-
“Ăn nước bọt với nước rác ngon không?”: Khách sốc vì bài đăng của nhân viên quán nướng Hà Nội sau mâu thuẫn
-
Miền Bắc sắp mưa to đến rất to, 8 tỉnh sau đặc biệt chú ý
-
Trường đại học Y khoa Phạm Ngọc Thạch lên tiếng vụ thí sinh 24 tuổi trúng tuyển tiến sĩ
-
Lốc xoáy đánh chìm nhiều thuyền của ngư dân
-
Doãn Hải My cùng Đoàn Văn Hậu đưa quý tử đi chơi Trung thu, visual "bạch nguyệt quang" gây sốt cõi mạng
-
6 máy bơm hoạt động ngày đêm "giải cứu" xóm ngập cả tuần ở Hà Nội
-
Bạn gái tiết lộ điều ít ai biết về Văn Thanh
-
Vỡ hụi trăm tỷ ở TPHCM: Nhiều người ở khắp các tỉnh, thành kéo về tố cáo
-
"Chảy máu chất xám ngược": Vì sao gần 100 nhà khoa học rời Mỹ về Trung Quốc?
-
Bánh Trung thu ngày Rằm tháng Tám: Dù "ế" nhưng nhiều thương hiệu không giảm giá
Xã hội
14/01/2025 14:11Nữ công nhân bị 'phi công trẻ' chém trọng thương vì… từ chối yêu
Ngày 13/1, thông tin từ BS Trần Quang Nhật thuộc khoa Chấn thương chỉnh hình, Bệnh viện Đa khoa Xuyên Á (TPHCM) cho biết, tại đây vừa tiếp nhận và cứu chữa cho một trường hợp bị tấn công bằng dao, gây thương tích rất nặng, nguy kịch tính mạng.

Nạn nhân là chị N.T.T.T. (43 tuổi, ngụ tại Long An) nhập viện cấp cứu với nhiều vết chém trên cơ thể. Các vết thương trải rộng từ vùng đầu, mặt, vai đến cánh tay, bàn tay và cả hai bên bàn chân. Nạn nhân rơi vào tình trạng sốc chấn thương, sốc mất máu.
Theo bệnh sử, trước khi nhập viện, chị T. bị đối tượng Nguyễn Ngọc Quý (37 tuổi, ngụ tại huyện Đức Hòa, tỉnh Long An) đến nhà dùng dao chém gục. Ngay sau đó, Quý bị lực lượng công an bắt giữ.
Nguyên nhân của vụ việc bước đầu được xác định là do trước đó chị T. và Quý cùng làm công nhân tại TPHCM và có quan hệ tình cảm với nhau. Sau khi phát hiện Quý đã có vợ con , chị T. đã chủ động cắt đứt quan hệ.
Nhiều lần níu kéo tình cảm không thành, đối tượng Quý đã tìm đến nhà chị T. và ra tay tàn độc.

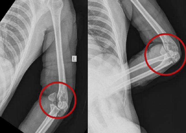
Theo BS Quang Nhật, khi tiếp nhận, qua thăm khám, chẩn đoán hình ảnh, các bác sĩ ghi nhận, vùng vai, cánh tay, cẳng tay, bàn tay cả hai bên của nạn nhân có nhiều vết thương dài và sâu, lộ gân, đứt cơ. Vùng khuỷu trái bị vết chém chí mạng gây gãy xương mỏm khuỷu, gãy xương lồi cầu trong xương cánh tay, lộ khớp khuỷu trái.
Trước tình trạng nguy kịch của chị T., bệnh viện đã kích hoạt báo động đỏ, huy động liên chuyên khoa thực hiện cuộc mổ cấp cứu. Trong quá trình phẫu thuật, các bác sĩ đã truyền máu bổ sung cho bệnh nhân, khâu lại toàn bộ gân cơ, dây thần kinh bị đứt.

Cuộc mổ cấp cứu đã giúp bệnh nhân vượt qua nguy kịch. Sau cuộc mổ thứ nhất, bệnh nhân được chăm sóc hậu phẫu ổn định. Các bác sĩ đã thực hiện cuộc mổ thứ hai kết hợp xương mỏm khuỷu, lồi cầu trong bằng nẹp vít cho bệnh nhân. Hiện sức khỏe của người bệnh đã bình phục tốt.
BS Quang Nhật cho biết, những vết thương do đâm chém thường gây tổn thương sâu đến nhiều cấu trúc quan trọng như gân, cơ và mạch máu lớn gây nguy hiểm đến tính mạng. Do đó, nạn nhân cần được sơ cứu ban đầu để giảm thiểu mất máu rồi nhanh chóng chuyển đến cơ sở y tế gần nhất để được can thiệp kịp thời.
Theo Vân Sơn (Tiền Phong)








- Quán ăn Hà Nội đưa nhân viên chửi khách "ăn rác" lên đồn công an (06/10/25 23:10)
- Mở nhà nghỉ để “săn mồi”: Chủ homestay Nhật chuốc thuốc ngủ, xâm hại nhiều khách nữ (06/10/25 23:03)
- Taylor Swift khiến cả thế giới phát cuồng (06/10/25 22:43)
- Touliver đáp trả phũ phàng với Tóc Tiên? (06/10/25 22:35)
- Người cha KHÔNG LÀM 3 điều này chính là phước phần lớn nhất cho cả gia đình (06/10/25 22:24)
- Nữ hiệu trưởng trường lên tiếng về khay cơm 25.000 đồng gây bão ở Quảng Trị (06/10/25 22:02)
- Mr Pips nắm trong tay khối tài sản khổng lồ, trải rộng tại nhiều quốc gia (06/10/25 21:59)
- Xôn xao hình ảnh bữa ăn bán trú giá 25.000 đồng chỉ có trứng và vài lát chả (06/10/25 21:49)
- Ca sĩ Jack bị phạt hành chính (06/10/25 21:45)
- Khởi tố rapper Bình "Gold" về tội cướp tài sản (06/10/25 21:17)




