-
Dự báo thời tiết dịp lễ 30/4 - 1/5: Có nơi nắng đẹp, Hà Nội, TP.HCM và các điểm du lịch ra sao? -
Hà Nội: 2 nam sinh cấp cứu vì trò đùa của bạn với chìa khóa cắm đầu, bút cắm vào nơi nhạy cảm -
Vé máy bay Hà Nội – TP.HCM bất ngờ giảm mạnh sát lễ 30/4, giá hiện tại khiến nhiều người ngỡ ngàng -
Xôn xao tấm thiệp mời dự "lễ cúng tạ từ cõi chết trở về", chủ nhân nói gì? -
Chồng chi 15 triệu tạo bất ngờ nghỉ lễ 30/4, vợ không kịp "ồ" lên đã thấy nghẹn lòng -
Lý do Bộ Công Thương loại dầu hỏa khỏi danh mục giá cơ sở, cơ chế điều hành giá xăng dầu từ 29/4 có thay đổi gì? -
Cú sốc 2 tỷ USD: Trung Quốc chính thức dập tắt tham vọng thâu tóm Manus AI của Meta -
Nguồn cơn vụ người đàn ông nước ngoài lao vào đá ô tô, tát tài xế ở Đà Nẵng khiến CĐM bức xúc -
Bộ Công an kết luận: Dự án “Nuôi em”, “Sức mạnh 2000” không có dấu hiệu tội phạm -
Đậu đen: "Thực phẩm vàng" giải nhiệt và hỗ trợ đẩy lùi 4 bệnh mãn tính
Sức khỏe
03/10/2017 22:14Nhiễm chlamydia trachomatis sinh dục - tiết niệu và những hệ lụy
Chlamydia trachomatis là 1 trong 3 loài thuộc nhóm Chlamydia- nguyên nhân rất quan trọng gây mù lòa và bệnh lây truyền qua đường tình dục.
Ngoài ra, có tới trên 40% số bệnh nhân nhiễm C. trachomatis không có triệu chứng và rất nhiều người trong tuổi hoạt động tình dục bị nhiễm C. trachomatismà không đi khám chữa bệnh vì không có triệu chứng hoặc triệu chứng rất nghèo nàn. Do vậy, nhiều trường hợp xảy ra biến chứng mới biết mình bị bệnh và những người không triệu chứng là nguồn lây cho cộng đồng.
Tác nhân gây bệnh
Chlamydia là vi khuẩn nội tế bào do không có khả năng tổng hợp các hợp chất có năng lượng cao (ATP và GTP). Nó khác với tất cả loài vi khuẩn khác ở điểm căn bản là có chu kỳ nhân lên khác thường. Chu kỳ kế tiếp nhau với hai hình thái rất đặc biệt để đáp ứng với đời sống nội tế bào và ngoại tế bào. Chu kỳ nhân lên của chlamydia khoảng 48 - 72 giờ, tế bào bị phá hủy và giải phóng ra thể cơ bản nhiễm trùng. Loài này có ba biến thể sinh học khác nhau về biểu hiện lâm sàng và sinh học. Biến thể bệnh mắt hột (trachoma - serovars A, B và C) gây bệnh mắt hột, loại gây các bệnh đường sinh dục ở người (viêm niệu đạo, viêm cổ tử cung, viêm vòi trứng, bệnh lý ở tử cung...) mà chủ yếu gây viêm niệu đạo có triệu chứng và không triệu chứng. Biến thể bệnh hột xoài có cùng nhóm huyết thanh với bệnh mắt hột nhưng có bệnh cảnh lâm sàng xâm nhập lan tràn gây tổn hại nhiều hơn ở vùng sinh dục - tiết niệu.
