-
Hỗ trợ khẩn cấp 140 tỷ cho 4 tỉnh khắc phục hậu quả mưa lũ, Thái Nguyên mức cao nhất 50 tỷ
-
Cụ bà 91 tuổi ở Thái Nguyên ngồi canh bát hương chồng trong căn nhà ngập nặng
-
100 thuyền, xuồng từ Chùa Hương tiến về vùng lũ trợ giúp người dân Thái Nguyên, Bắc Ninh
-
Cô gái 20 tuổi trở về từ Malaysia nhập viện cấp cứu vì ngực rỉ dịch xanh bất thường sau một mũi tiêm
-
Ban chấp hành Đảng bộ TP Hà Nội nhiệm kỳ 2025-2030 dự kiến có 75 người
-
Cư dân biệt thự Hà Nội sắm máy bơm "khủng", canh nước ngập như canh "chứng khoán"
-
Vì sao mưa bão cực lớn, dị thường liên tiếp trút xuống gây ngập lụt lịch sử?
-
Chóng mặt khi đang làm việc, người đàn ông đột ngột rơi vào nguy kịch
-
Thủ tướng Phạm Minh Chính tới Thái Nguyên thăm hỏi người dân, chỉ đạo khắc phục hậu quả mưa lũ
-
25 người chen chúc trên tầng 2 nhà duy nhất giữa lũ ngập ở Lạng Sơn
Lối Sống
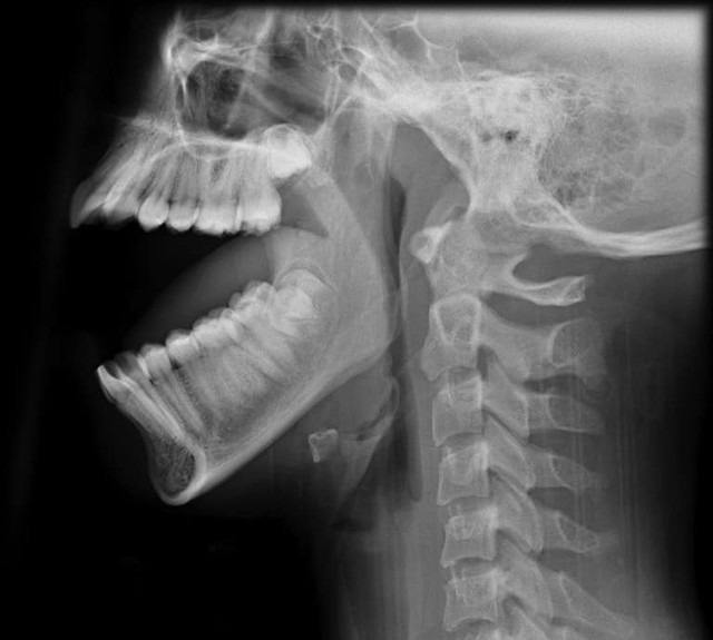
12/06/2024 17:32Thanh niên 27 tuổi trật khớp hàm vì… ngáp: Bác sĩ cảnh báo dấu hiệu nguy hiểm
Ngày 11-6, Trung tâm y tế huyện Phù Ninh (Phú Thọ) cho biết vừa tiếp nhận cấp cứu một nam bệnh nhân 27 tuổi, trú tại xã Bảo Thanh, huyện Phù Ninh, nhập viện sau khi ngáp thì không khép miệng lại được do trật khớp hàm
Sau khi thăm khám, các bác sĩ phát hiện bệnh nhân bị trật khớp thái dương - hàm hai bên.
Ngay lập tức, bệnh nhân được điều trị cấp cứu nắn chỉnh đưa lồi cầu về vị trí chức năng bình thường và băng cố định cằm, đầu, theo dõi trong vòng 1 giờ.

Trao đổi với VnExpress, bác sĩ Đỗ Xuân Hùng, Trưởng khoa Ngoại, Trung tâm Y tế huyện Phù Ninh, cho biết trật khớp thái dương - hàm là sự mất tương quan giải phẫu bình thường giữa lồi cầu xương hàm dưới và lồi khớp xương thái dương. Nếu không điều trị kịp thời, tình trạng này dễ dẫn đến cứng khớp, giãn dây chằng không hồi phục.
