-
Người giàu không quét nhà kiểu như bạn: Bí mật phong thuỷ giữ tài khí qua cây chổi
-
Khoảnh khắc cây cầu biến dạng khi dòng lũ đục ngầu cuồn cuộn đổ về ở Cao Bằng
-
Khớp gối biến dạng, tuyến thượng thận bị suy do uống thảo dược mua từ nước ngoài
-
Hà Nội tiếp tục mưa lớn, lũ sông lên nhanh
-
Thu hồi ngay 3 loại dầu gội đầu, dung dịch vệ sinh là hàng giả
-
Cục CSGT nêu khó khăn trong việc xử phạt qua camera AI
-
Hiệu trưởng xin lỗi vì suất ăn 25.000 đồng như 10.000 đồng
-
Hình ảnh mây đen "như muốn sập xuống" ở Hà Nội
-
Vỡ đập thủy điện Bắc Khê 1 ở Lạng Sơn
-
Thầy giáo bị đồng nghiệp bóp cổ giữa sân trường vì nhắc đỗ xe sai quy định
Gia đình
12/02/2023 00:29TP HCM: Sốc nhiệt, cụ bà chạy lòng vòng sân bay khi vừa nhập cảnh
Chiều 11-2, TS-BS Nguyễn Thị Minh Đức, Trưởng khoa Nội Thần kinh Bệnh viện Đa khoa Tâm Anh TP HCM, cho hay vừa cấp cứu một trường hợp hy hữu bị sốc nhiệt chạy lòng vòng sân bay khi từ Mỹ vừa trở về Việt Nam
Bệnh nhân là cụ bà Lê Thị Th. (93 tuổi), đưa đến bệnh viện trong tình trạng sốt cao và kích động. Qua thăm khám, bệnh nhân bị sốt 40 độ C, huyết áp cao, có bệnh nền rối loạn lipid máu, tiền căn rối loạn giấc ngủ và có nguy cơ té ngã cao.
Theo người nhà kể, bà Th. vừa bước xuống sân bay được vài phút với thời tiết nắng nóng, lập tức có biểu hiện sốc nhiệt, kích thích, nói nhảm, loạn thần, chạy lòng vòng ở sân bay. Người nhà tìm cách đưa vào Bệnh viện Đa khoa Tâm Anh TP HCM cấp cứu nhưng bà vẫn tiếp tục kích động, chạy lòng vòng, nói nhảm.

Sau một thời gian bảo vệ và người nhà tìm cách khống chế đưa vào khoa cấp cứu, các bác sĩ phải ôm bà để điều dưỡng chích thuốc an thần, bớt kích động.
Các bác sĩ khoa Nội Thần kinh nhận định bệnh nhân bị loạn thần không thực tổn do tác động của nhiệt và ánh sáng, không loại trừ tình trạng sốt nhiễm trùng cấp trên bệnh nhân lớn tuổi có di chứng nhồi máu não, tăng huyết áp. Cụ bà được tháo bỏ bớt các lớp áo len bên ngoài, lau mát tích cực, điều trị an thần, truyền dịch đủ nước và hạ sốt.
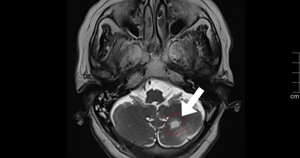
Bệnh nhân được chỉ định xét nghiệm huyết học, sinh hóa và chụp thêm MRI sọ não để loại trừ nguy cơ đột quỵ cấp. May mắn các chỉ số xét nghiệm không cho thấy tình trạng nhiễm trùng. MRI sọ não cho thấy bệnh nhân từng bị nhồi máu não bán cầu tiểu não trái. Hiện bệnh nhân tỉnh táo, khỏe, đi lại tốt.
Theo Nguyễn Thạnh (Nld.com.vn)








- Vì phong bì phúng viếng, chàng trai bị bạn gái dọa chia tay sau đám tang bà nội (9 phút trước)
- Bayern Munich "cướp" tuyển thủ Anh trước mũi Liverpool (34 phút trước)
- Lũ đặc biệt lớn, Thái Nguyên đối mặt đỉnh lũ vượt kỷ lục 2024 (37 phút trước)
- Kẻ đứng sau hàng loạt buổi livestream xuyên tạc, gây rối ở Gia Lai (54 phút trước)
- Vén màn cơ cấu quyền lực của gia tộc họ Minh và "nữ ma đầu" Minh Trân Trân (1 giờ trước)
- Phim Việt giờ vàng thay toàn bộ diễn viên (1 giờ trước)
- Hiệu trưởng lên tiếng về những tin nhắn giáo viên của trường vận động phụ huynh đóng góp (1 giờ trước)
- 7 người chết và mất tích do bão Matmo, lũ kỷ lục trên sông Cầu (1 giờ trước)
- Ngôi nhà 2 tầng ở Hà Nội bốc cháy giữa cơn mưa lớn (1 giờ trước)
- Nga chờ Mỹ lên tiếng về việc gửi Tomahawk cho Ukraine (1 giờ trước)