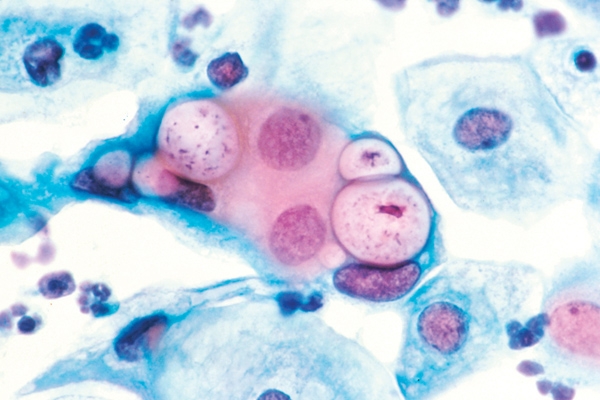
![]() |
| C. trachomatis gây nhiễm khuẩn đường sinh dục |
Nhận diện khi nhiễm C. trachomatis
Biểu hiện lâm sàng của bệnh gần giống với bệnh lậu. Cả hai loại vi khuẩn này thường gây nhiễm tế bào biểu mô lát trụ của niệu đạo rồi lan lên mào tinh hoàn, cổ tử cung - niêm mạc tử cung, vòi trứng, phúc mạc và trực tràng. Cả hai vi khuẩn đều có thể gây viêm dưới biểu mô, loét biểu mô và gây sẹo. Tuy nhiên, C. trachomatis ít gây nhiễm khuẩn toàn thân. Thời gian ủ bệnh khoảng 7 - 21 ngày. Phụ nữ thường không có triệu chứng hoặc triệu chứng không điển hình nên khó xác định thời gian ủ bệnh.
Đối với nam giới:
Biểu hiện nhiễm C. trachomatis ở nam chủ yếu là viêm niệu đạo. Ở các bệnh nhân bị viêm niệu đạo không do lậu có khoảng 35 - 50% do C. trachomatis. Triệu chứng của bệnh là đi tiểu khó (đái buốt, đái rắt, đau khi đi tiểu) và tiết dịch niệu đạo, dịch nhầy màu trắng đục hay trắng trong, số lượng ít đến vừa. Khám thấy miệng sáo đỏ, viêm nề, không thấy các bệnh lý khác như sưng hạch bẹn, các ổ đau trong niệu đạo, các thương tổn bệnh herpes ở miệng sáo và dương vật. Thời gian ủ bệnh khá dài 7 - 21 ngày, trái với bệnh lậu 3 - 5 ngày. Nhiều bệnh nhân không có triệu chứng bệnh.Một điều cần chú ý là viêm niệu đạo sau lậu không do lậu thường do C. trachomatis. Các bệnh nhân này có khả năng mắc cùng một lúc cả hai bệnh nhưng bệnh do chlamydia có thời gian ủ bệnh dài hơn và điều trị lậu không diệt được chlamydia.Tỉ lệ mắc cùng lúc hai bệnh này là 15 - 35%.
C. trachomatis cũng là nguyên nhân chủ yếu gây viêm mào tinh hoàn mà trước đây cho rằng không rõ căn nguyên. Biểu hiện lâm sàng là đau một bên bìu, phù nề, nhạy cảm đau và sốt - thường có viêm niệu đạo. Tuy vậy, có khi không có triệu chứng của viêm niệu đạo kèm theo. Điều trị bằng tetraxyclin, bệnh tiến triển tốt, điều đó ủng hộ cho quan điểm cho rằng C. trachomatis là căn nguyên gây bệnh. Vai trò gây bệnh của C. trachomatis trong viêm tuyến tiền liệt không do vi khuẩn chưa được rõ.Hội chứng Reiter gồm các triệu chứng viêm niệu đạo, viêm kết mạc mắt, viêm khớp và các thương tổn đặc trưng ở da, niêm mạc có liên quan đến nhiễm trùng C. trachomatis.
Đối với phụ nữ:
Đa số bệnh nhân không có biểu hiện các dấu hiệu và triệu chứng của viêm cổ tử cung, khoảng 1/3 có dấu hiệu tại chỗ. Các dấu hiệu thường gặp là tiết dịch nhầy mủ và lộ tuyến phì đại với biểu hiện phù nề, sung huyết và dễ chảy máu. Khám lâm sàng cổ tử cung thấy cổ tử cung dễ chảy máu, có dịch mủ tử cung và phù nề ở vùng lộ tuyến phì đại cổ tử cung. Viêm niệu đạo do C. trachomatis có thể được nghĩ đến ở những người phụ nữ trẻ ở tuổi hoạt động tình dục mạnh mà có đi tiểu khó, đái rắt và mủ niệu, đặc biệt khi bạn tình của họ có triệu chứng viêm niệu đạo hoặc có bạn tình mới. Viêm niệu đạo biểu hiện triệu chứng gồm có tiết dịch niệu đạo, miệng niệu đạo đỏ hoặc phù nề. Ở những người có dịch tiết cổ tử cung có kèm theo đái khó, đái rắt là gợi ý việc bệnh nhân đồng thời bị viêm niệu đạo do C. trachomatis. Tuy nhiên, đại đa số bệnh nhân bị viêm niệu đạo do C. trachomatis không có triệu chứng lâm sàng. Cũng như lậu cầu, C. trachomatis gây viêm xuất tiết ống tuyến Bartholin. Viêm tuyến Bartholin có mủ có thể do C. trachomatis đơn thuần hay phối hợp với lậu cầu.
