-
Doãn Hải My cùng Đoàn Văn Hậu đưa quý tử đi chơi Trung thu, visual "bạch nguyệt quang" gây sốt cõi mạng
-
6 máy bơm hoạt động ngày đêm "giải cứu" xóm ngập cả tuần ở Hà Nội
-
Bạn gái tiết lộ điều ít ai biết về Văn Thanh
-
Vỡ hụi trăm tỷ ở TPHCM: Nhiều người ở khắp các tỉnh, thành kéo về tố cáo
-
"Chảy máu chất xám ngược": Vì sao gần 100 nhà khoa học rời Mỹ về Trung Quốc?
-
Bánh Trung thu ngày Rằm tháng Tám: Dù "ế" nhưng nhiều thương hiệu không giảm giá
-
Ám ảnh 2 lần ngập lụt liên tiếp, người dân Hà Nội đắp đập, dựng tường chắn nước
-
Sau ồn ào AntEx, Shark Bình livestream nói về lãnh đạo trong khởi nghiệp
-
Mưa bão 2025: Diễn biến cực đoan, thêm 2-3 cơn bão sắp vào Việt Nam
-
"Tuyệt đối không để lọt người chạy chức, chạy quyền, cơ hội, bè phái vào Ban Chấp hành Trung ương"
Giới trẻ
13/02/2025 18:21Ung thư 'nhảy' từ giai đoạn 1 lên 4 sau hai năm uống một thứ thường xuyên
Thạc sĩ, bác sĩ Nguyễn Duy Anh - Trung tâm Ung bướu, Xạ trị và Y học hạt nhân Quốc Tế, Bệnh viện Đa khoa Phương Đông cho biết, gần đây bác sĩ đã tiếp nhận một trường hợp mắc ung thư "nhảy" từ giai đoạn sớm (giai đoạn 1) sang giai đoạn cuối (giai đoạn 4), có di căn phổi.
Bệnh nhân là nữ, 42 tuổi ở Hải Phòng. Vào tháng 3/2023, bệnh nhân tự sờ thấy u cục tại vú phải, nhức nhẹ nên đi khám và phát hiện ung thư vú ở giai đoạn sớm. Tuy nhiên, bệnh nhân đã không điều trị theo chỉ định của bác sĩ mà về nhà tự uống thuốc lá, thuốc nam.
Thời gian đầu uống thuốc, bệnh nhân cảm thấy các triệu chứng giảm dần nên không đi khám lại. Bệnh nhân nghĩ khối u đang được khống chế.
Thời gian gần đây, bệnh nhân tự sờ thấy u vú tăng kích thước, tình trạng nhức gia tăng, da vú vùng khối u sần chắc nên đã đi thăm khám lại.
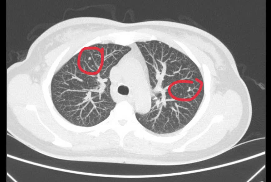
Theo bác sĩ Duy Anh, kết quả khám lâm sàng và chụp CT-scan toàn thân của bệnh nhân phát hiện có khối u vú phải kích thước 25x52mm, nhiều hạch to tròn, phổi hai bên có các nốt mờ ở màng phổi.

Với ung thư vú, các trường hợp phát hiện bệnh ở giai đoạn 1-2 có khả năng chữa khỏi 75-90%. Đặc biệt là ở giai đoạn 1, cứ 10 người mắc ung thư vú ở giai đoạn này thì 9 người chữa khỏi và 90-95% người bệnh sống thêm được 10 năm cho đến hơn 10 năm.
Với ung thư vú ở giai đoạn 3, khối u xâm lấn phần mềm, di căn hạch nách thì khả năng chữa khỏi bệnh sẽ dao động từ 50-70%. Ở giai đoạn 3, nếu được điều trị đúng phác đồ, tỷ lệ sống thêm 10 năm có thể đạt 55-75% trên tổng số người bệnh cùng giai đoạn.
"Với trường hợp của bệnh nhân trên, bệnh đã tiến triển giai đoạn cuối, di căn phổi nên sẽ không có cơ hội chữa khỏi hoàn toàn. Nguy cơ bệnh ung thư kháng thuốc sẽ tăng cao dần theo thời gian, nhất là càng về thời gian cuối", bác sĩ Duy Anh chia sẻ.
Thuốc lá, thuốc nam có chữa được ung thư?
Bác sĩ Duy Anh cho hay, hiện tại chưa có nghiên cứu khoa học nào chứng minh rằng thuốc lá, thuốc nam có thể chữa khỏi ung thư.
Hiện nay, một số thảo dược như: nghệ vàng, nấm linh chi, xạ đen,… được cho là có tác dụng hỗ trợ, nhưng chúng chỉ đóng vai trò bổ trợ, không thể thay thế các phương pháp điều trị chính thống như phẫu thuật, hóa trị hay xạ trị.

