-
Hà Nội sẽ công bố toàn bộ bản vẽ quy hoạch Thủ đô vào cuối tháng 6 -
Hàng trăm người có mặt ở hiện trường vụ tai nạn nghiêm trọng giữa đêm: Nguyên nhân người đàn ông tử vong -
Master Sanker lên tiếng sau clip tặng iPhone tại Hồ Gươm, thừa nhận một số video có dàn dựng trên mạng xã hội -
Chân dung nữ đại sứ Mỹ đầu tiên tại Việt Nam vừa được Thượng viện phê chuẩn -
Khai báo không trung thực về ngoại tệ, vàng khi xuất nhập cảnh có thể bị phạt tới 50 triệu đồng -
Hà Nội đề xuất loạt chính sách đặc thù cải tạo chung cư cũ: Người dân được bồi thường và tái định cư ra sao? -
Đại án gia tộc thời trang Mango: Phó Chủ tịch tập đoàn bị bắt vì cáo buộc bức tử cha ruột -
Người đàn ông lặn xuống sông Lô tìm các nam sinh gặp nạn: "Nhìn thấy các cháu dưới nước tôi gần như chết lặng" -
Hôn nhân của Tiên Nguyễn và chồng Canada gốc Dubai: Ít phô trương nhưng đầy những cử chỉ ngọt ngào -
Nữ sinh lớp 12 rời nhà rồi mất liên lạc nhiều ngày, công an phát thông báo tìm kiếm
Giới trẻ
02/01/2025 21:26Thực quản người phụ nữ 30 tuổi 'thối hoàn toàn' vì 1 thói quen có thể xảy ra ở mọi lứa tuổi
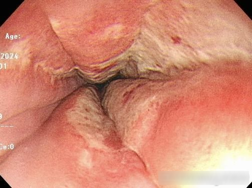
Một phụ nữ 30 tuổi ở miền bắc Trung Quốc đã tìm cách điều trị chứng khó nuốt. Bác sĩ đã tiến hành nội soi thực quản cho cô và phát hiện "một vết loét lớn" ở giữa và dưới thực quản, điển hình của "viêm thực quản do thuốc". Zhang Jing, bác sĩ chuyên khoa tiêu hóa và gan mật, chỉ ra nguyên nhân chính gây bỏng thực quản là do thuốc dính vào niêm mạc thực quản, gây viêm thực quản, thậm chí loét thực quản. Nguyên nhân thường là do không uống đủ nước khi uống thuốc, hoặc nằm xuống ngay sau khi dùng thuốc. Điều này có thể xảy ra với mọi lứa tuổi.
Cụ thể, bác sĩ Zhang Jing, Khoa Tiêu hóa và gan mật chia sẻ câu chuyện trên. Ông cho biết người phụ nữ phàn nàn về việc khó nuốt. Bác sĩ tai mũi họng đã tiến hành nội soi thanh quản và không tìm thấy điều gì bất thường. Sau khi hỏi kỹ tiền sử bệnh, người ta phát hiện ra rằng gần đây cô ấy đã dùng thuốc kháng sinh.
Do đó, bác sĩ nghi ngờ bệnh nhân bị bỏng thực quản là do thuốc, và ngay lập tức sắp xếp cho người phụ nữ đi nội soi thực quản.
"Quả nhiên, nội soi phát hiện một lượng lớn vết loét thực quản ở giữa và dưới thực quản!", bác sĩ Zhang Jing kêu lên khi nhìn vào ống nội soi của người phụ nữ. Ông cho biết đây là một bệnh “viêm thực quản do thuốc” điển hình.
Sau khi nội soi dạ dày, ngoài việc kê đơn thuốc cho bệnh nhân, ông còn hướng dẫn cô những điều cần chú ý trong chế độ ăn uống để giảm tổn thương thứ phát do loét thực quản.
Viêm thực quản do thuốc là do thuốc dính vào niêm mạc thực quản, gây viêm thực quản, thậm chí gây loét. Nguyên nhân thường là do uống thuốc không đủ nước, hoặc không giữ cơ thể đứng thẳng sau khi uống thuốc, uống thuốc rồi nằm xuống ngay. Các loại thuốc thông thường gây viêm thực quản do thuốc, chẳng hạn như thuốc kháng sinh (ví dụ doxycycline), thuốc giảm đau chống viêm (NSAID)... thường khiến các triệu chứng biến mất trong vòng vài ngày sau khi ngừng các loại thuốc trên và thêm sự trợ giúp của thuốc kháng axit và dịch dạ dày sẽ dần dần giảm bớt.
Tỷ lệ mắc bệnh viêm thực quản do thuốc là khoảng 3,9 trên 100.000 người. "Nó không phổ biến lắm, chủ yếu ở phụ nữ, người già và trẻ em nhưng có thể xảy ra ở mọi lứa tuổi. Mặc dù nuốt phải một số loại thuốc như kháng sinh, thuốc chống viêm, giảm đau có nhiều khả năng gây viêm thực quản do thuốc hơn các loại thuốc thông thường nhưng “thói quen” vẫn là nguyên nhân chính.
Bác sĩ Zhang Jing nhắc nhở rằng việc uống thuốc trong cuộc sống hàng ngày là điều không thể tránh khỏi. Điều quan trọng là phải nắm bắt các nguyên tắc cơ bản, chẳng hạn như uống thuốc với đủ nước (khoảng 200 đến 250ml) và giữ cơ thể thẳng trong một khoảng thời gian (khoảng 30 phút) sau khi uống thuốc, có thể ngăn ngừa hiệu quả tình trạng viêm thực quản do thuốc gây ra.
Theo Mỹ Diệu (Nguoiduatin.vn)
- Trung Quốc bắn 21 loạt đại bác chào đón Tổng thống Putin tại Bắc Kinh (33 phút trước)
- Neymar và ván cược cuối cùng của Brazil: Khi thiên tài phải chạy đua với chính cơ thể mình (38 phút trước)
- Giá vàng miếng lao dốc mạnh, người mua vùng đỉnh lỗ nặng (41 phút trước)
- Đạo diễn Perfect Crown cúi đầu khóc nghẹn, xin lỗi vì bê bối xuyên tạc lịch sử (41 phút trước)
- Hà Nội sẽ công bố toàn bộ bản vẽ quy hoạch Thủ đô vào cuối tháng 6 (41 phút trước)
- Bước đi chiến lược của Samsung: Sức hút từ "tân binh" Galaxy S27 Pro có thể làm lu mờ phiên bản Ultra (43 phút trước)
- 6 món đồ quen thuộc trong nhà có thể âm thầm làm tăng nguy cơ ung thư tuyến tụy (51 phút trước)
- Khởi tố chủ chuỗi cửa hàng K.W Sneaker: Thu giữ hơn 1.400 đôi giày giả các thương hiệu lớn, thu lợi bất chính hơn 1 tỷ đồng (1 giờ trước)
- Hàng trăm người có mặt ở hiện trường vụ tai nạn nghiêm trọng giữa đêm: Nguyên nhân người đàn ông tử vong (1 giờ trước)
- Master Sanker lên tiếng sau clip tặng iPhone tại Hồ Gươm, thừa nhận một số video có dàn dựng trên mạng xã hội (1 giờ trước)