-
Ngập lụt ở Cao Bằng, Thái Nguyên, Lạng Sơn, Bắc Ninh kéo dài đến khi nào?
-
Vụ án Mr Pips: Thu giữ 2,3 triệu USD, 890 miếng vàng SJC, 246 kg vàng
-
Trước khi vướng lùm xùm tiền ảo AntEx, Nexttech Group của Shark Bình đã đột ngột giảm vốn từ 500 xuống còn 4 tỷ đồng; Ngân Lượng cũng giảm 85% vốn
-
Công an xác minh clip tàu hỏa húc văng bàn ghế ở phố cà phê đường tàu Hà Nội
-
Cháy nhà ở Lâm Đồng khiến 2 vợ chồng thiệt mạng: Thông tin mới nhất
-
Khoảnh khắc thót tim cứu hai ông cháu 18 tiếng cầm cự trên mái nhà giữa lũ dữ
-
Thái Nguyên và những giọt nước mắt trong lũ dữ: "Con cháu tôi 3 ngày nay không có cơm"
-
Cả nước bật “chế độ cứu trợ khẩn cấp” hướng về Thái Nguyên
-
Chỉ cần giải quyết vấn đề này, người Hà Nội không còn phải bì bõm lội nước
-
Hỗ trợ khẩn cấp 140 tỷ cho 4 tỉnh khắc phục hậu quả mưa lũ, Thái Nguyên mức cao nhất 50 tỷ
Gia đình
26/04/2025 23:09Cô gái 26 tuổi ở Nam Định phát hiện u tụy, có nguy cơ ung thư cao từ 1 việc mà rất nhiều người Việt bỏ qua

Người đàn ông 42 tuổi mang khối u nặng 3,6kg trong lồng ngực mà không biết
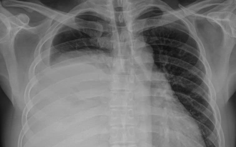
GĐXH - Khối u trung thất khổng lồ, có kích thước lên tới 30x20 cm, nặng 3,6 kg. Đây là một trong những khối u lớn hiếm gặp trong y văn, đe dọa nghiêm trọng đến chức năng hô hấp của người bệnh.
Theo Trung tâm phẫu thuật gan mật và tiêu hóa, Bệnh viện Bệnh Nhiệt đới Trung ương, vừa qua, các bác sĩ nơi đây đã tiếp nhận và điều trị thành công một ca u nang tụy lớn bằng phương pháp nội soi cho bệnh nhân N.T.N (26 tuổi, quê ở Nam Định).
Điều đặc biệt là khối u này được phát hiện hoàn toàn tình cờ trong một lần khám sức khỏe định kỳ, khi bệnh nhân hoàn toàn không có biểu hiện bất thường nào.

Khối u có đường kính lên tới 6cm, nằm ở vùng thân và đuôi tụy. Các bác sĩ nghi ngờ đây là u nhầy nội ống (IPMN) – một loại tổn thương có nguy cơ tiến triển thành ung thư nếu không được điều trị sớm. Do đó, thay vì sinh thiết – vốn có thể gây vỡ nang hoặc làm lây lan tế bào ung thư – các bác sĩ quyết định phẫu thuật luôn để loại bỏ khối u.
"Với những khối u lớn như vậy, việc sinh thiết trước mổ tiềm ẩn nhiều rủi ro như: vỡ nang, chảy máu và đặc biệt là gieo rắc tế bào ung thư nếu tổn thương là ác tính. Chúng tôi lựa chọn phương án an toàn hơn là cắt bỏ hoàn toàn khối u bằng phẫu thuật nội soi. Vì vậy, dựa trên kích thước lớn (>5cm) và đặc điểm hình ảnh nghi ngờ, chỉ định phẫu thuật cắt bỏ được đặt ra trực tiếp mà không cần sinh thiết trước," TS.BS Nguyễn Minh Trọng, Giám đốc Trung tâm, cho biết.
Ca mổ diễn ra thuận lợi mặc dù gặp không ít khó khăn do khối u lớn gây cản trở tầm nhìn và không gian thao tác. Các bác sĩ đã thực hiện cắt toàn bộ phần thân và đuôi tụy kèm theo lách qua nội soi – một phương pháp hiện đại và ít xâm lấn. Kết quả, bệnh nhân phục hồi nhanh chóng, ít đau và vết mổ thẩm mỹ cao – điều rất được quan tâm với bệnh nhân nữ trẻ tuổi.
Phẫu thuật nội soi, dù đòi hỏi kỹ thuật cao, nhưng lại mang nhiều lợi ích. Thay vì đường mổ dài đến 20cm như trước đây, giờ chỉ cần vài vết mổ nhỏ 1–4cm. Người bệnh ít đau hơn, ít nguy cơ nhiễm trùng và có thể sớm trở lại cuộc sống thường ngày.
Trường hợp của bệnh nhân N. là lời nhắc nhở rõ ràng về tính chất "âm thầm" của nhiều bệnh lý tụy. Nếu không được khám định kỳ, khối u có thể phát triển âm thầm và trở nên nguy hiểm lúc nào không hay.
Tốt nhất là mỗi 6 tháng, mọi người nên đi khám sức khỏe tổng quát, kết hợp siêu âm bụng để sớm phát hiện bất thường và can thiệp kịp thời.
Theo M.H (Giadinh.suckhoedoisong.vn)








- Ngập lụt ở Cao Bằng, Thái Nguyên, Lạng Sơn, Bắc Ninh kéo dài đến khi nào? (08/10/25 23:20)
- Vụ án Mr Pips: Thu giữ 2,3 triệu USD, 890 miếng vàng SJC, 246 kg vàng (08/10/25 23:04)
- Chị dâu ly hôn, đến ngày chị ấy dọn ra khỏi nhà tôi mới biết chồng mình không hề đơn giản (08/10/25 22:57)
- Xử lý người đưa tin trên Tiktok xuyên tạc vụ thảm án Đồng Nai (08/10/25 22:45)
- Trước khi vướng lùm xùm tiền ảo AntEx, Nexttech Group của Shark Bình đã đột ngột giảm vốn từ 500 xuống còn 4 tỷ đồng; Ngân Lượng cũng giảm 85% vốn (08/10/25 22:21)
- Cảnh tượng "nghẹt thở" sau Tết đoàn viên (08/10/25 22:15)
- HLV Kim Sang-sik nói thẳng về bê bối của ĐT Malaysia, nêu ra điều cực kỳ quan trọng cho ĐT Việt Nam (08/10/25 22:00)
- Công an xác minh clip tàu hỏa húc văng bàn ghế ở phố cà phê đường tàu Hà Nội (08/10/25 21:40)
- Cháy nhà ở Lâm Đồng khiến 2 vợ chồng thiệt mạng: Thông tin mới nhất (08/10/25 21:20)
- Đám cưới Selena Gomez lộ vật thể đáng ngờ phải giấu vội khi bị quay đến (08/10/25 21:12)




