-
Cổ phiếu FPT tăng trần, kéo chứng khoán tăng vọt sau phiên giảm sốc
-
Vụ học sinh lớp 12 tử vong: Thực hư thông tin nam sinh đâm bạn đã bị bắt nạt nhiều lần
-
Nghỉ hưu năm 2025, đóng BHXH đủ 31 năm, lương hưu mỗi tháng được nhận bao nhiêu?
-
Mở 1 cửa xả đáy hồ thủy điện Tuyên Quang từ 18h hôm nay, cảnh báo an toàn hạ du
-
Nam sinh ở An Giang cầm hung khí quật liên tiếp vào đầu bạn
-
Đề xuất nâng tiền cọc đấu giá đất lên 50%, cấm tham gia đấu giá với người bỏ cọc
-
Đề xuất nâng mức đặt cược đua ngựa, bóng đá lên gấp 10 lần, tối đa 100 triệu/ngày
-
Vụ vé số trúng 2 tỷ đồng bị từ chối trả thưởng: Đã chuyển công an giám định
-
Vụ nhiều người tụ tập trước dinh thự của Ngân Collagen: Thông tin từ công an
-
Bão số 12 Fengshen giật cấp 12, miền Trung mưa rất to từ trưa 22-10
Giới trẻ
28/03/2025 13:02Người đàn ông Hà Nội có lá phổi xẹp, đặc như tấm bìa cứng
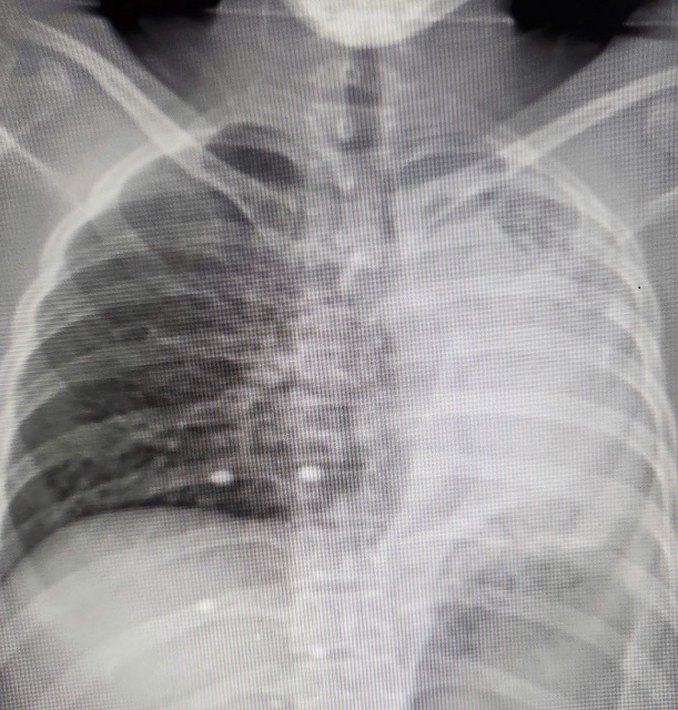
Cách đây 1 năm, anh Nguyễn Văn B (sống tại Hà Nội) được chẩn đoán mắc lao phổi. Mặc dù anh B đã duy trì điều trị tích cực nhưng đến tháng 3/2025, phổi trái của anh xẹp hoàn toàn do phế quản gốc bị hẹp tắc.
Anh B được chuyển đến Khoa Phẫu thuật Lồng ngực, Bệnh viện Bạch Mai. Kết quả thăm khám lâm sàng và chụp chiếu cho thấy anh B đối diện với nguy cơ mất một lá phổi vĩnh viễn. Phế quản gốc trái chỉ còn khe hẹp 2mm, phổi xẹp, đặc như tấm bìa cứng. Nếu anh B không phẫu thuật trong 2 tuần, phổi sẽ hoại tử.

TS.BS Ngô Gia Khánh, Trưởng khoa Phẫu thuật Lồng ngực và mạch máu cho biết, đây là một ca xẹp phổi vô cùng phức tạp với những thách thức lớn. Đoạn phế quản hẹp nằm sâu sau tim, bị che khuất bởi động mạch chủ và động mạch phổi - vùng được mệnh danh là "tam giác tử thần" của lồng ngực. Chỉ một nhát cắt phẫu thuật lệch 1mm, bệnh nhân cũng có thể tử vong do chảy máu ồ ạt.
