-
Người giàu không quét nhà kiểu như bạn: Bí mật phong thuỷ giữ tài khí qua cây chổi
-
Khoảnh khắc cây cầu biến dạng khi dòng lũ đục ngầu cuồn cuộn đổ về ở Cao Bằng
-
Khớp gối biến dạng, tuyến thượng thận bị suy do uống thảo dược mua từ nước ngoài
-
Hà Nội tiếp tục mưa lớn, lũ sông lên nhanh
-
Thu hồi ngay 3 loại dầu gội đầu, dung dịch vệ sinh là hàng giả
-
Cục CSGT nêu khó khăn trong việc xử phạt qua camera AI
-
Hiệu trưởng xin lỗi vì suất ăn 25.000 đồng như 10.000 đồng
-
Hình ảnh mây đen "như muốn sập xuống" ở Hà Nội
-
Vỡ đập thủy điện Bắc Khê 1 ở Lạng Sơn
-
Thầy giáo bị đồng nghiệp bóp cổ giữa sân trường vì nhắc đỗ xe sai quy định
Lối Sống
07/01/2024 03:49Nam thanh niên 31 tuổi suy thận, tổn thương não do sai lầm khi sưởi ấm

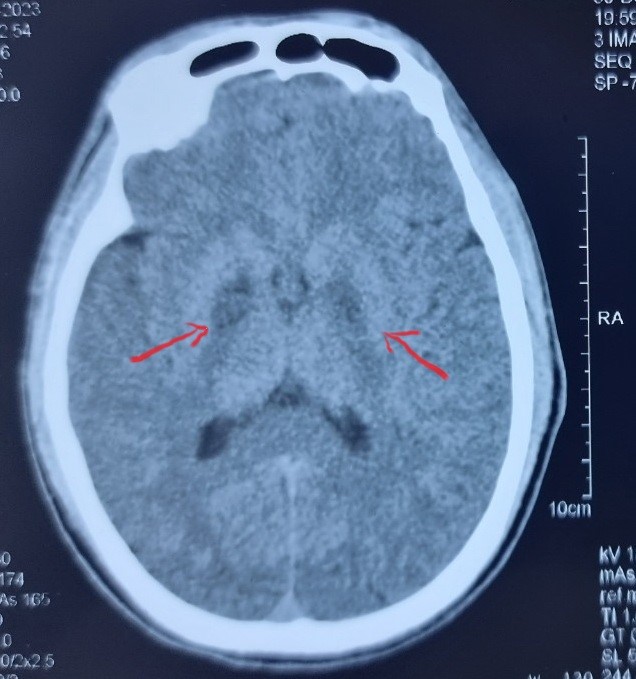
Theo TS.BS Nguyễn Trung Nguyên - Giám đốc Trung tâm Chống độc Bệnh viện Bạch Mai, Trung tâm mới cấp cứu cho trường hợp trẻ tuổi bị ngộ độc khi CO do sửa ấm khi ngủ.
Bệnh nhân nam (31 tuổi tại xã Lóng Luông, huyện Vân Hồ, tỉnh Sơn La) được chuyển đến trong tình trạng hôn mê, suy thận, tổn thương cơ, tổn thương não. Bệnh nhân được chẩn đoán ngộ độc khí CO.
Người nhà của bệnh nhân cho hay do thời tiết lạnh giá, bệnh nhân có đốt than hoa trong phòng kín để sưởi ấm và đi ngủ. Khoảng 4 giờ sáng, gia đình bệnh nhân phát hiện bệnh nhân đã bất tỉnh, vội đưa đến bệnh viện.
Sau khi điều trị tại Bệnh viện Bạch Mai, bệnh nhân đã có ý thức và tỉnh táo hơn. Bác sĩ Nguyên cho biết đây là một trường hợp rất nặng, có dấu hiệu tổn thương não hai bên rất rõ ràng, có tổn thương cơ, có suy thận…
Bệnh nhân có nguy cơ cao phải đối diện với các biến chứng về tâm thần, thần kinh lâu dài, ví dụ như mất trí nhớ, rối loạn tâm thần, run tay chân, co cứng cơ, liệt,…

