-
"Quẹt" trúng bố người yêu cũ trên ứng dụng hẹn hò: Cô chủ shop 28 tuổi rơi vào mối tình "ngang trái" -
Game thủ Thái Lan ăn gian khi đấu Việt Nam đối diện mức án tù nặng, đã xác định được người đấu thay -
Nộp khắc phục 100 tỷ đồng, "bà trùm" Quốc Cường Gia Lai vẫn chưa được gỡ phong tỏa tài sản -
Cay đắng trận chung kết SEA Games 33: Tuyển nữ Việt Nam lỡ hẹn ngôi hậu sau loạt "đọ súng" cân não -
Danh tính trọng tài "cướp" bàn thắng của tuyển nữ Việt Nam trong hiệp một -
Đề xuất ngành điện năm 2027: Người dân được quyền chọn bên cung cấp, giá cả "thuận mua vừa bán" -
Xót xa gia cảnh nam sinh lớp 12 nghi bị bắt cóc sang Campuchia: Lời khẩn cầu trong vô vọng của người mẹ nghèo -
Quật ngã chủ nhà Thái Lan, tuyển bóng ném nữ Việt Nam vỡ òa trong nước mắt hạnh phúc -
Hé lộ nơi "giang hồ mạng" Long Tổng – Vàng Văn Ánh bị bắt giữ sau 3 năm, thu giữ nhiều vật chứng -
Từ clip người dân gửi, CSGT phạt nóng 2 tài xế xe khách vượt ẩu
Xã hội
21/03/2016 21:17Bé 35 ngày tuổi bị dao quắm xuyên trán
![]() |
| Bé Phùng Thanh Vân được hồi sức sau mổ - Ảnh: B.V cung cấp |
Ngay sau khi tiếp nhận bệnh nhi, Bệnh viện sản nhi Quảng Ninh đã hội chẩn ngay trong đêm và kíp phẫu thuật đã mổ, lấy ra 10 ml máu cục và não dập ở vùng trán trái của bé, cầm máu vùng não dập bằng dao điện lưỡng cực và khâu treo màng não, bệnh nhân được truyền 50 ml máu.
Ca mổ kéo dài trong 150 phút và khoảng 14g sau phẫu thuật, bé đã tỉnh và các chỉ số sinh tồn chưa có gì phát sinh ngoài dự kiến.
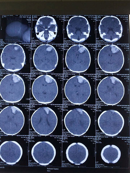
Trao đổi với Tuổi Trẻ, ông Nguyễn Quốc Hùng, Gíam đốc Bệnh viện sản nhi Quảng Ninh, phẫu thuật viên của ca mổ cho biết qua chụp cắt lớp gần 2 ngày sau phẫu thuật, bé Vân tạm ổn. Tuy nhiên khả năng phục hồi còn đợi thêm thời gian mới có thể đánh giá.
Đây cũng là lần đầu tiên bệnh viện phẫu thuật sọ não do chấn thương cho bệnh nhi mới hơn 1 tháng tuổi.
![]() |
| Hình ảnh chụp CT |
![]() |
| Kíp mổ do bác sĩ Nguyễn Quốc Hùng, bác sĩ Bùi Hải Nam thực hiện - Ảnh: B.V |
- "Quẹt" trúng bố người yêu cũ trên ứng dụng hẹn hò: Cô chủ shop 28 tuổi rơi vào mối tình "ngang trái" (17/12/25 23:26)
- Game thủ Thái Lan ăn gian khi đấu Việt Nam đối diện mức án tù nặng, đã xác định được người đấu thay (17/12/25 23:18)
- Nộp khắc phục 100 tỷ đồng, "bà trùm" Quốc Cường Gia Lai vẫn chưa được gỡ phong tỏa tài sản (17/12/25 23:13)
- Sát giờ "đám cưới thế kỷ", Kim Woo Bin gây sốt với diện mạo cực phẩm, chuẩn phong thái "chồng người ta" (17/12/25 23:03)
- Cay đắng trận chung kết SEA Games 33: Tuyển nữ Việt Nam lỡ hẹn ngôi hậu sau loạt "đọ súng" cân não (17/12/25 22:47)
- Hành trình từ 27 tài khoản ngân hàng đến đường dây "rửa tiền" xuyên biên giới của đối tượng người Đà Nẵng (17/12/25 22:19)
- Danh tính trọng tài "cướp" bàn thắng của tuyển nữ Việt Nam trong hiệp một (17/12/25 22:12)
- Tranh cãi suất ăn bán trú 38.000 đồng tại trường THPT Trưng Vương: Nhà trường lên tiếng trước hình ảnh “lèo tèo” trên mạng (17/12/25 21:58)
- Đề xuất ngành điện năm 2027: Người dân được quyền chọn bên cung cấp, giá cả "thuận mua vừa bán" (17/12/25 21:42)
- Xót xa gia cảnh nam sinh lớp 12 nghi bị bắt cóc sang Campuchia: Lời khẩn cầu trong vô vọng của người mẹ nghèo (17/12/25 21:30)


