-
Tràn đê bối ở Bắc Ninh, nước lũ cuồn cuộn, sơ tán nghìn người dân trong đêm
-
3 loại rau nhuận tràng, làm sạch ruột và thải độc cho cơ thể
-
Dừng mô tô sát vỉa hè, người đàn ông bị xe tải tông tử vong
-
Bà mẹ hốt hoảng phát hiện con trai 21 tuổi hôn mê trong phòng ngủ
-
Cháy lớn ở cửa hàng quần áo, ông chủ 22 tuổi tử vong thương tâm
-
Miễn nhiệm chức vụ nữ hiệu trưởng cho học sinh lớp 12 "tự nguyện" nghỉ học
-
Ngập sâu tại Hà Nội sáng 8/10: Có nơi đến nửa mét, người dân phải thuê xe kéo
-
Lũ đổ về cuồn cuộn, nhiều khu dân cư bị cô lập, nhà dân, ô tô chìm trong "biển nước"
-
Kẻ bịt mặt từ trần nhà đột nhập cửa hàng điện thoại trộm cắp tài sản
-
Nhiều ý nghĩa đặc biệt từ chuyến thăm Triều Tiên của Tổng Bí thư Tô Lâm
Lối Sống
12/01/2024 23:34Chàng trai 27 tuổi đột quỵ sau tắm: Làm gì để tránh đột quỵ trong mùa lạnh?
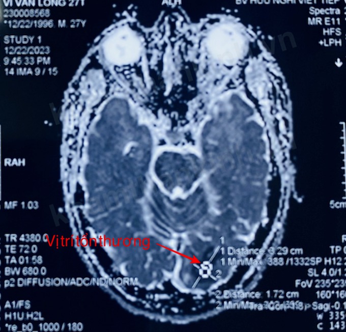
Ngày 12/1, VnExpress dẫn lời tiến sĩ, bác sĩ Phùng Đức Lâm, Trưởng Khoa Đột quỵ, Bệnh viện Hữu Nghị Việt Tiệp, cho biết bệnh nhân nhập viện khi thị lực mắt phải 8/10, kết quả chụp cộng hưởng từ sọ não cho thấy hình ảnh nhồi máu não.
Các bác sĩ sử dụng phương pháp điều trị thuốc tiêu sợi huyết. Sau ba ngày, mắt người bệnh phục hồi hoàn toàn.
Bác sĩ nhận định trường hợp này với tuổi đời còn rất trẻ cùng những triệu chứng bệnh lý không rõ ràng, rất may mắn đã đến bệnh viện kịp thời, được can thiệp trong giờ vàng, thoát tử vong. Nguyên nhân gây đột quỵ hiện chưa được xác định rõ.

