-
Lùm xùm chiếm đoạt tài sản xoay quanh hiện tượng mạng "Thích Nhuận Đạt": Cơ quan công an chính thức vào cuộc -
Trước khi bị bắt, Ngọc Tiền từng vướng tin đồn chiếm tài sản của chồng, có quan hệ bất chính với cháu rể -
Từ "Nữ tướng" bất động sản Phú Quốc đến vòng lao lý: Đời tư và sự nghiệp thăng trầm của bà Nguyễn Ngọc Tiền -
Người đàn ông tử vong bất thường trên đường đi mời giỗ vợ, cơ quan chức năng vào cuộc điều tra -
Doanh nhân Nguyễn Ngọc Tiền – vợ cố diễn viên Quý Bình bị bắt -
"Không có nghĩa vụ lo cho nhà ngoại": Câu nói của chồng khiến người vợ sững sờ khi mẹ ruột nhập viện cấp cứu -
Văn phòng Chủ tịch nước thay đổi trụ sở làm việc -
Người đàn ông rơi từ tầng 17 chung cư tử vong, camera ghi lại diễn biến trước thời điểm xảy ra vụ việc -
Giá gas "leo thang thần tốc" trong nửa tháng, áp sát 550.000 đồng/ bình: Chuyện gì đang xảy ra? -
Thủ tướng đồng ý ứng ngân sách hỗ trợ Quỹ bình ổn giá xăng dầu
Gia đình
19/04/2021 21:12Uống nước tăng lực liên tục, nam thanh niên 21 tuổi trải qua 58 ngày 'khủng khiếp', suýt mất mạng
Suy tim vì nước tăng lực
Các bác sĩ ở London nước Anh cho biết một nam thanh niên 21 tuổi đã bị suy tim sau khi uống quá nhiều nước tăng lực có chứa caffeine.
Theo một bài viết trên tạp chí y khoa BMJ, thanh niên uống 4 lon nước tăng lực (dung tích 500 ml) mỗi ngày trong hai năm trước khi nhập viện.
Các bác sĩ ở London cho biết nam thanh niên này là sinh viên đại học, đến viện tìm kiếm sự giúp đỡ sau khi bị khó thở và sụt cân trong 4 tháng. Anh cũng bị khó tiêu, run rẩy và tim đập nhanh.
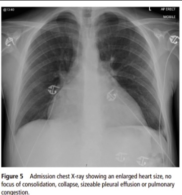
Xét nghiệm máu, chụp cắt lớp và điện tâm đồ cho thấy thanh niên bị suy tim và suy thận, trong đó suy thận được gây là bởi một tình trạng khác, còn suy tim được các bác sĩ cho là do uống quá nhiều nước tăng lực.
Trong ba tháng trước khi nhập viện, anh không thể tiếp tục học đại học do bị mệt mỏi và ốm yếu.
Mỗi lon nước tăng lực nam thanh niên uống chứa 160 mg caffeine, có nghĩa là anh ta tiêu thụ 640 mg caffeine mỗi ngày - tương đương với khoảng 6 tách cà phê trung bình.
[Đọc thêm: Say rượu khiến quý ông chao đảo: 5 cách làm dịu cơn say]
Trong khi đó, 400 mg caffeine là giới hạn an toàn, theo các quan chức y tế Mỹ.
Nhưng nước tăng lực không chỉ chứa caffeine - chúng chứa đầy đường, gần gấp đôi lượng đường trong một lon coca, và đôi khi là các chất phụ gia và chất kích thích khác.
Các bác sĩ đã xem xét một số nguyên nhân, nhưng cuối cùng họ kết luận: "Tổn hại cơ tim do nước tăng lực được cho là nguyên nhân khả thi nhất".
Người đàn ông này cần được chăm sóc đặc biệt và ốm yếu đến mức các bác sĩ đang xem xét ghép nội tạng.
Anh đã nằm viện 58 ngày, bao gồm cả thời gian nằm trong phòng chăm sóc đặc biệt. Tại đây, anh gọi những gì mình phải trải qua là "khủng khiếp".