Hiện tại, Trung tâm Chống độc đang áp dụng các biện pháp điều trị tích cực để hạn chế tối đa các biến chứng có thể xảy ra cho bệnh nhân.
Qua trường hợp này, TS.BS Nguyễn Trung Nguyên khuyến cáo: Khi người dân đốt củi, than củi, than tổ ong, xăng dầu… trong khu vực kín thì nhiên liệu cháy dở dang sinh ra khí CO là khí rất độc. Khí CO không màu, không mùi vị nên rất khó nhận biết, nhất là khi đang ngủ, mọi người sẽ dần lịm đi mà không biết gì và có thể gây tử vong.
Số liệu nghiên cứu khoa học cho thấy dù bị ngộ độc khí CO mức nhẹ, vẫn có tới gần 50% trường hợp sẽ gặp những biến chứng về sức khỏe tâm thần, thần kinh, tổn thương não sau này. Nhẹ nhất có thể là suy giảm trí nhớ các mức độ khác nhau, nặng hơn là hôn mê, hoặc mất trí nhớ hoàn toàn.
"Người dân tuyệt đối không đốt các loại nhiên liệu như than tổ ong, củi, than hoa, khí gas,… trong không gian kín. Nếu bắt buộc phải sử dụng thì không được sử dụng trong phòng kín, nên để mở cửa thoáng để có lưu thông khí đầy đủ. Tốt nhất là chọn phương pháp khác để sưởi ấm", bác sĩ Nguyên khuyến cáo.
Khi phát hiện người bị ngạt khí, người dân cần mở rộng cửa để làm thoáng khí, trường hợp bệnh nhân thở yếu, bất tỉnh, hoặc tim phổi không còn thì cần tiến hành hô hấp nhân tạo hoặc ép tim (cấp cứu ngừng tuần hoàn) sau đó đưa tới cơ sở y tế gần nhất.
Trước câu hỏi vì sao trước kia người dân ít xảy ra những trường hợp ngộ độc khí CO như hiện nay, bác sĩ Nguyên cho rằng nguyên nhân là do nhiều cấu trúc nhà ở của người dân hiện nay có vấn đề về mặt thông khí. Nhà hiện nay phần lớn tự xây, tự thiết kế và rất kín, không có hệ thống thông khí, ô thoáng để lưu thông không khí từ bên ngoài và bên trong nhà. Trong khi đó, nhà thời xưa có hệ thống lưu thông khí tốt hơn.
Theo Ngọc Minh (Đời Sống & Pháp Luật)








- Vì sao 7 cầu thủ ngoại mạo hiểm nhập tịch Malaysia? (07/10/25 23:15)
- Vì phong bì phúng viếng, chàng trai bị bạn gái dọa chia tay sau đám tang bà nội (07/10/25 22:56)
- Bayern Munich "cướp" tuyển thủ Anh trước mũi Liverpool (07/10/25 22:31)
- Lũ đặc biệt lớn, Thái Nguyên đối mặt đỉnh lũ vượt kỷ lục 2024 (07/10/25 22:28)
- Kẻ đứng sau hàng loạt buổi livestream xuyên tạc, gây rối ở Gia Lai (07/10/25 22:10)
- Vén màn cơ cấu quyền lực của gia tộc họ Minh và "nữ ma đầu" Minh Trân Trân (07/10/25 22:00)
- Phim Việt giờ vàng thay toàn bộ diễn viên (07/10/25 21:50)
- Hiệu trưởng lên tiếng về những tin nhắn giáo viên của trường vận động phụ huynh đóng góp (07/10/25 21:42)
- 7 người chết và mất tích do bão Matmo, lũ kỷ lục trên sông Cầu (07/10/25 21:34)
- Ngôi nhà 2 tầng ở Hà Nội bốc cháy giữa cơn mưa lớn (07/10/25 21:26)




