến thắng, Indonesia nhận “tin dữ” (20 phút trước)
- Clip hiếm: BTS trình diễn ở Việt Nam (20 phút trước)
- iPhone Ultra sẽ là biểu tượng mới của "đỉnh cao iPhone"? (20 phút trước)
- Lưu Diệc Phi chia tay Song Seung Hun vì "ngán tận cổ" (25 phút trước)
- Clip chồng đánh con gái riêng của vợ tàn bạo, trích xuất camera phòng khách gây phẫn nộ (28 phút trước)
- Mẹ chồng đột ngột mang 5 tỷ sang cho tôi, lý do khiến cả nhà đứng hình (30 phút trước)
- Mua xe cũ: Làm sao để biết xe đã bị ngập nước? (31 phút trước)
- Vận mệnh 1 đời người hé lộ qua 4 điểm trong ngôi nhà: Điều cuối cùng do tự bạn xoay chuyển (35 phút trước)