Sau chín tháng điều trị, chức năng tim của thanh niên đã hồi phục trở về mức "chức năng bị suy giảm nhẹ". Nhưng anh có khả năng vẫn cần ghép thận.
Gia tăng lo ngại
Bệnh nhân ẩn danh chia sẻ về suy nghĩ của mình trong bài báo đăng trên BMJ, kêu gọi các nhà sản xuất bổ sung thông tin cảnh báo trên nước tăng lực.
Anh nói: "Khi tôi uống tới 4 lon nước tăng lực mỗi ngày, tôi bị run rẩy và tim đập nhanh, ảnh hưởng đến khả năng tập trung vào công việc hằng ngày và việc học của tôi ở trường đại học.
"Tôi cũng bị chứng đau nửa đầu dữ dội, thường xảy ra trong thời gian tôi không uống nước tăng lực; điều này cũng hạn chế khả năng thực hiện các công việc hằng ngày và thậm chí cả các hoạt động đơn giản như đi công viên hoặc đi dạo.
"Cuối cùng tôi đã vào phòng chăm sóc đặc biệt. Trải nghiệm này thật khủng khiếp. Tôi nghĩ rằng cần có nhiều nhận thức hơn về nước tăng lực và tác dụng của chúng.
"Tôi tin rằng chúng rất dễ gây nghiện và quá dễ tiếp cận đối với trẻ nhỏ. Tôi nghĩ rằng các thông tin cảnh báo, tương tự như việc hút thuốc, nên được bổ sung vào bao bì nước tăng lực".
Các bác sĩ nói thêm ca bệnh này "làm gia tăng sự lo ngại về nguy cơ phá hủy cơ tim của nước tăng lực".
Đã có một số nghiên cứu khác về những người ở độ tuổi 20 nghiện nước tăng lực.
Các bác sĩ cho biết: cách thức chính xác mà nước tăng lực có thể dẫn đến các vấn đề về tim vẫn chưa rõ ràng, nhưng có thể là do tim bị kích thích quá mức và căng thẳng quá mức theo thời gian.
Nước tăng lực cũng được biết là "làm tăng huyết áp và có thể gây ra một số chứng rối loạn nhịp tim".
Các chuyên gia cảnh báo: "Những tác động mãn tính này cũng có thể dẫn đến suy tim".
Theo Trà My (Doanh Nghiệp & Tiếp Thị)
- Bí ẩn đằng sau đoạn video đầu tiên của tân Lãnh tụ Tối cao Iran Mojtaba Khamenei (18:01)
- Netizen "đào lại" kết quả xét nghiệm ADN con Quý Bình, thái độ khó tin của nhà chồng khi Ngọc Tiền bị chỉ trích? (53 phút trước)
- Lùm xùm chiếm đoạt tài sản xoay quanh hiện tượng mạng "Thích Nhuận Đạt": Cơ quan công an chính thức vào cuộc (1 giờ trước)
- Trước khi bị bắt, Ngọc Tiền từng vướng tin đồn chiếm tài sản của chồng, có quan hệ bất chính với cháu rể (1 giờ trước)
- Từ "Nữ tướng" bất động sản Phú Quốc đến vòng lao lý: Đời tư và sự nghiệp thăng trầm của bà Nguyễn Ngọc Tiền (1 giờ trước)
- Người đàn ông tử vong bất thường trên đường đi mời giỗ vợ, cơ quan chức năng vào cuộc điều tra (2 giờ trước)
- Lý do bà Ngọc Tiền – vợ cố diễn viên Quý Bình bị bắt, vén màn bộ mặt thật đằng sau mác doanh nhân (2 giờ trước)
- Doanh nhân Nguyễn Ngọc Tiền – vợ cố diễn viên Quý Bình bị bắt (2 giờ trước)
- Justin Bieber và Usher vướng tin đồn xô xát tại tiệc hậu Oscar (2 giờ trước)
- Tiền đạo Sardar Azmoun bị gạch tên khỏi tuyển Iran sau ồn ào hình ảnh nhạy cảm (2 giờ trước)