Bệnh tiến triển nặng sẽ làm tổn thương khớp thái dương - hàm, gây nhuyễn sụn khớp, thoái hóa và có thể dẫn đến dính khớp thái dương - hàm. Khi đó, các đầu khớp thoái hóa làm dính giữa đĩa khớp với các đầu xương, dẫn đến thủng đĩa khớp.
Trật khớp thái dương - hàm thường do sang chấn đột ngột, há miệng lớn khi ngáp hoặc điều trị răng. Những yếu tố thuận lợi gây tình trạng này là tiền sử chấn thương, dị dạng xương hàm dưới và khớp thái dương rối loạn cắn khớp, giãn dây chằng khớp...
Dấu hiệu trật khớp thái dương - hàm
Theo BSCKI. Vũ Thanh Tuấn (Bệnh viện Đa khoa Medlatec) chia sẻ trên báo Người Đưat Tin, sau một động tác há miệng quá to, nếu hàm bị vẹo sang một bên, miệng khó ngậm lại hoặc không ngậm lại được thì rất có thể bạn đã bị trật khớp thái dương - hàm.
Người trật khớp thái dương – hàm còn có các biểu hiện khác như khó nhai, hay chảy nước bọt, cằm lệch, má một bên hóp - một bên lồi. Có trường hợp cằm nhô ra, má hóp cả hai bên, xuất hiện lồi cầu dưới tai,… Các triệu chứng lâm sàng này khá dễ nhận biết.
Bác sĩ Tuấn cho biết có rất nhiều nguyên nhân gây trật khớp thái dương – hàm:
- Bị chấn thương, va đập mạnh hoặc do há miệng quá rộng và bất ngờ khiến khớp thái dương bị lệch.
- Do áp lực, stress nặng kéo dài.
- Bị viêm, nhiễm khuẩn khớp thái dương lâu ngày.
- Người có thói quen nghiến răng khi ngủ hoặc nhai kẹo cao su quá lâu, quá nhiều. Các động tác nhai lặp đi lặp lại cùng với việc siết chặt hàm có thể làm trật khớp nhai.
- Nhổ răng, răng mọc lệch, mọc chen chúc.
- Người bị bệnh về nướu, rụng răng, răng thưa…
Bệnh nhân trật khớp thái dương - hàm cần được đi khám chuyên khoa để chẩn đoán mức độ lệch của khớp, tình trạng viêm nhiễm, sau đó mới có hướng điều trị thích hợp.
PN (SHTT)








- Kỹ sư Lê Văn Tạch: Lái xe thoát qua đường ngập nước thành công, đừng vội mừng (16:09)
- MU họp với dàn sao trụ cột xem giữ hay sa thải Ruben Amorim (16:00)
- Truy tìm để đánh đối thủ, nhóm 12 đối tượng khiến 2 thiếu niên thương vong (16:00)
- Myra Trần thi The Voice Mỹ, không HLV nào bấm chọn (27 phút trước)
- Ukraine hé lộ số vụ tấn công bằng tên lửa ‘thủy thần’ nhằm vào Nga (31 phút trước)
- Xác định hai đội tuyển đầu tiên vào tứ kết U20 World Cup 2025 (33 phút trước)
- Sau cơn bạo bệnh ở tuổi 70, tôi mới biết đứa con hiếu thảo của mình trong mắt hàng xóm lại là người như vậy (50 phút trước)
- Hỗ trợ khẩn cấp 140 tỷ cho 4 tỉnh khắc phục hậu quả mưa lũ, Thái Nguyên mức cao nhất 50 tỷ (51 phút trước)
- Mỹ nhân đẹp tới từng chân tơ kẽ tóc, diễn xuất đơ cứng vẫn được tha thứ bởi xem phim vì nhan sắc thì có gì sai? (59 phút trước)
- Cụ bà 91 tuổi ở Thái Nguyên ngồi canh bát hương chồng trong căn nhà ngập nặng (1 giờ trước)




