-
Mưa suốt đêm, nhiều trường ở Hà Nội cho học sinh nghỉ sáng nay
-
Nữ tài xế tông tử vong Chủ tịch xã: Không nhớ đã uống bao nhiêu bia, lái xe về gấp vì người nhà gọi
-
Bộ Công an thông tin những vấn đề "nóng" liên quan đến Hoàng Hường, "Shark Bình"
-
Thảm sát 3 người ở Đồng Nai: Hung thủ đối diện mức án nào?
-
Đại gia Trương Mỹ Lan, Trịnh Văn Quyết và Đỗ Anh Dũng thi hành án tới đâu?
-
Thực hư tin đồn xuất hiện cơn bão số 12 ngay sau bão Matmo
-
Tử vi 12 con giáp hôm nay - thứ 3 ngày 7/10/2025: Tý khó khăn, Tị cân bằng
-
“Ăn nước bọt với nước rác ngon không?”: Khách sốc vì bài đăng của nhân viên quán nướng Hà Nội sau mâu thuẫn
-
Miền Bắc sắp mưa to đến rất to, 8 tỉnh sau đặc biệt chú ý
-
Trường đại học Y khoa Phạm Ngọc Thạch lên tiếng vụ thí sinh 24 tuổi trúng tuyển tiến sĩ
Gia đình
23/04/2019 22:00Tưởng rối loạn tiêu hóa, người đàn ông phát hiện bị ung thư đại tràng

Theo người nhà của ông Lê Văn X. (60 tuổi, ngụ Cần Thơ) cách đây 2 năm, ông thường xuyên bị ăn khó tiêu, đau chướng bụng, táo bón. Cứ mỗi lần có những triệu chứng trên thì ông X. cùng gia đình nghĩ bị rối loạn tiêu hóa nên đã ra ngoài nhà thuốc mua thuốc trị rối loạn tiêu hóa về uống. Tuy nhiên, mới đây, ông X. bất ngờ bị đau bụng dữ dội, bụng căng chướng, bí trung đại tiện, không ăn uống được vì ói nên người nhà đưa Bệnh viện Hoàn Mỹ Sài Gòn cấp cứu.
Ngày 23.4, bác sĩ Nguyễn Ngọc Thao - Trưởng khoa ngoại tiêu hóa, Bệnh viện Hoàn Mỹ Sài Gòn cho biết kết quả kiểm tra cận lâm sàng cho thấy, bệnh nhân X. đã bị ung thư đại tràng di căn hạch biến chứng tắc ruột dọa vỡ.
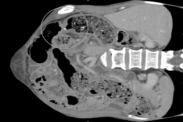
"Bệnh nhân sau khi làm các xét nghiệm đã cho tiến hành chụp CT bụng thì phát hiện khối u đại tràng trái rất to, di căn hạch và biến chứng gây tắc ruột, các quai ruột giãn rất to nguy cơ vỡ đe dọa tính mạng bệnh nhân. Sau hội chẩn khẩn, bệnh nhân được mổ cấp cứu trong đêm, loại bỏ được khối u đại tràng rất to và khối hạch di căn quanh u, nhằm lưu thông ruột. Bệnh nhân sau đó đã được phục hồi”, bác sĩ Thao chia sẻ.

Theo bác sĩ Thao, ung thư đại tràng là một trong những ung thư thường gặp, đứng hàng thứ 3-4 trong các loại bệnh ung thư.
Việc điều trị ung thư đại tràng nhằm lưu thông ruột và tránh di căn giúp kéo dài sự sống, quan trọng nhất là phát hiện bệnh sớm có thế điều trị hết bệnh hoàn toàn.
"Người dân khi có các dấu hiệu nghi ngờ như: táo bón thường xuyên, tiêu chảy thường xuyên, đi cầu ra máu, nôn ói, bụng chướng đau, sờ thấy u ổ bụng hay ăn kém sụt cân…cần đến các cơ sở y tế chuyên về tiêu hóa để kiểm tra nhằm phát hiện sớm bệnh ung thư đại tràng”, bác sĩ Thao khuyến cáo.
Theo Hồ Quang (Một Thế Giới)








- Sốt xuất huyết tăng mạnh vào mùa mưa, nhiều ca biến chứng nặng (08:25)
- Mưa suốt đêm, nhiều trường ở Hà Nội cho học sinh nghỉ sáng nay (08:20)
- Taylor Swift bị tình cũ chồng sắp cưới đáp trả thẳng mặt (08:20)
- Nghi phạm sát hại nữ chủ quán cà phê ở Tây Ninh nhảy lầu (08:14)
- Cựu lãnh đạo NATO tiết lộ thời điểm khối bên bờ vực tan rã (08:07)
- LĐBĐ châu Á công bố án phạt dành cho LĐBĐ Malaysia (08:01)
- Nữ tài xế tông tử vong Chủ tịch xã: Không nhớ đã uống bao nhiêu bia, lái xe về gấp vì người nhà gọi (08:00)
- Bộ Công an thông tin những vấn đề "nóng" liên quan đến Hoàng Hường, "Shark Bình" (55 phút trước)
- Thảm sát 3 người ở Đồng Nai: Hung thủ đối diện mức án nào? (1 giờ trước)
- Đại gia Trương Mỹ Lan, Trịnh Văn Quyết và Đỗ Anh Dũng thi hành án tới đâu? (1 giờ trước)