"Việc thay thế hoàn toàn các phương pháp điều trị ung thư hiện đại bằng thuốc nam có thể dẫn đến những hậu quả nghiêm trọng", bác sĩ Duy Anh khuyến cáo.
Ngoài ra, người bệnh cần phải lưu ý rằng một số loại thuốc nam có thể tương tác với các thuốc điều trị ung thư, làm giảm hiệu quả điều trị hoặc gây ra các biến chứng nguy hiểm.
Ví dụ, một số thảo dược có thể làm tăng hoặc giảm nồng độ thuốc trong máu, dẫn đến quá liều hoặc giảm hiệu quả điều trị.
Bên cạnh đó, một số loại thuốc nam có thể chứa chất độc hại cho gan, thận.
"Nhiều bệnh nhân khi uống thuốc nam có thể thấy đỡ đau hoặc bớt triệu chứng tạm thời, nhưng thực tế bệnh vẫn âm thầm tiến triển. Khi quay lại bệnh viện, tình trạng bệnh đã tiến triển nặng, người bệnh có thể đã mất cơ hội điều trị tối ưu", bác sĩ Duy Anh cho hay.
Qua trường hợp của bệnh nhân trên, bác sĩ Duy Anh khuyến cáo khi phát hiện mắc ung thư, người bệnh hãy bình tĩnh, giữ tinh thần tỉnh táo để đưa ra quyết định tốt nhất.
"Việc phát hiện ung thư là một cú sốc lớn, nhưng với phương pháp điều trị hiện đại, nhiều loại ung thư có thể được chữa khỏi hoặc kiểm soát nếu phát hiện sớm", bác sĩ Duy Anh nói.
Trường hợp bệnh nhân muốn dùng các loại thuốc nam, thuốc bắc, thực phẩm chức năng… trong quá trình điều trị cần trao đổi với bác sĩ điều trị để nhận được lời khuyên.
Theo Ngọc Minh (Nguoiduatin.vn)








- Doãn Hải My cùng Đoàn Văn Hậu đưa quý tử đi chơi Trung thu, visual "bạch nguyệt quang" gây sốt cõi mạng (15:16)
- 6 máy bơm hoạt động ngày đêm "giải cứu" xóm ngập cả tuần ở Hà Nội (15:15)
- Khoảnh khắc tuyệt đối điện ảnh của bà Melania Trump (15:11)
- Clip: Lũ lụt ập vào bệnh viện tại Sơn La do ảnh hưởng bão Matmo, nhân viên y tế vật lộn giữa dòng nước (15:02)
- Học cách biết ơn: Đường đời của bạn ngày càng rộng mở và rực rỡ, đi đến đâu cũng có quý nhân! (15:01)
- 16 giờ 30 hôm nay, Công an Đồng Nai họp báo về vụ sát hại 3 người trong 1 gia đình (24 phút trước)
- Bạn gái tiết lộ điều ít ai biết về Văn Thanh (24 phút trước)
- Khả Như nói gì khi được cho là đã bí mật sinh con? (26 phút trước)
- Dấu chấm hết cho Neymar? (28 phút trước)
- Vỡ hụi trăm tỷ ở TPHCM: Nhiều người ở khắp các tỉnh, thành kéo về tố cáo (31 phút trước)