Bác sĩ cho biết ca bệnh đột quỵ thường tăng khi trời lạnh hoặc thời tiết thay đổi đột ngột. Khi trời lạnh, catecholamin trong máu tăng khiến mạch máu co lại, từ đó làm tăng áp lực trong lòng mạch dẫn đến tăng huyết áp và nhịp tim. Đồng thời, việc thay đổi nồng độ một số thành phần đông máu như tăng số lượng tiểu cầu, hồng cầu, độ nhớt của máu khiến dễ hình thành cục máu đông hơn.
Đặc biệt, vào ban đêm, nhiệt độ thường hạ thấp, cùng với nhiệt độ nước tắm không phù hợp khiến cơ thể phải tự điều chỉnh bằng cách co hoặc giãn mạch để giữ/thoát nhiệt. Khi mạch máu não bị co lại đột ngột sẽ dễ gây đột quỵ do nhồi máu não; hoặc mạch vành co thắt đột ngột, gây nhồi máu cơ tim.
Các yếu tố làm tăng ca đột quỵ và trẻ hóa như tăng huyết áp, đái tháo đường, rối loạn mỡ máu. Bên cạnh đó, hút thuốc, stress nặng cũng là nguyên nhân gây đột quỵ.
Cảnh báo về tình trạng tắm đêm, báo Thời Đại dẫn lời TS.BS Võ Tường Kha - Giám đốc Bệnh viện Thể thao Việt Nam cho biết, trường hợp bị nhiễm lạnh hoặc tắm lạnh, nhất là tắm khuya có thể gây co mạch ngoại vi làm tăng tuần hoàn trung tâm, tăng lưu lượng máu, tăng áp lực tuần hoàn trung tâm, hệ tim mạch chưa thích nghi kịp gây vỡ những điểm yếu mạch hoặc vỡ các dị dạng mạch bẩm sinh gây ra tình trạng đột quỵ.
Ngoài ra, TS Kha cho rằng, với những người mới vận động xong tuyệt đối không nên tắm ngay, đặc biệt là tắm muộn, tắm khuya vì sẽ làm cho tình trạng co mạch tuần hoàn ngoại vi tăng lên, làm cho lưu lượng tuần hoàn trung tâm tăng lên, gây co mạch tăng huyết áp dễ dẫn đến đột tử.
“Nguyên nhân đột tử thông thường liên quan đến các bệnh lý tim mạch, tăng huyết áp, hoạt động tim tăng lên, hoạt động não tăng lên nhưng oxy thiếu nên dẫn đến đột tử. Hoặc thiếu oxy ở các tổ chức khác cũng gây nên tình trạng nguy hiểm sức khỏe.
Đặc biệt những người mắc bệnh tim, mạch, phổi mãn tính tiềm tàng dễ tái phát, gây đột tử khi trúng lạnh do thời tiết hoặc tắm ngay sau khi tập thể dục thể thao, tắm quá muộn”, TS Võ Tường Kha cho hay.
TS Kha khuyến cáo, người dân tuyệt đối không nên tắm khuya bất kể là mùa đông hay mùa hè, tuyệt đối không nên tắm ngay sau khi hoạt động thể lực, không tắm nước lạnh vì sẽ gây nên tình trạng tăng huyết áp, dẫn đến đột quỵ, đột tử.

Các chuyên gia cho rằng, trong thời tiết lạnh như hiện nay người dân đặc biệt phải chú ý đến các vấn đề về sức khỏe, khi có các dấu hiệu như: đau thắt ngực hoặc cảm giác khó chịu vùng ngực; khó thở có thể xảy ra kèm hoặc không kèm với tức ngực; vã mồ hôi, buồn nôn, hay nhức đầu.
Ngoài ra, người dân cũng cần chú ý đến các dấu hiệu như đột ngột tê (hay yếu) một bên mặt, tay hoặc chân; đột ngột choáng, nói khó; đột ngột đau đầu dữ dội không rõ nguyên nhân…
Để phòng đột quỵ, người dân nên vận động cơ thể và tập thể dục thường xuyên; giữ chế độ ăn uống đúng mức để tránh béo phì; hạn chế rượu, bia; tránh hút thuốc lá.
Trong mùa đông, để phòng tránh đột quỵ (nhất là ở người già), không nên ra lạnh đột ngột. Buổi sáng, khi tỉnh giấc, không nên ra khỏi chăn và xuống giường ngay mà cần nằm lại trên giường, vận động nhẹ nhàng từ 3 -5 phút để cơ thể dần thích nghi.
Đối với người bệnh cần thường xuyên kiểm tra sức khỏe, nếu phát hiện huyết áp cao, đái tháo đường.. cần được uống thuốc theo đơn của bác sĩ, không tự ý bỏ thuốc.
PN (SHTT)








- Tràn đê bối ở Bắc Ninh, nước lũ cuồn cuộn, sơ tán nghìn người dân trong đêm (10:32)
- 3 loại rau nhuận tràng, làm sạch ruột và thải độc cho cơ thể (10:29)
- Chồng sát hại hai mẹ con rồi nhảy sông tự tử (10:21)
- Xe máy "rẽ sóng" giữa phố, tìm đường lên cao tốc tránh ngập tại Hà Nội (10:17)
- Top điện thoại chống nước tốt nhất năm 2025 (10:15)
- Dừng mô tô sát vỉa hè, người đàn ông bị xe tải tông tử vong (10:08)
- Xe điện chết máy liên tục, Toyota và Subaru đối mặt với nhiều vụ kiện (10:03)
- Bà mẹ hốt hoảng phát hiện con trai 21 tuổi hôn mê trong phòng ngủ (10:03)
- Đức: Nữ thị trưởng mới đắc cử bị đâm nguy kịch ngay trước nhà riêng (10:01)
- Câu trả lời cho việc Thiên An có bị cắt vai sau ồn ào với Jack (36 phút trước)