Sau khi thảo luận và lập “chiến lược” phẫu thuật, điều trị hồi phục sau mổ, các bác sĩ đã quyết định tiến hành ca phẫu thuật. Sau 4 giờ tập trung cao độ, ê-kíp phẫu thuật đã cắt bỏ thành công đoạn phế quản hẹp 3cm và khâu nối tái tạo đường thở. Chỉ 24 giờ sau mổ, phổi trái của anh B đã giãn nở trở lại.
Theo TS.BS. Ngô Gia Khánh, phẫu thuật của anh B là ca đầu tiên được thực hiện thành công tại Việt Nam. Thành công này mở ra cơ hội cho hàng ngàn bệnh nhân hẹp phế quản do lao hoặc do u.
Bác sĩ cho biết bệnh nhân mắc lao có nguy cơ bị hẹp phế quản và có thể đối diện với nguy cơ xẹp phổi hoàn toàn. Vì vậy để phòng ngừa những nguy cơ không mong muốn, người bệnh nên tái khám định kỳ, đừng chủ quan kể cả khi đã ngưng thuốc.
Sau ca mổ, anh B tâm sự: “Các bác sĩ không chỉ cứu phổi của tôi mà còn thắp lên hy vọng cho cả gia đình. Tôi vô cùng biết ơn các bác sĩ đã hồi sinh lá phổi cho tôi”.
Lao nguy hiểm ra sao?
Theo Tổ chức Y tế Thế giới (WHO), lao là một bệnh truyền nhiễm do vi khuẩn Mycobacterium tuberculosis gây ra, thường gây bệnh ở phổi. Bệnh lan truyền từ người bệnh sang người lành thông qua các giọt bắn ra từ cổ họng và phổi. Khoảng 5-10% những người bị nhiễm vi khuẩn gây lao sẽ phát triển bệnh lao trong đời.
Triệu chứng của bệnh lao phổi bao gồm ho, đôi khi có đờm, hoặc ho ra máu, đau ngực, suy nhược, gầy sút, sốt và ra mồ hôi về đêm. Bệnh lao vẫn là 1 trong 10 nguyên nhân gây tử vong trên thế giới.
Bệnh lao có thể điều trị bằng cách kết hợp 6 loại thuốc kháng sinh. Tuy nhiên, khoảng 5% bệnh nhân mắc lao có đề kháng với các loại kháng sinh này, do đó đòi hỏi thời gian điều trị lâu hơn từ 9-24 tháng. Hầu hết bệnh lao có thể được điều trị khỏi, miễn là bệnh nhân tuân thủ đầy đủ liệu trình điều trị.
Năm 2023, Tổ chức WHO ước tính mỗi năm Việt Nam có thêm 172.000 người mắc bệnh lao, khoảng 13.000 người tử vong do lao hàng năm, 70% người mắc lao ở trong độ tuổi lao động.
Theo Ngọc Minh (nguoiduatin.vn)








- Nữ ca sĩ bị bắt vì sát hại con gái ruột: Đánh đập rồi đổ nước sôi, bỏ mặc con trong xe đến chết (21/10/25 23:09)
- Trước "giờ G" đám cưới Đỗ Hà - thiếu gia tập đoàn Sơn Hải: Rạp cưới siêu khủng, cô dâu nôn nao! (21/10/25 23:06)
- Nghẹt thở vây bắt kẻ "ngáo đá" lái xe tải lạng lách, cầm dao chống trả công an (21/10/25 22:54)
- Chấn thương của Bùi Tiến Dũng nghiêm trọng thế nào? (21/10/25 22:40)
- Giá vàng thế giới giảm mạnh chưa từng thấy (21/10/25 22:31)
- Dân Đà Nẵng chen chân mua lương thực chống bão số 12, siêu thị "cháy hàng" (21/10/25 22:17)
- "Tổ quốc trong tim" - từ concert quốc gia đến sự bùng nổ rạp phim (21/10/25 22:01)
- Ukraine mất điện diện rộng, Mỹ phản đối tịch thu tài sản Nga để viện trợ Kiev (21/10/25 21:43)
- Một trưởng thôn ở Đà Nẵng bị gấu rừng tấn công (21/10/25 21:25)
- Truyền thông Malaysia nổi cơn thịnh nộ (21/10/25 21:22)




