-
Hà Nội: Bổ sung 20 tỷ đồng cho xã Trung Giã, Đa Phúc khắc phục hậu quả bão lũ
-
Điều tàu chở hàng nặng 300 tấn án ngữ trên cầu sông Thương để đối phó nước lũ
-
Hoa hậu Yến Nhi lao thẳng vào máy quay
-
Bé gái 6 tuổi và lời khai tố cáo kẻ xâm hại tình dục ở Hà Nội
-
Miền Bắc lại sắp mưa lớn, Hà Nội và các tỉnh lân cận khi nào hết ngập lụt?
-
Thái Nguyên: Truy tìm 3 "tách trà" thất lạc sau trận lũ lịch sử
-
Xuất hiện thêm ảnh rò rỉ về Hyundai Santa Fe bản mới
-
Nghẹn lòng những lời cuối với mẹ của nữ hiệu trưởng bị lũ cuốn tại Thái Nguyên: "Ở đó rét lắm!"
-
Khách Nhật thử món "ăn tươi nuốt sống" ở Việt Nam, từ lo lắng đến nức nở khen
-
Ông Y Thanh Hà Niê Kđăm làm Bí thư Tỉnh ủy Lâm Đồng
Lối Sống
29/09/2023 17:40Thủng tử cung vì đặt vòng tránh thai suốt 30 năm
Ngày 28/9, VietNamNet dẫn thông tin từ Bệnh viện Bạch Mai (Hà Nội) cho biết, các bác sĩ vừa phẫu thuật cho nữ bệnh nhân bị thủng ruột, tử cung do vòng tránh thai.
Thạc sĩ, bác sĩ chuyên khoa II Triệu Văn Trường - Trưởng tua trực cấp cứu, Phó trưởng Khoa Ngoại tổng hợp, cho biết bệnh nhân 69 tuổi vào viện vì đau bụng dưới rốn kèm ra dịch hồng ở âm đạo sau thủ thuật tháo dụng cụ tử cung.
Bệnh nhân cho biết đã đặt vòng tránh thai 30 năm, gần đây thấy ra dịch nhầy hồng âm đạo. Bà đến bệnh viện tháo vòng nhưng thất bại. Bốn ngày sau, bà đau hạ vị liên tục kèm nôn, ra dịch máu âm đạo, không trung tiện được, không sốt.

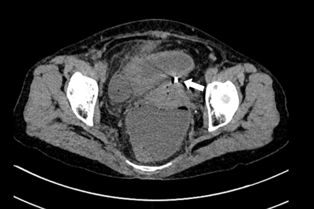
Bà đến Bệnh viện Bạch Mai trong tình trạng bụng có biểu hiện của viêm phúc mạc như bụng chướng, ấn đau. Siêu âm ổ bụng cho thấy các quai ruột ứ đọng dịch, giảm nhu động. Chụp cắt lớp vi tính thấy hình ảnh dịch khí tự do trong ổ bụng, tắc ruột cơ năng, dày thành ruột vị trí hố chậu phải và dị vật xuyên thủng đáy tử cung.
Các bác sĩ đã tiến hành mổ mở cấp cứu cắt một phần tử cung, khâu lỗ thủng ruột non, rửa sạch ổ bụng. Tuy nhiên, sau mổ 6 ngày, bệnh nhân phải mổ lại lần thứ hai để đưa hai đầu ruột non ra ngoài tạm thời do bục lỗ khâu ruột non. Bệnh nhân đã ra viện và được hẹn tái khám sau 3 tháng để đóng dẫn lưu hồi tràng.
Trao đổi với Dân Trí, BS Trường cho biết, thủng tử cung do vòng tránh thai là một biến chứng không phổ biến nên nhiều khi khó chẩn đoán, dấu hiệu thủng tử cung chỉ có thể được phát hiện khi theo dõi định kỳ hoặc mang thai ngoài ý muốn.
Các triệu chứng lâm sàng có thể gặp do thủng tử cung bao gồm chảy máu bất thường và đau bụng. Vòng tránh thai có thể được nhìn thấy khi làm siêu âm đầu dò âm đạo, nhưng cũng có thể sử dụng chụp cắt lớp vi tính để xác định vị trí.
Đa số vòng tránh thai sau khi thủng sẽ nằm ở khoang phúc mạc sau đó xâm lấn vào các cơ quan lân cận gây biến chứng thủng ruột. Do đặc điểm lỗ thủng ruột thường là nhỏ nên tình trạng viêm phúc mạc có thể ở mức độ nhẹ, khu trú, thậm chí không có triệu chứng.
Ngược lại nếu dịch tiêu hóa lan rộng gây viêm phúc mạc toàn thể với lâm sàng cấp tính, đau bụng, nhiễm trùng khiến bệnh nhân phải nhập viện.
BS Trường khuyến cáo, phụ nữ đã mãn kinh nên lấy dụng cụ tử cung ra khỏi cơ thể để phòng tránh các biến chứng. Chị em phụ nữ khi đặt vòng tránh thai cần tuân thủ khuyến cáo, sau 5 năm tháo ra một lần, hoặc tháo hoàn toàn khi hết tuổi sinh sản.
PN (SHTT)








- Nóng: Đê ở Bắc Ninh đang tràn, có nguy cơ vỡ đê (4 giờ trước)
- Ngôi nhà 4 tầng cháy 2 lần trong ngày tại Đê La Thành (5 giờ trước)
- Vụ diễn viên Trung Quốc ngã lầu tử vong: Xuất hiện video gây nhiễu loạn công tác điều tra (10/10/25 23:07)
- Con dâu và con trai đang cười nói nấu nướng trong bếp, vừa thấy tôi bước vào, phản ứng của chúng khiến tôi cay đắng (10/10/25 22:55)
- Vụ bé trai ném dép làm hỏng thang máy chung cư: 3 gia đình đã nộp tiền bồi thường (10/10/25 22:35)
- Viện dưỡng lão Trung Quốc gây sốc khi để nhân viên làm điều này trước mặt cụ ông (10/10/25 22:15)
- Hơn 50.000 quán cà phê, cửa hàng ăn uống đã đóng cửa (10/10/25 21:33)
- Mưa lũ lớn sau bão số 11 gây thiệt hại nặng nề cho 70 ngàn ngôi nhà (10/10/25 21:22)
- Tổng thống Donald Trump đề xuất "đuổi" 1 nước ra khỏi NATO (10/10/25 21:12)
- Xôn xao suất cơm bán trú 27.000 đồng "lèo tèo": Hiệu trưởng lên tiếng, mất ngủ cả đêm (10/10/25 21:10)