![]() |
![]() |
| Chlamydia - nguyên nhân rất quan trọng gây mù lòa |
Có tới gần một nửa số bệnh nhân viêm cổ tử cung và hầu hết số viêm vòi trứng bị viêm nội mạc tử cung. Vi khuẩn lan qua niêm mạc tử cung lên vòi trứng. Sốt sau khi đẻ và viêm nội mạc tử cung sau đẻ thường do không điều trị C. trachomatis khi mang thai. Viêm vòi trứng cũng là biến chứng của viêm cổ tử cung do C. trachomatis. Tuy vậy, triệu chứng rất nghèo nàn hoặc không có triệu chứng. Hậu quả sẹo ống dẫn chứng gây nên chửa ngoài tử cung và vô sinh.
Chẩn đoán và điều trị
Đối với nam giới: bệnh nhân có triệu chứng lâm sàng cũng cần xét nghiệm cho các bệnh nhân lậu, viêm niệu đạo không do lậu và các bệnh nhân lây truyền qua đường tình dục khác vì nhiều trường hợp không có triệu chứng. Xét nghiệm nhuộm Gram thấy >5 bạch cầu đa nhân/vi trường độ phóng đại 1000X, không có song cầu Gram (-). Nuôi cấy tìm lậu cầu, làm PCR, LCR, TMA hoặc ELISA.
Đối với phụ nữ: có tiền sử phơi nhiễm với C. trachomatis (có quan hệ tình dục hoặc bạn tình có dấu hiệu, triệu chứng bệnh) và có biểu hiện một số triệu chứng (viêm cổ tử cung tiết dịch nhày mủ, viêm niêm mạc tử cung, viêm tiểu khung, viêm niệu đạo, viêm trực tràng) cần được xét nghiệm. Xét nghiệm dịch cổ tử cung>30 bạch cầu đa nhân/vi trường độ phóng đại 1000X, không có song cầu Gram (-). Nuôi cấy tìm lậu cầu, làm PCR, LCR, TMA hoặc ELISA.
Các phụ nữ có nguy cơ cao bị nhiễm bệnh cần được xét nghiệm sàng lọc: bệnh nhân đến các phòng khám bệnh lây truyền qua đường tình dục, phụ khoa, phụ nữ sảy thai, người có nhiều bạn tình. Điều đáng lưu ý, bệnh nhân cần tuân thủ điều trị và có thể áp dụng chữa cho bạn tình của bệnh nhân.
Theo PGS. TS. Nguyễn Duy Hưng (Sức Khỏe & Đời Sống)
- Giá vàng thế giới lao dốc mạnh, mất hơn 120 USD/ounce chỉ trong thời gian ngắn (21:00)
- Vingroup vươn lên top 4 doanh nghiệp lớn nhất Đông Nam Á (21 phút trước)
- Ông Hoàng Hoa Trung: Dự án “Nuôi Em” sẽ chuyển hướng hoạt động chuyên nghiệp hơn (37 phút trước)
- Làn sóng giảm lãi suất lan rộng: Ngân hàng thứ 33 nhập cuộc, gửi tiền ở đâu còn lời cao? (59 phút trước)
- BTV Thời sự 19h nghỉ việc tại VTV về làm CEO, cuộc sống "trong nhung lụa" bên chồng con thế nào? (1 giờ trước)
- Công an mời làm việc người đàn ông cầm dao uy hiếp thợ sửa khóa (1 giờ trước)
- Bộ Công thương cập nhật lịch điều hành giá xăng dầu mới dịp lễ 30/4 (2 giờ trước)
- Thủ tướng Nhật Bản Takaichi Sanae thăm chính thức Việt Nam từ ngày 1/5 (2 giờ trước)
- Hãng xe Green SM phản hồi về thông tin taxi liên quan đến vụ va chạm tàu hỏa tại Indonesia (2 giờ trước)
- U19 Việt Nam công bố danh sách 41 cầu thủ, hai Việt kiều Tây Ban Nha và Nhật Bản góp mặt (2 giờ trước)


